
Сопровождение беременности средствами антропософской медицины. Отдельные гинекологические заболевания и дисплазии

Ангела Кук
Сопровождение беременности средствами антропософской медицины
Отдельные гинекологические заболевания и дисплазии
Материалы учебного цикла
«Введение в антропософскую медицину»
Москва, 11–13 октября 2019 г.
РЕДАКЦИОННАЯ ГРУППА:
Байльман Р. А.
Генеральный директор ООО «Лекарственные средства ВАЛА-Р», к.б.н.: редакция лексики, фразеологии и терминологии антропософской медицины и фармации.
Маршалко Л. А.
Врач антропософской медицины, гомеопат, главный врач антропософского медицинского центра «ТЕРАПЕВТИКУМ»: медицинская редакция текста.
Иванов Е. Г.
Врач общей (семейной) практики: медицинская редакция текста и дизайн обложки.
Ельцова Т. Н.
Гомеопат, частнопрактикующий врач: стенография семинара.
Иткин Д. М.
Литературная редакция.
© Коллектив авторов, 2021
© «ПРОБЕЛ-2000», 2021
* * *Ангела Кук
Расширенное понимание женского менструального цикла и лечение нарушений выделений
Более 20 лет я занимаюсь гинекологией. Когда-то я училась академической медицине в обычном университете и работала в обычном госпитале. Однако с течение времени стала замечать, что там происходит не лечение людей, а лечение клинических случаев, т. е. всех лечат одинаково. Я не видела места для ЧЕЛОВЕКА. И через пять лет такого отчаяния я решила прекратить занятие медициной и вернуться к музыке – к тому, с чего я когда-то начинала, однако было очень жаль тех лет, которые я затратила на обучение медицине и на сдачу таких трудных экзаменов. Потом я вспомнила, что один из этапов обучения проходил в Фильдерклинике (https://www.filderklinik.de/), и там все было как-то иначе. Тогда я и решила попытаться вернуться в медицину именно там. В Фильдерклинике я увидела целый ряд различных терапевтических подходов – музыкальная терапия, художественная терапия, увидела, что работающие там врачи не просто претворяют в жизнь различные схемы лечения, а по-настоящему врачуют людей. Там я познакомилась с антропософской медициной и научилась ее ценить. И с тех пор я с ней иду по жизни в своей врачебной профессии.
В последние два года мой организм отказался работать в таком же режиме – мне стало трудно выполнять ночные дежурства в клинике, принимать ночные роды и пр. Но я так же три дня в неделю веду прием больных и наблюдаю ранее оперированных мной пациенток.
Хочу заметить, что у нас в Швейцарии страховые компании оплачивают работу антропософских врачей.
Сегодня мы постараемся лучше понять женский организм, чтобы лучше понимать его лечение.
Человек, условно, представляет собой некую большую восьмерку (лемнискату) (Рис. 1).

Рис. 1
Вверху мы видим область наших органов чувств – уши, глаза, все то, чем мы воспринимаем. Когда мы используем эти органы чувств, мы как бы выходим за рамки нашего существа и соединяемся с тем, что мы воспринимаем.
В нижней части рисунка можно образно представить то, что мы съели на завтрак сегодня, подвергается перемешиванию, перевариванию, здесь все время происходит очень активная работа. Но она происходит неосознанно. Движение направлено внутрь, а не вовне, как в верхней части.
Наш мозг и органы чувств не могли бы работать, если бы не снабжались кровью, поэтому все эти процессы присутствуют и вверху. Но и те процессы, которые мы наблюдаем в верхней части (нервные процессы, управление гормонами), они же и в нижней части несут структурирующую функцию.
Однако человек не смог бы стать единым человеком, если бы между этими двумя полюсами не было ритмической системы, объединяющей эти полюса.
Гинекологическая область находится в самом низу рисунка. Мы ее не чувствуем. Яичники мы не ощущаем. Эти органы не нужны человеку для его жизни, они необходимы только для следующего поколения. Наши матери подарили нам жизнь через эти органы, а мы дарим эту жизнь следующим поколениям – это некий мостик между поколениями.
Матка – округлый орган, покрытый брюшиной, она словно парит в малом тазу и прикреплена только шейкой. Через влагалище матка имеет сообщение с внешним миром. Матка открыта по отношению к небесному, а по отношению к осознанию внутреннего мира она довольно закрыта.
К матке очень близко расположены прямая кишка и мочевой пузырь (Рис. 2).

