
Лимфаденопатия. Руководство для практических врачей

Аркадий Вёрткин
Лимфаденопатия. Руководство для практических врачей
© Вёрткин А.Л., Силина Е.Г., текст, 2023
© ООО «Издательство «Эксмо», 2023
Введение
Лимфаденопатия (ЛАП) – увеличение лимфатических узлов любой природы в одной или нескольких анатомических зонах. Это собирательное понятие, включающее в себя различные виды патологических изменений лимфатических узлов, которыми сопровождается большое количество заболеваний. Выявление лимфаденопатии у пациентов при первичном осмотре не требует дорогостоящей аппаратуры и дополнительных методов исследования. Этот синдром легко диагностируется, настораживает больного и в большинстве случаев заставляет обратиться к врачу.
Этиология и патогенез ЛАП зависят от заболевания, симптомом которого она является, что требует проведения дифференциальной диагностики. Так, по данным исследования, проведенного в ФГБУ «НМИЦ гематологии», на неопухолевые ЛАП приходится 30 % первичных обращений к гематологу. Основная проблема диагностики часто заключается в сходстве клинической картины опухолевых и неопухолевых ЛАП. По результатам исследования 1000 больных с неопухолевыми ЛАП нозологический диагноз был установлен лишь в 50 % случаев, при этом частота выполнения биопсий у этой категории больных составила 46 %, и лишь у трети пациентов она имела решающее значение в постановке диагноза. В остальных случаях морфологическое исследование позволяло констатировать отсутствие опухоли, но не приводило к уточнению диагноза.
Нередко разграничить лимфатическую опухоль и реактивный процесс также не удается, особенно это касается диагностически трудных случаев, пограничных состояний и атипично протекающих лимфопролиферативных процессов. Таким образом, появление лимфаденопатии у неинфекционных больных может быть признаком серьезных заболеваний, диагноз которых устанавливается только со временем. К сожалению, помощь к таким пациентам иногда приходит слишком поздно.
Все это свидетельствует о том, что терапевту и врачу общей практики крайне важно хорошо ориентироваться в причинах возникновения лимфаденопатии и уметь определить правильную тактику ведения пациентов с этим синдромом. Кроме того, для постановки диагноза важно тесное сотрудничество разных специалистов.
Именно поэтому мы надеемся, что наше руководство послужит наглядным пособием для амбулаторных врачей, поможет улучшить диагностику и своевременно начать лечение заболеваний, сопровождаемых синдромом лимфаденопатии.
Авторы приносят благодарность всем врачам ГКБ им. С. И. Спасокукоцкого ДЗ Москвы и сотрудникам кафедры терапии, клинической фармакологии и скорой медицинской помощи МГМСУ им. А. И. Евдокимова за неоценимую помощь в подготовке данной книги.
Рецензия
Данное руководство посвящено лимфаденопатии, которая представляет собой синдром, проявляющийся увеличением лимфатических узлов. Он не является самостоятельным заболеванием, а сопровождает широкий спектр самых разнообразных болезней. Нередко этот синдром говорит о наличии серьезного заболевания, угрожающего здоровью, а иногда и жизни пациента, поэтому проблема дифференциального диагноза имеет большое значение для врачей самых разных специальностей: терапевтов, гематологов, онкологов, педиатров, хирургов, инфекционистов и других.
Однако традиционно именно врачам амбулаторных служб приходится первыми встречаться с этими больными и ставить предварительный диагноз, поэтому быстрая и качественная диагностика основного заболевания, сопровождающегося синдромом лимфаденопатии, поможет обеспечить грамотную маршрутизацию пациента к смежным специалистам (инфекционисту, гематологу и онкологу). В ряде случаев такие больные нуждаются в оказании специализированной помощи, поэтому все диагностические мероприятия должны быть выполнены в кратчайшие сроки, так как своевременно начатая терапия улучшает качество жизни пациента, прогноз, а иногда может пролонгировать жизнь.
Представленная вашему вниманию книга является результатом совместного труда сотрудников кафедры терапии, клинической фармакологии и скорой медицинской помощи МГМСУ им. А. И. Евдокимова под руководством профессора А. Л. Верткина. Как и в других книгах данной серии, посвященным социально значимым болезням, с которыми пациенты часто обращаются в поликлинику, в настоящем руководстве систематизированы знания о различных причинах возникновения лимфаденопатии, сопутствующих ей симптомах и синдромах при различных заболеваниях и патологических состояниях, акцентировано внимание на деталях осмотра, изложены показания к проведению диагностических процедур, помогающих постановке диагноза.
Мы надеемся, что эта книга займет достойное место среди руководств для непрерывного медицинского образования врачей как первичного звена, так и стационаров, а также студентов, ординаторов, аспирантов и преподавателей медицинских учебных заведений.
Академик РАН И. В. МаевКлючевые слова и список сокращений
АД – артериальное давление
АДА – аденозиндезаминаза
АЛТ – аланинаминотрансфераза
АПФ – ангиотензин-превращающий фермент
АСТ – аспартатаминотрансфераза
АТР – аллерген туберкулезный рекомбинантный
БГСА – бета-гемолитический стрептококк группы А
БИК – ближний инфракрасный (свет)
БК – бацилла Коха
БКЦ – болезнь кошачьей царапины
БОМЖ – без определенного места жительства
БРИТ – блок реанимации и интенсивной терапии
ВГЛУ – внутригрудные лимфоузлы
ВИЧ – вирус иммунодефицита человека
ВПГ – вирус простого герпеса
ВЭБ – вирус Эпштейна-Барр
ГКС – глюкокортикостероиды
ДЗ – Департамент здравоохранения
ДН – дыхательная недостаточность
ДНК – дезоксирибонуклеиновая кислота
ЖПС – жидкие питательные среды
ИГХ – иммуногистохимическое исследование
ИФА – иммуноферментный анализ
ККР – кранио-каудальный размер
КТ – компьютерная томография
КФК – креатинфосфокиназа
КУМ – кислотоустойчивые микобактерии
ЛАП – лимфаденопатия
ЛБГЛ – лейкоз из больших гранулярных лимфоцитов
ЛДГ – лактатдегидрогеназа
ЛЖ – левый желудочек
ЛС – лимфатическая система
ЛУ – лимфатический узел
ЛХ – лимфома Ходжкина
МБТ – микобактерия туберкулеза
МКБ – Международная классификация болезней
МСКТ – мультиспиральная компьютерная томография
МРТ – магнитно-резонансная томография
НПВС – нестероидные противовоспалительные средства
НХЛ – неходжкинская лимфома
ОГП – органы грудной полости
ОИМ – острый инфаркт миокарда
ОНМК – острое нарушение мозгового кровообращения
ОТФ – острый тонзиллофарингит
ПГЛ – персистирующая генерализованная лимфаденопатия
ПТД – противотуберкулезный диспансер
ПТП – противотуберкулезный препарат
ПЦР – полимеразная цепная реакция
ПЭТ/КТ – позитронно-эмиссионная томография, совмещенная с компьютерной томографией
РКИ – рандомизированное контролируемое исследование
РА – ревматоидный артрит
РСЦ – Региональный сосудистый центр
РФ – Российская Федерация
СД – сахарный диабет
СКВ – системная красная волчанка
СЛУ – сигнальные лимфатические узлы
СОЭ – скорость оседания эритроцитов
СРБ – С-реактивный белок
СПИД – синдром приобретенного иммунодефицита
ТАБ – тонкоигольная аспирационная биопсия
TBC – туберкулез
УЗИ – ультразвуковое исследование
ФВ – фракция выброса
ФГ – флюорография
ХБП – хроническая болезнь почек
ЦНС – центральная нервная система
ЦМВ – цитомегаловирус
ЦМВИ – цитомегаловирусная инфекция
ЧДД – частота дыхательных движений
ЧКВ – чрескожное коронарное вмешательство
ЧСС – частота сердечных сокращений
ЭГДС – эзофагогастродуоденоскопия
CMV – цитомегаловирус
EA – ранний антиген
EBNA – ядерный антиген
FAS – шкала оценки усталости (Fatigue Assessment Scale)
HBV – вирус гепатита B
HCV – вирус гепатита С
HHV – герпес вирус человека
HSV – вирус простого герпеса 1, 2-го типов
Ig – иммуноглобулин
MCV – средний объем эритроцитов
mMRC – шкала выраженности одышки (modified Medical Research Council)
SpO2 – сатурация кислородом артериальной крови
VCA – вирусный капсидный антиген
Вместо предисловия: пациент с лимфаденопатией на амбулаторном приеме у терапевта
Больной Р, 27 лет, 31.05.2022 г. поступил в многопрофильный стационар г. Москвы по каналу СМП с жалобами на повышение температуры тела до 37,5 °С, малопродуктивный кашель, одышку при небольшой физической нагрузке, выраженную слабость.
Anamnesis morbi: Настоящее ухудшение в течение месяца, когда отметил появление субфебрильной температуры, постепенное нарастание одышки и прогрессирование слабости. В последнее время резко сократилась производительность труда: не мог выполнять свою привычную работу в полном объеме. С 24.05.2022 г. – стойкое повышение температуры тела до 38,5 °С, нарастание одышки. К врачам не обращался. При повышении температуры тела самостоятельно принимал парацетамол 500 мг с кратковременным эффектом. Накануне госпитализации обратился в поликлинику. Амбулаторно была выполнена флюорография (ФГ) легких, дано заключение: рентгенологическая картина может соответствовать пневмонии, в том числе вирусной, в том числе COVID. Выпот в правой плевральной полости. Бригадой СМП доставлен в приемное отделение многопрофильного стационара с подозрением на коронавирусную инфекцию.
Anamnesis vitae: Работает дизайнером. Проживает в Москве в отдельной квартире. Туберкулез отрицает, контактов с больными туберкулезом в семье нет. Предыдущая ФГ – около двух лет назад, патологии выявлено не было. В течение многих лет – хронический средний отит слева. Перенесенные операции: тимпанопластика 2013 г. Вредных привычек в настоящее время нет. Бывший курильщик (не курит последние 4 года, до этого курил в течение 10 лет по 20 сигарет в сутки). Вакцинировался от COVID-19 6 месяцев назад.
Состояние при поступлении средней степени тяжести, сознание ясное. Кожные покровы умеренной бледности. Пониженного питания. Отеки отсутствуют. Температура тела 38,0 °С. При осмотре выявлено увеличение подмышечных и паховых лимфоузлов, безболезненных при пальпации, не спаянных между собой и с окружающими тканями. Паховые лимфоузлы крупнее, с максимальным размером 3 × 1 см, кожа над ними не изменена. При прицельном опросе выяснено, что увеличение лимфоузлов появилось месяц назад, в дебюте заболевания, но пациента это не беспокоило, к врачам не обращался. ЧДД 20/мин. Ритм дыхания регулярный. SpO2 – 98 % на атмосферном воздухе. При осмотре обращало на себя внимание отставание при дыхании правой половины грудной клетки. При перкуссии справа – притупление перкуторного звука ниже угла лопатки. АД 125/88 мм рт. ст.; ЧСС: 98 уд/мин. Тоны сердца приглушены, ритмичны. Живот при пальпации мягкий, безболезненный. Печень не увеличена, селезенка не пальпируется. Мочеиспускание не нарушено, безболезненное.
ЭКГ: Синусовая тахикардия с ЧСС 119. S до V6.
Клинический диагноз при поступлении:
Основной: U07.1 Коронавирусная инфекция, вызванная вирусом COVID-19, вирус идентифицирован (подтвержден лабораторным тестированием независимо от тяжести клинических признаков или симптомов). Антиген на COVID-19 положительный от 31.05.2022 г., среднетяжелое течение.
Осложнение: J12.9 Двусторонняя полисегментарная вирусная пневмония? ДН – 1.
Сопутствующие заболевания: H65.9 Хронический средний отит слева.
При обследовании
Анализ крови от 31.05.22: гемоглобин – 127 г/л, лейкоциты – 6×109/л, тромбоциты – 251×109/л, обращало на себя внимание повышение СРБ до 21,6 мг/л, остальные показатели в норме.

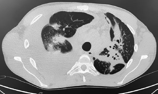
Рис. 1. КТ органов грудной полости (ОГП) от 31.05.2022 г.

Рис. 2. КТ ОГП с внутривенным болюсным контрастированием от 01.06.2022 г.
Инструментальные исследования:
КТ органов грудной полости (ОГП) от 31.05.2022 г.: Трахея и крупные бронхи прослеживаются на всем протяжении, не изменены. Определяются двусторонние массивные инфильтраты в паренхиме обоих легких. Полость деструкции в S9 левого легкого диаметром до 4 мм. Сердце в размерах не увеличено, ширина магистральных сосудов в пределах нормальных значений. Определяются множественные увеличенные лимфатические узлы средостения: паратрахеальные до 17 мм, аортальные до 14 мм, бифуркационные сливаются в конгломерат до 60 × 32 мм.
Заключение: Двусторонние массивные инфильтраты в паренхиме обоих легких. Бронхиолит. Правосторонний плевральный выпот (1600–1800 мл). Смещение средостения влево. Лимфаденопатия средостения, увеличение аксиллярных, субпекторальных ЛУ. КТ-картину следует дифференцировать между двусторонней полисегментарной пневмонией, интерстициальным заболеванием легких и системным заболеванием.
31.05.2022 г. выполнено УЗИ плевральных полостей: в правой плевральной полости определяется значительное количество жидкости с ориентировочным объемом около 1600 мл, расхождение листков плевры до 75 мм. В левой плевральной полости жидкость не определяется.
01.06.22 г. проведена пункция правой плевральной полости, эвакуировано 1200 мл жидкости соломенного цвета.
01.06.2022 г. КТ ОГП с внутривенным болюсным контрастированием (контроль после пункции): по сравнению с результатами предыдущего КТ-исследования уменьшилось количество жидкости в правой плевральной полости (около 1300 мл). Корни легких расширены из-за множественных увеличенных лимфоузлов в них. Полисегментарно в паренхиме обоих легких сохраняются множественные массивные перибронхиальные участки консолидации с воздушной бронхографией. Визуализируются полости в S3 левого легкого – до 9 мм, в S9 – до 4 мм.
Заключение: уменьшилось количество жидкости в правой плевральной полости. Сохраняются признаки бронхиолита и перибронхиальной инфильтрации, мелкие полости в левом легком (буллы?). Распространенная лимфаденопатия может быть проявлением саркоидоза или лимфопролиферативного процесса.
Для уточнения диагноза 01.06.2022 г. была выполнена бронхоскопия. В процессе исследования выявлено умеренное сужение устьев бронхов в области верхней доли правого легкого, слизистая там рыхлая, отечная, воспалительно-инфильтрированная. Из верхней доли правого легкого взяты промывные воды на цитологическое исследование, БАЛ, КУМ, также из вышеописанной области выполнена браш-биопсия. В просвете бронхов с обеих сторон незначительное количество слизистого содержимого. Аспирация содержимого.
Заключение: Эндоскопические признаки правостороннего верхнедолевого очагового катарального эндобронхита 1 ст. Бронхоальвеолярный лаваж, цитологическое исследование, КУМ, брашбиопсия.
По результатам цитологического исследования: гиперплазия мезотелия, часть клеток с реактивными изменениями, выраженная лимфоидная инфильтрация. Клетки с признаками атипии и микобактерии не обнаружены.
Клинический анализ плеврального пунктата от 01.06.2022 г.:
Мутная, желтая выпотная жидкость, 10–15 эритроцитов в п/зрения, 100 лейкоцитов.
В мокроте микобактерии не обнаружены.
Посев на микрофлору с определением чувствительности к антибактериальным препаратам от 03.06.2022 г.: роста микроорганизмов не обнаружено.
Таким образом, у больного выявлены следующие клинические синдромы:
• длительный субфебрилитет;
• правосторонний плевральный выпот;
• генерализованная лимфаденопатия (поражение аксиллярных, субпекторальных, медиастинальных, забрюшинных, паховых и других групп лимфатических узлов);
• поражение легких;
• похудение.
03.06.2022 г. для уточнения диагноза выполнена эксцизионная биопсия пахового лимфоузла справа.
На фоне проводимой противовирусной, противовоспалительной и антибактериальной терапии состояние и самочувствие пациента улучшились: уменьшилась одышка, кашель, однако сохранялся низкий субфебрилитет.
На 6-е сутки выписан под наблюдение терапевта по месту жительства.
Диагноз при выписке:
Основной: U07.1 Коронавирусная инфекция, вызванная вирусом COVID-19, вирус идентифицирован (антиген на COVID-19 положительный от 31.05.2022 г.), среднетяжелое течение.
Осложнение: J94.9 Правосторонний субтотальный плеврит, состояние после пункции плевральной полости справа 01.06.2022 г. Лимфаденопатия средостения. Лимфаденопатия паховых лимфоузлов. Эксцизионная биопсия пахового лимфоузла справа от 03.06.2022 г.
Сопутствующий: H65.9 Хронический средний отит слева. Хроническая левосторонняя кондуктивная тугоухость.
Пациенту даны рекомендации продолжить обследование в амбулаторных условиях после получения результатов биопсии лимфатического узла.
07.06.2022 г. получен результат морфологического исследования: в материале определяется ткань лимфатического узла, практически полностью замещенная эпителиоидно-клеточными гранулемами с четкими контурами, разделенными тонкими соединительнотканными прослойками с наличием в них гигантских многоядерных клеток. Некрозы в гранулемах отсутствуют. В гранулемах определяются также включения концентрических обызвествлений.
Заключение: Гистологическая картина гранулематозного лимфаденита. Клиническую дифференциальную диагностику следует проводить между туберкулезом и саркоидозом.
Таким образом, несмотря на все усилия врачей на этапе стационарного лечения разобраться в этой сложной клинической ситуации не удалось, диагноз установлен не был. Причина генерализованной лимфаденопатии, выпота в правой плевральной полости большого объема не ясна. Было рекомендовано проводить дифференциальную диагностику между туберкулезом, саркоидозом и лимфопролиферативным заболеванием. Эту задачу предстояло решить врачам поликлиники.
Учитывая подозрение на туберкулез (по результатам биопсии лимфатического узла), жалобы на нарастающую одышку, непродуктивный кашель, сохраняющийся низкий субфебрилитет, 17.06.2022 г. пациент был направлен на обследование в ПТД. Госпитализирован в туберкулезное хирургическое отделение с предположительным диагнозом:
Инфильтративный туберкулез легких МБТ (-). Туберкулез ВГЛУ. Правосторонний экссудативный плеврит туберкулезной этиологии. Лимфопролиферативное заболевание?
В день поступления выполнена КТ ОГК: при сравнении с исследованием от 01.06.2022 г. отмечается отрицательная динамика. Полисегментарно в обоих легких на фоне уплотненного междолькового интерстиция определяются разновеликие участки консолидации с воздушной бронхографией (массивные в прикорневой зоне правого легкого), в том числе с перибронхиальной консолидацией и лучеобразными мелкими тяжами в окружающую паренхиму, распространяющиеся по ходу бронхососудистых пучков, а также множественные диффузные перибронхиальные мелкие очаги (более выраженные в левом легком). Визуализируются множественные ВГЛУ всех групп, максимальным размером до 16 мм и аксиллярные (подмышечные): слева до 13 мм, справа до 10 мм. Выпот в правой плевральной полости с толщиной слоя 85 мм. Листки плевры тонкие, ровные. Сердце смещено влево. Магистральные сосуды обычного калибра. Очагов патологической плотности в костях не выявлено. Отсутствие КТ-признаков вирусной пневмонии.
Заключение: КТ-картину очагово-инфильтративных изменений в легких и внутригрудной лимфаденопатии необходимо дифференцировать между саркоидозом, лимфопролиферативным и ту-беркулезным процессами. Правосторон-ний большой выпот с отрицательной динамикой от 01.06.2022 г.
Выполнено УЗИ плевральных полостей: в правой плевральной полости на высоте ниже угла лопатки выявлена жидкость с большим содержанием фибрина, расхождение листков плевры до 130 мм. Заключение: плеврит справа.
21.06.2022 г. проведена операция видеоторакоскопии справа, санация правой плевральной полости, частичная плеврэктомия, в ходе которой эвакуировано 2500 мл прозрачного экссудата. При осмотре выявлены мелкие бугорковые высыпания белесоватого цвета по всей поверхности париетальной и висцеральной плевры, диафрагмы и перикарда. Учитывая тотальное поражение плевры, с целью морфологической верификации процесса была выполнена частичная плеврэктомия. Анализы на МБТ, ПЦР, общий и цитологию.
21.06.2022 г. – трахеобронхоскопия. При проведении исследования на слизистой бронхов выявлено наличие мелких бугристых высыпаний, сосудистый рисунок смазан. Патологического секрета нет. Смыв на МБТ, ПЦР, АК, НФ, грибы. Взята щипцовая биопсия З куска, мазок-отпечаток 2 стекла.
Дано заключение: Туберкулез бронхов инфильтративный? (окончательное суждение о диагнозе по данным морфологии).
Получен результат посева плеврального экссудата от 22.06.2022 г. – рост МБТ не обнаружен.
27.06.2022 г. – КТ ОГП (контроль после эвакуации жидкости от 21.06.2022 г.): выявлен правосторонний следовой выпот, сохраняющиеся признаки лимфаденопатии внутригрудных и аксиллярных лимфоузлов, отсутствие признаков вирусной пневмонии.
В заключении вновь предложен дифференциально-диагностический ряд: КТ-картину очагово-инфильтративных изменений в легких с учетом периферической и внутригрудной лимфаденопатии необходимо дифференцировать между саркоидозом, лимфопролиферативным заболеванием и туберкулезным процессом.
27.06.2022 г. впервые за время обследования выполнена КТ органов брюшной полости и малого таза с внутривенным контрастированием, где выявлена гепатомегалия, спленомегалия, а также множественная лимфаденопатия с поражением парааортальных, подвздошных, параковальных, ворот печени, околоселезеночных, параэзофагеальных (до 12,5 мм), мезентериальных (до 9 мм) и паховых (до 15 мм) лимфоузлов однородной структуры.
КТ ОГП от 12.07.2022 г.: при сравнении с исследованием от 27.06.2022 г. жидкость в правой плевральной полости уменьшилась, сохраняется лишь следовой выпот. КТ-признаки конгломератной лимфаденопатии внутригрудных и аксиллярных лимфоузлов, инфильтративно-очаговых изменений в легких.
Диагноз по-прежнему неясен. Необходимо дифференцировать между саркоидозом, лимфопролиферативным и туберкулезным процессами.
13.07.2022 г. заключение консилиума: на основании клинико-рентгенологических проявлений и обнаруженного гистологом эпителиоидно-клеточного гранулематозного воспаления без казеоза установлен предварительный диагноз: саркоидоз органов дыхания, особенностью которого является дебют по типу экссудативного плеврита.
15.07.2022 г. выписан под наблюдение врача поликлиники с рекомендацией проведения терапии ГКС в стартовой дозе: метипред 24 мг/сутки или преднизолон в дозе 30 мг/сутки в течение 60 дней.
Клинический диагноз при выписке
Основное заболевание: D86.8 Генерализованный саркоидоз с поражением внутригрудных лимфатических узлов и легких, плевры, печени, селезенки, внутрибрюшных и периферических лимфатических узлов.
Осложнение основного заболевания: R09.1 Правосторонний экссудативный плеврит. ДН-О. Видеоторакоскопия справа, санация правой плевральной полости, частичная плеврэктомия от 21.06.2022 г.
Сопутствующие заболевания: Цервикальная дорсопатия. Вестибулопатия смешан-ного генеза. Хронический левосторонний гнойный средний отит, состояние после тимпанопластики, вне обострения. Кондуктивная потеря слуха односторонняя с нормальным слухом на противоположном ухе. Хроническая левосторонняя кондуктивная тугоухость. Миопия.

