
Homo Sapiens. Краткая история эволюции человечества
Запомните или запишите в свои молескины, что одни и те же гены могут существовать в различных формах – аллелях, и что аллельные, или парные, гены могут друг друга подавлять.
Гены обладают экспрессивностью. Это свойство можно назвать «силой гена». Экспрессивность определяет степень выраженности гена в кодируемом им признаке. Чем ген экспрессивнее, тем он более выражен, тем сильнее он подавляет своего аллельного собрата.
Мы получаем по комплекту генов от отца и матери. По каждому кодируемому признаку мы имеем парный набор генов. Те гены, которые являются более экспрессивными, подавляют в парах-аллелях менее экспрессивные гены. Конкуренция в рамках пары генов приводит к тому, что одни признаки наследуются от отца, а другие – от матери. Но никогда в наследовании не будет половинчатости! Невозможно унаследовать один признак наполовину от матери и наполовину от отца, потому что гены не смешиваются друг с другом. Даже в парах, отвечающих за один и тот же признак, не смешиваются. Подавлять друг друга гены могут, а смешиваться – нет.
Молекулы ДНК в наших клетках «упакованы» в хромосомы – структуры из молекулы ДНК и нескольких молекул белков. Каждая хромосома представляет собой одну молекулу ДНК. У каждого биологического вида в норме должно быть строго определенное число хромосом. У человека их сорок шесть.
Набор хромосом называется кариотипом. Также кариотипом называется совокупность признаков полного набора хромосом данного организма. Обратите внимание – совокупность признаков полного набора хромосом, а не совокупность признаков организма, определяемая этим набором хромосом. Совокупность внешних и внутренних признаков организма называется фенотипом. А совокупность всех генов организма называется генотипом.
Проще говоря – генотип выглядит как кариотип и определяет фенотип. Обратите внимание на то, что все названия «типов» в этой фразе расположены в алфавитном порядке – генотип, кариотип, фенотип. Это поможет вам правильно запомнить последовательность.
Свое звучное название хромосомы получили благодаря своей способности связывать ряд красителей, используемых для приготовления «микроскопических» препаратов, проще говоря – за способность к окрашиванию. «Хромосома» в переводе с греческого означает «окрашенное тело».
В периоде между делениями клетки хромосомы компактно собраны в клеточное ядро, которое во время деления распадается на отдельные хромосомы. Сдвоенные хромосомы (вспомните, что набор генов парный), тонкие нити которых скручены в относительно толстую спираль, видны в микроскоп. Они имеют вид буквы «Х» с перемычкой-центромерой посередине.
Интересная деталь – несмотря на то, что человек считается «венцом творения» природы, хромосом у нас с вами не очень-то и много. У собак их семьдесят восемь, у камчатского краба (и вообще у всех представителей надсемейства раков-отшельников) – 254, а у некоторых одноклеточных – более тысячи! Количество хромосом в клетке живого организма никак не связано с уровнем его организации. А с чем связано – науке пока еще неизвестно.
В обычной клетке (такие клетки называются соматическими) схожие по форме и генному составу хромосомы условно можно разбить на пары. Одна хромосома в паре получена от матери, другая – от отца. Парные (схожие) хромосомы называются гомологичными, а набор хромосом, содержащий пары гомологов, называется диплоидным.

Сдвоенная хромосома
Половые клетки (гаметы) содержат половину диплоидного набора – по одной хромосоме из каждой пары. Такой набор называется гаплоидным.
Парные хромосомы, одинаковые у мужских и женских организмов, называются аутосомами. Хромосомы, набор которых отличает мужские и женские особи, называются половыми хромосомами.

Хромосомный набор человека
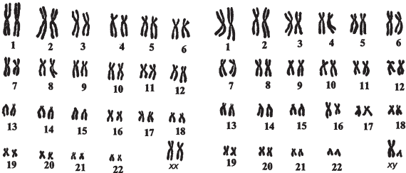
Нормальный хромосомный набор (кариотип) человека представлен 46 хромосомами. Это 22 пары аутосом и одна пара половых хромосом – XY[4] в мужском кариотипе и XX – в женском. Посмотрите на рисунок, и вы увидите, что половые хромосомы получили обозначение по сходству с соответствующими буквами алфавита.