Рис. 2
Яичники же глубоко погружены в наш внутренний мир, им нужна температура 37 °C, а как только она опускается ниже, они начинают работать значительно хуже.
Яичники также очень слабо прикреплены – только с одной стороны – маточной трубой. Маточные трубы тоже имеют довольно нежные прикрепления, и во время операции мы легко смещаем яичник.
Яичники очень хорошо кровоснабжаются.
На рисунке вверху видны связки – единственное, что удерживает матку. Две круглые связки матки – ее важные удерживающие элементы – так нас учили на анатомии, но это фактически тоже мышцы, которые могут расслабляться и сокращаться.
На Рис. 3 представлен вид изнутри. Видно как брюшина покрывает эти органы. На рисунке также можно видеть, что все органы имеют свое, достаточно фиксированное место, – мочевой пузырь, почки, поджелудочная железа, – матка как будто не закреплена и может смещаться.

Рис. 3
Яичник лежит сбоку от матки и лишь слегка фиксирован в этом месте, и он тоже очень подвижен. Яичник – это нежная, как морской анемон, ткань; он не имеет фактически фиксированного места.
Если у пациентки только один яичник и труба, то он может перемещаться то в одну сторону, то в другую, и это известный факт.
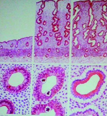
Есть важный временной аспект (Рис. 4). Внизу схематично изображены этапы изменения эндометрия за четыре недели. Вверху – изменения в яичнике на протяжении четырех недель и изменения гормонов за эти же четыре недели. Первая фаза менструального цикла – построительная, много эстрогенов. Во второй фазе менструального цикла в яичнике развивается желтое тело и в крови превалируют гестагены.

Рис. 4
Именно женщины могут хорошо переживать этот эфирный четырехнедельный ритм и именно эфирное тело имеет такой четырехнедельный ритм. В наших садах растения цветут тоже примерно четыре недели.
На этой иллюстрации есть ошибка в левой части. Яйцеклетка созревает не две недели, а примерно три менструальных цикла готовится к своему созреванию, и после очередной менструации она превращается в Граафов пузырек.
За три месяца яйцеклетка из премордиального фолликула созревает в Граафов пузырек.
Первая фаза – созидательная часть процесса. Эндометрий довольно быстро восстанавливается после предыдущего отторжения. Вырастают элементы слизистой, артерии, протоки желез (Рис. 5).

Рис. 5
На Рис. 6 представлен мазок из влагалища с плоскими клетками с относительно малым ядром, которые лежат друг рядом с другом, словно кувшинки на поверхности озера.

Рис. 6
На Рис. 7 видим созревание примерно 30 премордиальных фолликулов; только 1–2 из них превращаются во вторичный фолликул.

Рис. 7
Эпителий фолликула образует полость, и в этой жидкости находится яйцеклетка.
Весь этот процесс происходит в течение первых 6–8 дней. Затем следует более выраженная стадия пролиферации, при которой эндометрий утолщается в несколько раз. Затем в слизистой появляются двухъядерные клетки.
В яичнике в этот период сама яйцеклетка не сильно меняется, но вокруг нее происходит много пролиферативных процессов.
На Рис. 8 представлен зрелый фолликул – это примерно 14 день цикла. Маленькая яйцеклетка окружена довольно большой полостью и вокруг нее находится гранулезная ткань, продуцирующая гормоны.

Рис. 8
Это первая часть женского цикла – пролиферация, движение, тепло по сравнению со второй фазой менструального цикла.
Первая фаза цикла имеет как бы сродство к здоровью, имеет качество здоровья. В первой фазе женщина обычно более активна и лучше себя чувствует.
Затем яйцеклетка покидает Граафов пузырек. Далее следует овуляция и выход яйцеклетки (по-немецки – «выпрыгивание» яйцеклетки). Некоторые женщины ощущают это болью. Этот процесс, занимающий около 8 часов, скорее похож на излитие, чем на «выпрыгивание» яйцеклетки.
Затем следует раскрытие фолликула и яйцеклетка вместе с корона радиата и зона пеллюцида словно выплывает (Рис. 9). В этот период организм женщины готов к зачатию, образованию новой жизни.

Рис. 9
Маточная труба, привлеченная гормонами, словно обнимает зону микрофолликула и принимает в себя выплывающую яйцеклетку. Маточная труба часто прилегает к яичнику со своей стороны, а иногда – с противоположной стороны. Труба и яичник подвижны во все стороны.
После овуляции эндометрий меняется. Рост больше не происходит, развивается уплотнение. Эндометрий становится более богатым клетками, железистые протоки начинают делиться и образовывать лакуны.
На поперечном срезе видно (Рис. 10), что картина в протоках желез становится упорядоченной. Все клетки собрались внутри, а снаружи видим выстилку слизью, богатой питательными веществами. В этом процессе появляется упорядоченность.