Половых хромосом может быть и больше одной пары. Так, например, утконос имеет пять пар половых хромосом. Мужской пол у утконоса задается комбинацией XYXYXYXYXY, а женский XXXXXXXXXX.
В мужском кариотипе содержатся две разные половые хромосомы (X и Y), а в женском – две одинаковые (XX). Соответственно, сперматозоиды могут иметь разные половые хромосомы – X или Y, а яйцеклетки – только Х-хромосому. Таким образом, за пол ребенка «отвечает» отец, от которого мать может получить разные половые хромосомы.
Совокупность наследственного материала, заключенного в гаплоидном наборе хромосом клеток данного вида организмов, называется геномом.
Совокупность генов данного организма называется генотипом.
Совокупность всех генных вариаций конкретной популяции называется генофондом.
Давайте скажем проще:
– у отдельного человека – генотип;
– у биологического вида Homo sapiens sapiens (Человек разумный разумный) – геном;
– у гуанчи (коренное население Канарских островов) или, к примеру, икашимцев (одна из народностей Южного Памира) – генофонд. Также иногда термин «генофонд» употребляется применительно к народам, этносам, расам.
Признаки, полученные в ходе приспособления к условиям окружающей среды, передаются по наследству. Важно правильно понимать механизм образования такого приспособления. Шея у жирафа вытянулась не из-за стремления к высоко расположенным листьям, а из-за того, что на протяжении многих поколений больше шансов на выживание и оставление потомства имели особи с более длинной шеей. Они могли питаться листьями, которые были недоступны их собратьям, следовательно, они питались лучше, были крупнее, сильнее, здоровее… Со временем «длинношеесть» закрепилась в геноме у жирафов.
Механизм наследования приобретенных признаков является краеугольным камнем эволюционного учения.
В XIX веке была популярна эволюционная концепция, выдвинутая французским биологом Жаном Батистом Ламарком и названная ламаркизмом. Ламаркизм был первой стройной и целостной теорией эволюции живого мира, но при том – неверной теорией. Признавая, что на форму и организацию живых организмов влияют обстоятельства (то есть – факторы окружающей среды), что было совершенно верно, Ламарк делал неверный вывод о том, что изменения внутренней организации, приобретенные организмом в течение жизни, могут передаваться по наследству. Ламарк считал, что если признак «упражняется», то есть – активно используется, то он непременно закрепится в потомстве. А если не «упражняется», то – исчезнет. Не исключено, что исчезновение произойдет уже в следующем поколении.
Вот, что писал Ламарк: «Породы изменяются в своих частях по мере того, как наступают значительные перемены во влияющих на них обстоятельствах. Весьма многие факты убеждают нас, что по мере того, как особям одного из наших видов приходится менять местоположение, климат, образ жизни или привычки, они подвергаются влияниям, изменяющим мало-помалу состояние и соотношение их частей, их форму, их способности, даже их организацию…»
Если исходить из концепции Ламарка, то можно ожидать, что дети, зачатые от культуристов, будут от рождения иметь более развитую мускулатуру, чем их сверстники, дети чемпионов-легкоатлетов будут бегать гораздо быстрее своих сверстников, а дети профессиональных пловцов получат врожденный навык плавания кролем или, скажем, брассом. Но ведь этого не происходит. И не может произойти, поскольку механизм наследования признаков совершенно иной. Отправной точкой в наследовании служит ген, а не признак. Генотип определяет фенотип, но фенотип никак не влияет на генотип. С точки зрения наследственности приспособление к условиям окружающей среды заключается в том, что выживают и дают потомство более приспособленные особи, а не в том, что полезные признаки (и вообще все признаки), приобретенные организмом в течение жизни, могут передаваться потомству.

Жан Батист Ламарк (1744–1829)
Ламарк стал первым биологом, попытавшимся создать теорию эволюции живого мира, и ему это почти удалось. «Почти», потому что Ламарк сделал одну ошибку – он утверждал, что видов в природе на самом деле не существует, есть только отдельные особи. «Только тот, кто долго и усиленно занимался определением видов и обращался к богатым коллекциям, – писал Ламарк, – может знать, до какой степени виды сливаются одни с другими. Я спрашиваю, какой опытный зоолог или ботаник не убежден в основательности только что сказанного мною? Поднимитесь до рыб, рептилий, птиц, даже до млекопитающих, и вы увидите повсюду постепенные переходы между соседними видами и даже родами». Говорить об эволюции, отрицая существование видов, это все равно что пытаться писать химические формулы, отрицая существование молекул. Ничего путного из этого не выйдет.
Эволюция в представлении Ламарка носила плавный постоянный характер. «Природа не делает скачков», – повторял Ламарк следом за известным немецким философом XVIII века Готфридом Лейбницем. Вот в этом Ламарк был прав – скачков у Природы действительно не бывает. Невозможно определить точную дату рождения нового вида.
Немецкий зоолог и эволюционист Фридрих Вейсман опроверг концепцию Ламарка при помощи простого, хоть и жестокого, эксперимента. Вейсман разводил мышей с отрубленными вскоре после рождения хвостами. Из поколения в поколение от бесхвостых мышей рождались хвостатые детеныши, хотя, согласно Ламарку, хвосты должны были исчезнуть (атрофироваться), так как не использовались мышами при жизни.

Фридрих Вейсман (1834–1914)
Мы-то с вами понимаем, что сколько ни отрубай мышам хвосты, на генетическом уровне от этого никаких изменений не произойдет, ибо и не может произойти.
Но как происходят изменения в генетическом материале?
Структурная перестройка в гене, приводящая к изменению наследственной информации, называется мутацией. Мутация представляет собой стойкое изменение, которое может передаваться потомкам.
Человек научился использовать мутации в глубокой древности, не имея никакого понятия о сути процесса, но успешно используя его результаты. Если у растения или животного вдруг случайно появлялся какой-нибудь полезный с точки зрения человека признак, то человек старался этот признак сохранить, скрещивая те особи, которые этим признаком обладали. Вся суть «догенетической» селекции заключалась в закреплении мутаций в потомстве.
Мутации не накапливаются до какого-то критического порога, чтобы затем проявиться. Мутации происходят внезапно, случайно, скачкообразно. Не было никаких изменений в гене – и вдруг оно произошло! Знакомьтесь, я ваша мутация!
Мутации могут происходить в любых клетках – и в соматических, и в половых. Коренное отличие мутации в соматической клетке многоклеточного организма от мутации в половой клетке заключается в том, что соматическая мутация может привести к гибели клетки или же может вызвать развитие доброкачественной или злокачественной опухоли, но потомству она не передастся. Точнее говоря, у организмов, размножающихся половым путем, мутации, возникшие в соматических клетках, по наследству не передаются, а вот при размножении почкованием, при вегетативном размножении и прочих видах бесполого размножения «соматические» мутации могут передаваться дочернему организму. Но мы с вами почкованием не размножаемся, поэтому можем передавать своему потомству только те мутации, которые происходят в половых клетках.
Мутации служат материалом для естественного отбора, эволюционного процесса, в результате действия которого в популяции увеличивается количество особей, обладающих максимальной приспособленностью к условиям внешней среды, а количество слабо приспособленных особей уменьшается. Без мутаций не было бы никакого естественного отбора, да и самой эволюции тоже не было бы.
А что было бы? Клетка-праматерь, от которой произошло все живое на нашей планете, заселила бы все подходящие для нее пространства, и на этом бы все развитие жизни закончилось.
Разумеется, мутации могут быть вредными, они могут вызывать болезни и даже гибель организма, но польза от них тоже есть, и немалая, надо сказать, польза.
По результатам мутации делят на полезные, нейтральные и вредные, которые в свою очередь подразделяются на стерильные, полулетальные и летальные.
Нейтральными называются мутации, которые никак не влияют на жизнеспособность организма.
Полулетальными называются вредные мутации, значительно снижающие жизнеспособность организма, но, в отличие от летальных, не приводящие к его гибели.
Стерильные мутации не влияют на жизнеспособность организма, но снижают его способность к размножению.
Польза и вред некоторых мутаций относительны, то есть зависят от условий внешней среды. В разных условиях одна и та же мутация может оказаться полезной или вредной. Например, мутация, вызывающая альбинизм – полное или частичное отсутствие пигмента меланина в коже, волосах и радужной оболочке глаз, – окажется полезной для животного, обитающего там, где круглый год или бо́льшую часть года лежит снежный покров. В таких условиях альбинизм является маскирующим признаком, увеличивающим шансы особи на выживание. А вот в степи заяц-альбинос будет хорошо заметен, здесь этот признак окажется вредным, демаскирующим.
Как происходят мутации?
По-разному. Фрагмент хромосомы может выпасть или, наоборот, самопроизвольно удвоиться, фрагмент хромосомы может повернуться на 180°. …Существует такое явление, как кроссинговер – при определенных условиях гомологичные хромосомы могут обмениваться друг с другом своими фрагментами. Если же подобный обмен вдруг произойдет между двумя негомологичными хромосомами, то возникнет мутация.
Молекулы ДНК обладают способностью к репликации, то есть – к самовоспроизведению. Без репликации никак нельзя не обойтись, ведь клетки размножаются делением и каждая дочерняя клетка непременно должна получить от материнской полную копию наследственной информации. Если во время репликации происходит ошибка (а такое случается довольно часто), то возникает новая мутация.
В наших клетках существуют структуры, обладающие собственной ДНК – «персональной» генетической информацией. Это митохондрии, своеобразные клеточные энергетические станции. В среднем в клетке содержится около 2000 митохондрий, общий объем которых составляет до четверти от объема клетки. Митохондрии имеют сферическую или эллипсоидную форму.

Митохондрии
В митохондриях подвергаются окислению органические вещества, поступающие в клетку извне. При этом образуются молекулы аденозинтрифосфата (АТФ), способные накапливать энергию в виде химических связей, такие своеобразные клеточные аккумуляторы. Митохондрии способны самостоятельно синтезировать ряд белков и размножаться путем деления, собственно для этого им и нужна персональная ДНК.
Мутации, возникающие в ДНК митохондрий, могут передаваться только по материнской линии, поскольку передаются они с цитоплазмой, полужидкой внутренней средой клетки, которую содержит яйцеклетка. В сперматозоиде цитоплазмы очень мало, да вдобавок митохондрии у него находятся в шейке, которая в яйцеклетку при оплодотворении не проникает.
Мутации случайны! Они происходят не направленно, а хаотически, так что можно считать эволюцию упорядоченным хаосом – случайные мутации проходят отбор под воздействием внешней среды, нужные мутации сохраняются, а ненужные «отбраковываются». Но внешняя среда может только сортировать мутации! Повысить вероятность возникновения полезных мутаций невозможно.
На этом можно закончить главу, посвященную знакомству с генетикой. В следующей главе мы продолжим разговор о генетике, но уже на более высоком уровне.
В заключение осталось дать ответ на вопрос о том, почему при скрещивании лошади с ослом можно получить потомство, а при скрещивании человека с его ближайшей родственницей шимпанзе – нельзя.
Шимпанзе, если кто не знает, это наши ближайшие родственники среди всех живущих ныне существ. Всего каких-то 7 000 000 лет назад от наших общих предков произошли две ветви – человек и шимпанзе. У нас 46 хромосом, а у шимпанзе – 48, но теоретически это не является препятствием для получения потомства при скрещивании. Лошади, имеющие 64 хромосомы, дают потомство при скрещивании с ослами, у которых хромосом на две меньше, а вот все попытки скрестить человека с шимпанзе оказались бесплодными. А попыток в свое время было много… Одни деятели хотели таким образом подтвердить родство между человеком и шимпанзе, а другие мечтали вывести расу неутомимых работников или послушных солдат, соединив человеческий разум с физической силой шимпанзе. Ничего из этой затеи не вышло, хотя теоретически должно было выйти, ведь геном шимпанзе отличается от человеческого на 6,4 %, иначе говоря, совпадение геномов составляет 93,6 %! Некоторые ученые даже предлагали причислить шимпанзе к роду Homo (Люди). Однако в биологии существует такое понятие, как репродуктивная несовместимость. При всей схожести геномов человека и шимпанзе гибридизация невозможна потому, что за 7 000 000 лет успело накопиться слишком много различий.
ПОСТСКРИПТУМЛюбой признак, который сохраняется в результате естественного отбора, может иметь несколько вариантов приспособительного значения, а также может быть побочным эффектом эволюционного развития других признаков или же просто случайно возникшим.
Приспособление не следует трактовать однобоко, как фактор, повышающий шансы на выживание и размножение данной особи в данной внешней среде. Приспособление может быть не только индивидуальным, но и групповым, то есть может повышать выживаемость всей популяции во внешней среде. Приспособление может повышать шансы особи не только во внешней, но и во внутрипопуляционной среде, в частности – повышать привлекательность особи для половых партнеров. Приспосабливаться можно по-разному.
Глава третья
Митохондриальная Ева и y-хромосомный Адам
А теперь давайте перейдем от теории к практике и посмотрим, какую пользу для изучения и понимания эволюционного процесса может дать генетика. Кстати говоря, эволюцию можно рассматривать как борьбу генов за выживание. У каждого организма существует одна-единственная биологическая цель – оставить как можно больше потомства, то есть – максимально растиражировать свои гены.
ДНК каждого организма уникальна и неповторима. Об этом знают даже люди, абсолютно далекие от генетики и биологии. Криминалисты в современных детективах не столько сравнивают отпечатки пальцев, сколько исследуют ДНК. А предусмотрительные преступники, отправляясь на дело, одеваются как хирурги перед операцией. Раньше им хватало перчаток, а теперь нельзя оставить на месте преступления ни волоса, ни капли крови, ни окурка, смоченного слюной… Жизнь преступников стала тяжелее, жизнь криминалистов стала интереснее, но интереснее всего стало нам, читателям и зрителям. Данные, полученные при анализе чьей-то ДНК, способны повернуть сюжет в совершенно неожиданную сторону или же закрутить его так лихо, что просто голова кругом пойдет…
С современниками и их ДНК все ясно и просто – взяли материал, да исследовали его. Но разве можно исследовать ДНК наших далеких предков и вообще ДНК организмов, умерших много-много лет назад? Ведь молекулы со временем разрушаются и чем больше молекула, тем масштабнее эти разрушения…
Да – молекулы со временем разрушаются, но из любого биологического материала, хотя бы из крохотного обломка кости или волоса, можно выделить ДНК, целые молекулы или их фрагменты. Волосы – это любимый материал генетиков. Они медленно разлагаются, и поэтому ДНК в них хорошо сохраняется. А еще волосы имеют гидрофобную поверхность, что позволяет хорошо отмывать их перед исследованием от грязи, содержащей постороннюю ДНК. «Консервации» ДНК способствуют такие факторы, как низкая влажность окружающей среды, низкие температуры и высокие концентрации некоторых солей. Разумеется, из останков, пролежавших в земле пятьдесят или сто тысяч лет, целых молекул ДНК получить невозможно, можно выделить только фрагменты, но по фрагментам можно достоверно воссоздать целое, у ученых есть такая возможность. А можно и не воссоздавать молекулу целиком, изучать только фрагменты, которые сами по себе дают много ценной информации. При помощи прибора, называемого амплификатором, исследователи могут создать необходимое количество копий исследуемых фрагментов или целых молекул. Часть ДНК обязательно сохраняется в специальных хранилищах, которые называются ДНК-библиотеками. Это делается для того, чтобы иметь материал для сравнения.
Возможности у современных генетиков поистине безграничные. Они даже способны обходиться без останков – ДНК можно получать из осадочных пород! В этих породах много разной ДНК намешано, но есть способы различать ДНК по видовой принадлежности и по возрасту. Можно надеяться на то, что исследование ДНК в осадочных породах рано или поздно позволит создать полную картину развития жизни на нашей планете. Станет точно известно, когда и где кто жил, раскроются все тайны эволюции.
До раскрытия всех тайн пока еще далеко, но и на сегодняшний день генетикам удалось многое сделать. Так, например, полностью воссоздан геном древней лошади, жившей примерно 700 000 лет назад, и, как уже было сказано выше, полностью установлен филогенетический ряд лошади.
Исследование ДНК современного человека и неандертальца доказало, что неандертальцы не являются нашими предками! Да, представьте себе – не являются. Наши пути, то есть пути наших предков и неандертальцев, разошлись примерно 300 000–400 000 лет назад. А еще установлено, что неандертальцы скрещивались с неафриканскими популяциями современных людей. Об этом свидетельствует неандертальская «примесь» в нашей ДНК.
По ходу нашего разговора мы не раз станем вспоминать о генах и генетических исследованиях. А сейчас давайте приступим к «расшифровке» заголовка этой главы. Кто такие Адам и Ева, объяснять не нужно, но почему Ева вдруг стала митохондриальной, а Адам – Y-хромосомным?
В митохондриях, маленьких клеточных энергетических станциях, как вы уже знаете, содержится своя митохондриальная ДНК. Этот вид ДНК наследуется только по материнской линии, поскольку отцовские митохондрии потомку не передаются. Сперматозоид представляет собой средство доставки ядерной ДНК к яйцеклетке. Подобно космическому кораблю, он должен быть предельно легким, ведь чем меньше вес, тем выше скорость. Размеры сперматозоидов у всех животных микроскопические. Наиболее крупные сперматозоиды у тритона, их длина составляет около 500 микрометров, а длина сперматозоидов человека варьирует в пределах 52–70 микрометров.

Строение сперматозоида
Маленькая головка, в которой кроме ядра (ДНК) практически ничего больше нет, коротенькая шейка с митохондриямии, длинный-предлинный хвост, выполняющий роль двигателя, вот что такое сперматозоид. Митохондрии нужны для обеспечения хвоста энергией, иначе бы их в шейке не было. Во время оплодотворения в яйцеклетку проникает только головка сперматозоида, шейка с хвостом остаются снаружи.
Чем меньше молекула, тем удобнее с ней работать исследователям. Молекулы митохондриальной ДНК относительно невелики. В нашей митохондриальной ДНК содержится «всего-навсего» 37 генов. Для сравнения, в молекулах ядерной ДНК счет генам идет на сотни или на тысячи. 13 митохондриальных генов кодируют синтез белков, служащих ферментами для проходящих в митохондриях химических реакций, а остальные гены кодируют синтез различных РНК.
Поскольку молекула митохондриальной ДНК во много раз короче молекулы ядерной ДНК, то митохондриальная ДНК лучше сохраняется в останках и при повреждениях ее проще восстанавливать. Да, разумеется, ядерная ДНК может дать гораздо больше информации, но приходится работать с тем, что есть. Как говорится – лучше синица в руках, чем журавль в небе, то есть лучше целая молекула митохондриальной ДНК, чем несколько коротеньких «невосстановимых» фрагментов ядерной ДНК.
Еще одно «преимущество» митохондриальной ДНК с исследовательской точки зрения заключается в ее количестве. В каждой митохондрии млекопитающих содержится от двух до десяти полностью идентичных молекул ДНК. А в клетке митохондрий от нескольких сотен до двух тысяч. Чем больше энергии нужно органу для жизнедеятельности, тем больше в нем митохондрий. Наибольшее их количество содержится в скелетных мышцах, сердце и головном мозге.