Рис. 10
Яичник в это время становится ярко-желтым (Рис. 11).

Рис. 11
Клетки, которые производили эстрогены, в течение 12 часов перестраиваются на производство гестагенов – прогестерона. Ни одна другая железа у человека не может производить столько гормонов, как это желтое тело, производящее гестагены.
Мазок из влагалища (Рис. 12) во второй фазе менструального цикла – клетки уплощены и согнуты, накладываются друг на друга. Ядра стали больше по отношению к цитоплазме.

Рис. 12
В последней части менструального цикла ткань эндометрия постепенно начинает разрушаться, но элементы упорядоченности еще сохраняются. Здесь мы можем еще раз наблюдать этот образ – много лакун и изгибов в протоках желез, артерии принимают спиральный вид и все это содержит в себе много питательных веществ.
В последнюю фазу, за пару дней до начала менструации, если беременность не наступила, части децидуальной оболочки отпадают и остаются только два самых нижних слоя.
В этот период в организме женщины скапливается много жидкости, замедляется пищеварение, возникает склонность к запорам, вес может вырасти – до 2 кг.
Если все это обобщить, то получается следующая схематическая картина. На Рис. 1 внизу – точки менструации. И, далее, влево и вверх – фаза созидания. Затем продолжается рост, но уже с некоей дифференцировкой, – и так до вершины. Вершина – это овуляция; женщина совершенно открыта по отношению к Космосу. Далее – третья четверть менструального цикла; под действием гестагенов происходит дифференцировка. И четвертая фаза, когда все созревает и отпадает, если не наступила беременность.
Мы всегда стараемся понять природу человека, чтобы правильно проводить его лечение. В первую фазу менструального цикла – много эфирных сил. Как в природе во время цветения – как у этого цветка – видим мощные округлые листья, как кувшинки на воде. Эфирный мир тоже дифференцирован.
Тепловой эфир позволяет всему расти благодаря своей тепловой энергии. Если пощупать такой лист, мы почувствуем его качество – мягкость, но он удерживает распространение энергии по плоскости. Это лист манжетки (Alchemilla vulgaris), а по-немецки – женский плащ. Манжетка – важное лекарственное растение в гинекологии (Рис. 13).

Рис. 13
Листья гаммамелиса (Рис. 14) тоже плоские и округлые, как и листья липы, но уже по краям есть зубчики – прибавляется элемент формирования.

Рис. 14
У дубовых листьев (Рис. 15) этот элемент выражен сильнее, и это световой эфир. Здесь сильнее вступают в действие формообразующие силы света.

Рис. 15
В Фильдерклинике нас учили, что первая фаза менструального цикла эфирная, а вторая – астральная. Я считала, что астральная фаза придает силы, тонус, позволяет почувствовать боль. Но как же это сочетается со второй фазой менструального цикла? Там нет никакого тонуса, никакой силы. Как-то я попыталась найти что-то похожее в природе и этим примером оказался лист акации (Рис. 16). Он очень дифференцирован.

Рис. 16
Такое же видно и на примере листа папоротника (Рис. 17). На его нижней поверхности уже есть зачатки зародышей. Это очень напоминает строение эндометрия в третьей четверти менструального цикла – то есть суперпорядок!

Рис. 17
В третьей четверти преобладает действие звукового эфира.
Роза – у нее прекрасные цветы, но внизу в стебле у неё сильное уплотнение, одеревенение (Рис. 18). У старого куста побег представляет собой почти древесину. Это есть выражение жизненного эфира. Все это дает нам различные терапевтические идеи. Например, в первой фазе менструального цикла – слабость. Или же – в первой половине менструального цикла слишком много всего развивается, а во второй фазе – слишком мало сил.
Конец ознакомительного фрагмента.
Текст предоставлен ООО «ЛитРес».
Прочитайте эту книгу целиком, купив полную легальную версию на ЛитРес.
Безопасно оплатить книгу можно банковской картой Visa, MasterCard, Maestro, со счета мобильного телефона, с платежного терминала, в салоне МТС или Связной, через PayPal, WebMoney, Яндекс.Деньги, QIWI Кошелек, бонусными картами или другим удобным Вам способом.
Приобретайте полный текст книги у нашего партнера:

