
ортоСловарь

Екатерина Бойкова
ортоСловарь
«Найди себе дело по душе и тебе не придётся работать ни дня в своей жизни».
Конфуций (ок. 551 до н. э. – 479 до н. э.)
Введение
Автор – Екатерина Бойкова
Кандидат медицинских наук, врач-ортодонт, доцент кафедры детской стоматологии с курсом ортодонтии Смоленского Государственного Медицинского Университета
Работа выполнена на базе кафедры детской стоматологии с курсом ортодонтии ГБОУ ВО СГМУ, зав. каф. проф., д. м. н. Н. В. Гинали.
Книга предназначена для студентов стоматологических факультетов медицинских вузов, ординаторов, врачей-ортодонтов, стоматологов смежных специальностей, а также лиц, заинтересованных в ортодонтической практике и терминологии. Данный словарь служит целям облегчения понимания специфических терминов, средств и методов, встречающихся в сфере ортодонтии. Автор стремился максимально структурировать терминологию касаемо ортодонтической тематики. Успехов в ВАШЕЙ практике!
Автор выражает огромную благодарность заведующему кафедры детской стоматологии с курсом ортодонтии СГМУ Николаю Васильевичу Гинали за идею написания данной книги; сотрудникам кафедры за возможность адекватной работы в коллективе и ценные советы; семье – за поддержку на всех этапах работы над этим изданием: мужу – за корректуру и редактуру издания, детям – за вдохновление, родителям и сестре – за веру в мои силы.
А
Адгезивная система (адгезив) – это набор жидкостей, включающий в разных комбинациях протравливающий компонент, праймер и бонд, способствующие микромеханической фиксации стоматологических материалов к твердым тканям зуба.
Адгезив – "клеящее вещество", материал для сцепления двух поверхностей, в ортодонтии применяется для фиксации ортодонтических устройств к тканям зуба.
Адгезия – это процесс взаимодействия одного материала с другими на одной поверхности соприкосновения. Адгезию к тканям зуба в большинстве случаев называют бондингом.
Адентия – отсутствие зуба. Различают истинную адентию, когда изначально отсутствует зачаток зуба и вторичную – отсутствие зуба из-за хирургического удаления ввиду различных причин.
Аксиальная (плоскость, разрез) – плоскость, проходящая в вертикальном направлении
Активное ортодонтическое лечение (фаза) – стадия ортодонтического лечения при перемещении зубов и/или положении челюстей.
Активное лигирование – тип лигирования, при котором дуга прижимается к пазу брекета с образованием «точки касания».
Альвеолярная дуга – воображаемая кривая, проходящая через вершину альвеолярного отростка.
Анализ КДМ по В. Л. Устименко позволяет диагностировать макро- и микродентию, основан на сравнении поперечных размеров коронок зубов со среднестатистическими величинами, имеются табличные данные.
Анализ контрольно-диагностических моделей (анализ КДМ) – измерения гипсовых моделей челюстей и интерпретация полученных данных на этапах ортодонтического лечения для уточнения постановки диагноза и составления, а также корректировки плана лечения ортодонтического пациента.
Анализ по А. В. Тихонову и соавт. представляет собой формулы расчета величины предполагаемого расширения в области клыков, премоляров и моляров.
Анализ по Хаусу – Н. Г. Снагиной – оценка ширины и длины апикального базиса челюстей, основан на корреляционной зависимости между суммой мезиодистальных размеров 12 постоянных зубов и шириной / длиной апикального базиса, используется для определения сужения зубных рядов по процентному отношению ширины зубной дуги к сумме мезиодистальных размеров 12 зубов. Есть 2 степени сужения, имеются табличные данные.
Анализ по Хиксону и Олдфазеру – рентгенологический корреляционно-статистический метод прогнозирования размера постоянных зубов нижней челюсти. Позволяет оценить наличие (дефицит) места для предполагаемых размеров зубов, основываясь на сравнительной оценке измерений мезиодистальных размеров зубов на рентгенологическом снимке и КДМ, имеются табличные данные.
Анализ по Цейзингу – изучение параметров тела человека по принципу золотого сечения, или золотого деления (деление в крайнем и среднем отношении).
Ангуляция – наклон зуба и его коронки в мезиодистальном направлении.
Анкораж – стабилизирующая опора. В ортодонтии чаще всего подразумевается в качестве скелетной опоры.
Аномалия – отклонение в строении органа или его функции.
Антенатальная патология – все виды отклонений нормального развития зародыша от момента образования зиготы до начала родов.
Антериальный (антериальная сторона) – фронтальная, передняя.
Антропометрия – физико-антропологическая дисциплина, занимающаяся измерениями физических характеристик человека. Антропометрическое исследование основано на закономерностях строения лицевого и мозгового отделов черепа, пропорциональности соотношения разных отделов головы и отношений их к определенным плоскостям. Изучение проводится на лице пациента, на фотографиях лица и телерентгенограммах.
Апикальный базис – воображаемая плоскость, проходящая через верхушки корней зубов.
Аплазия – полное отсутствие эмали зубов.
Апрайтинг – нормализация наклона зубов в более вертикальном положении. Как правило, имеется в виду создание дистального наклона изначально наклоненных мезиально зубов.
Арка улыбки (дуга улыбки) – положение режущих краев резцов параллельно линии нижней губы при улыбке.
Артикулятор – аппарат, воспроизводящий движения нижней челюсти в лабораторных условиях. Бывает универсальный, полурегулируемый, регулируемый. Примеры артикуляторов: Бонвиля, Вустрова, Ганау, Гритмана, Гизи-Турбайта, Румпеля, Сорокина, Хайта, Христенсена, Шредера, Протар 1 и 2. В зависимости от возможности настройки суставных и резцовых путей и от особенностей устройства суставного механизма бывают среднеанатомические и индивидуально настраиваемые (частично или полностью) – 1-й тип, а также дуговые («Arcon») и бездуговые («Non-Arcon»)– 2-й тип. Артикулятор полурегулируемый имеет механизмы воспроизведения суставных и резцовых путей, которые можно настраивать по средним данным, а также по индивидуальным углам этих путей, полученным у пациента (блоки, фиксирующие боковые и переднюю окклюзии).
Для настройки полностью регулируемых артикуляторов необходимы пантографические или аксиографические записи движений нижней челюсти (артикуляторы «TMJ», «Stuart» и др.). Артикулятор среднеанатомический имеет фиксированные суставные и резцовые углы и может быть использован при протезировании беззубых челюстей.
Артикуляция – всевозможные положения и перемещения нижней челюсти относительно верхней, осуществляемые посредством жевательной мускулатуры.
Аттачмент – искусственно созданные крепления (чаще из композита), используемые как вспомогательный элемент в ортодонтичеком лечении (например, аттачменты в виде треугольных или прямоугольных выступов при лечении на элайнерах), которые удаляются после завершения лечения.
Б
Базис ортодонтического аппарата – опорный элемент съемного ортодонтического аппарата, как правило, изготавливается из пластмассы; служит для удержания остальных частей аппарата, а также для фиксации последнего в полости рта пациента.
Баланс места – это разница между местом, имеющимся в зубной дуге и местом, необходимым для установки зубов. Положительный баланс места характеризуется наличием трем, скученность зубов соответствует отрицательному балансу места. При суммировании квадрантов одной челюсти можно определить баланс места всей зубной дуги соответствующей челюсти.
Бионатор – ортодонтический аппарат комбинированного действия, бывает трех типов в зависимости от характера действия и формы патологии. Состоит из боковых пластмассовые щитов, которые соединены во фронтальном участке нижней челюсти с язычной стороны для увеличения опоры аппарата; небного бюгеля, изогнутый кзади в первых двух видах аппарата и вперед в третьем; окклюзионных накладок в боковых отделах; вестибулярных назубных дуг с петлевидными отростками в боковых участках для отведения щек и предотвращения втягивания слизистой оболочки щек в межокклюзионное пространство.
Бипрогнатия (бипрогнатический прикус) – вид физиологического прикуса, при котором соблюдаются все признаки ортогнатического прикуса характеризующийся передним наклоном резцов обеих челюстей с образованием режуще-бугоркового контакта при сохранении всех признаков ортогнатического прикуса.
Боковая окклюзия – смыкание зубов при движении нижней челюсти в сторону, при этом образуются балансирующие контакты (по Гизи), подразделяющиеся на правые и левые.
Брадилалия – замедленный темп речи.
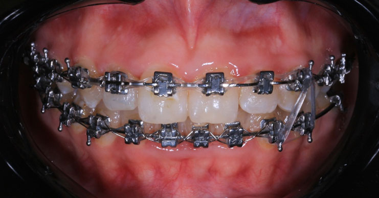
Брекет – небольшое металлическое, керамическое или пластмассовое устройство, элемент брекет-системы, фиксируемой к зубу посредством стоматологического материала; имеет паз для дуги, крылья и опорную площадку. Брекет (замок) – элемент брекет-системы, фиксируемый на поверхности зуба посредством стоматологического материала (специальной адгезивной системы, композита, СИЦА). Имеет опорную площадку, паз для установки дуги, крылья, в некоторых конструкциях возможно наличие крючков. По месту фиксации различают вестибулярные брекеты (фиксируются на вестибулярной поверхности зубов) и лингвальные (фиксируются на лингвальной поверхности зубов). По материалу изготовления различают металлические брекеты (изготавливаются из различных сплавов металла) и эстетические (изготовлены из эстетических видов материала: пластик, композит и прочие). По механизму фиксации с дугой различают лигируемые брекеты (дуга фиксируется в пазе брекета с помощью лигатуры) и самолигирующиеся: активного и пассивного лигирования (дуга фиксируется в пазе брекета с помощью защелки самого брекета). Форма и размер брекета варьируется от принадлежности каждого зуба, а также от фирмы-производителя, материала изготовления и места фиксации.
Бруксизм – непроизвольное сжатие, постукивание, скрежетание зубов в дневное и(или) ночное время вследствие парафункциональной активности жевательной мускулатуры.
Буккальный – относящийся ко рту или щеке.
В
Вакуумная терапия методом В. И. Кулаженко применяется при исправлении аномалийного положения отдельных зубов, сужении зубных рядов, позволяет улучшить кровоснабжение и трофику в зоне воздействия и прилегающих участков костной ткани, усилить обменные процессы, повысить уровень репаративных процессов в костной ткани.
Вертикальная (плоскость) имеет направление сверху вниз.
Вестибулопластика – операция, проводимую в преддверии рта с целью его коррекции (углубления).
Вестибулярная пластинка (индивидуальная или стандартная) – аппарат из пластмассы или силикона, представляет собой вогнутую пластинку, располагаемую в преддверии рта, чаще с кольцом-держателем снаружи; может использоваться как профилактический аппарат и в качестве лечебно-профилактического. Профилактический эффект аппарата заключается в предотвращении вредных привычек сосания пальцев, посторонних предметов, закусывания щек, губ и ротового дыхания. Лечебное действие аппарат оказывает благодаря включению в него дополнительных элементов: заслонки для языка, бусинки.
Вестибулярная дуга – часть съемного ортодонтического аппарата, располагающаяся на вестибулярной поверхности зубов, заканчивается в базисе конструкции. Обычно проходит на уровне резцов и клыков. Применяют как для исправления положения отдельных или групп зубов (для изменения наклона фронтальных зубов (перемещает их в оральном направлении) и для задержки роста фронтального участка челюсти), так и в качестве фиксирующих элементов, а также с целью ретенции результатов, достигнутых во время активного ортодонтического лечения.
Вестибулярное положение – расположение зуба кнаружи от зубного ряда.
Вибрационное воздействие – одна из методик физиотерапевтической коррекции; представляет собой комплекс колебаний высокого и низкого давления, возникающих при действии вибратора и создающих эффект насоса: происходит всасывание крови и тканевой жидкости в зоне действия аппарата с последующим извлечением их после каждого цикла. Благодаря этому возрастает интенсивность тканевого обмена, активизируются процессы резорбции и костеобразования. Применяется для ускорения перемещения зубов и стимуляции прорезывания ретинированных зубов.
Височно-нижнечлюстной сустав (ВНЧС) – парный диартроз (сустав) на черепе, соединяющий нижнюю челюсть с основанием черепа. Образован головкой нижнечелюстной кости и нижнечелюстной ямкой, является эллипсовидным двуосным суставом височной кости. Уникальным образованием сустава является внутрисуставной диск, который срастаясь с капсулой сустава разделяет полость суставной капсулы на два обособленных отдела. Основными элементами сустава являются: суставная головка нижней челюсти, суставная поверхность височной кости, капсула, внутрисуставной диск, связки. По строению относится к мыщелковым, но благодаря наличию внутрисуставного хрящевого диска в нём возможны движения в трёх направлениях: фронтальная ось: опускание и поднятие нижней челюсти (открывание и закрывание рта) – совершается в нижнем отделе сустава, между хрящевым диском и головкой нижней челюсти; сагиттальная ось: смещение нижней челюсти вперёд и назад – совершается в верхнем отделе сустава, между хрящевым диском и суставной поверхностью височной кости; вертикальная ось: боковые движения (ротация нижней челюсти) при жевании – на одной стороне головка нижней челюсти вместе с хрящевым диском выходят из суставной ямки на бугорок, а с противоположной стороны осуществляется ротация головки нижней челюсти относительно суставной впадины вокруг вертикальной оси.
Воск ортодонтический – воск для предотвращения травмирования мягких тканей при использовании несъемной аппаратуры.
Временные зубы («молочные») – первый комплект зубов у людей и многих других млекопитающих; у людей прорезываются после рождения в определённой последовательности.
Высота коронковой части зуба – расстояние от режущего края (окклюзионной поверхности) зуба до его границы со слизистой оболочкой (для передних зубов – по середине вестибулярной поверхности, для боковых – по середине щечного бугра).
Высота окклюзии – это длина, или вертикальный размер нижней трети лица в состоянии, когда зубы контактируют в положении центральной окклюзии. Она представлена в виде расстояния между двумя произвольно выбранными точками на лице выше и ниже рта.
Высота покоя – длина нижней трети лица при нахождении нижней челюсти в положении физиологического покоя.
Г
Гарсона морфологический индекс лица – это процентное соотношение морфологической высоты лица к наибольшей скуловой ширине.
Геометрически-графический метод Хаулея-Гербера-Гербста основывается на зависимости формы верхней и нижней зубных дуг относительно мезиодистальной ширины коронок трех постоянных зубов: центрального резца, латерального резца и клыка верхней челюсти.
Гермэктомия – удаление зачатков зубов, чаще ретинированных третьих моляров.
Гингивит – это воспаление десен без нарушения целостности зубодесневого соединения.
Гипердонтия – увеличение количества зубов по сравнению со среднестатистическими показателями.
Гипоплазия эмали зуба – недостаточное развитие поверхностного слоя (эмали) молочных или постоянных зубов.
Глубокий прикус – аномалия окклюзии в вертикальном направлении, характеризующаяся увеличением перекрытия нижних резцов верхними более чем на треть высоты их коронок и нарушением режуще-бугоркового контакта вплоть до его отсутствия.
Глубокое резцовое перекрытие зубов – вид прикуса, при котором соблюдаются все признаки ортогнатического прикуса, характеризующийся увеличением перекрытия нижних резцов верхними более чем на треть высоты их коронок с сохранением режуще-бугоркового контакта.
Гнатодинамометр – прибор для измерения жевательного давления на отдельных участках зубных рядов, а также измерения выносливости пародонта к жевательному давлению (например, гнатодинамометр Блэка 1893; Габера, 1919; Тиссенбаума, 1945); бывают механические, гидравлические и электронные, применяемые в настоящее время.
Гнатодинамометрия (греч. gnathos челюсть + dynamis сила + metreo измеряю) – измерение силы жевательного давления, возникающего при сжатии зубов в результате сокращения жевательных мышц. Применяется для выявления чувствительности пародонта к функциональной нагрузке. На основе этих данных в динамике изучаются функциональные изменения опорного аппарата зубов при развитии патологических и восстановительных процессов в пародонте, определяется оптимальная конструкция зубного протеза, обеспечивающего восстановление функции зубочелюстной системы.
Гнатология – область знаний в стоматологии, изучающая морфофункциональные взаимосвязи тканей и органов зубо-челюстной системы в норме и патологии; тесно связана с постурологией, кинезиологией и нейрофизиологией. Гнатологическая концепция является основой любого реконструктивного лечения функциональной окклюзии и заболеваний височно-нижнечелюстного сустава.
Головная шапочка – элемент фиксации внеротовых аппаратов (например, лицевой дуги или подбородочной пращи).
Границы базиса верхнечелюстной пластинки – базис аппарата покрывает небо, скаты альвеолярных отростков, контурируя небные поверхности зубов; задний край выравнивают по линии, которая соединяет дистальные поверхности последних моляров. Иногда свод неба закрывают не полностью, чтобы базис имел меньшую площадь и не вызывал раздражение корня языка (например, при повышенном рвотном рефлексе).
Границы базиса нижнечелюстной пластинки – кроме передней, боковой и задней имеет нижнюю границу, которая проходит в подъязычной области в месте перехода альвеолярного отростка в дно полости рта; задняя граница проходит за дистальными поверхностями последних моляров, во фронтальном участке – выемка для уздечки языка.
Губная (поверхность) – поверхность зубов в обеих челюстях, обращенных к губам.
Губной бампер – элемент ортодонтического аппарата, служит для предотвращения давления круговой мышцы рта (губ) на зубной ряд.
Губные пелоты – элементы для устранения действия губ на зубные ряды, располагаются во фронтальном участке челюстей между губами и альвеолярным отростком на расстоянии 2–2,5 мм от последнего. Отводя нижнюю или верхнюю губу вперед, содействуют росту апикального базиса.
Д
Двойной прикус – состояние прикуса, при котором пациент может сомкнуть зубы в исходном (до лечения) и в новом (после лечения) положении.
Девиация – это любое отклонение от средней линии во время открытия рта, которое исчезает при продолжении открывания (возращение к средней линии).
Дефлексия (дефлекция) – это любое смещение от средней линии, которое становится больше при открытии и поддерживается в этом положении при максимальном открытии (не возвращается к средней линии).
Деминерализация – это обратимый процесс изменения структуры эмали зубов под воздействием кислотам, которые образуются в результате жизнедеятельности микроорганизмов полости рта.
Дегисценция – утрата части альвеолярной кости со стороны вестибулярной, реже язычной поверхности зуба с образованием характерного овального дефекта, обнажающего пришеечный участок корня ниже эмалево-цементной границы. Дефект может иметь длину 1 или 2 мм или соответствовать по протяжённости всему корню зуба. Дегисценция характеризуется тремя основными признаками: рецессией десны, потерей части альвеолярной кости и обнажением корня зуба. Фенестрация от дегисценции отличается наличием пояска костной ткани между дефектом альвеолярной кости и коронкой зуба.
Десна – слизистая оболочка, покрывающая альвеолярный отросток верхней челюсти и альвеолярную часть нижней челюсти и охватывающая зубы в области шейки.
Десневая улыбка – тип улыбки, при которой чрезмерно обнажается десна пациента.
Деформация – изменение формы органа под влиянием внешних сил.
Диагностика (медицинская) – заключения о сущности болезни и состоянии пациента, выраженное в принятой медицинской терминологии.
Диаграмма Хаулея – Гербера – Гербста – графический метод диагностики позволяет оценить форму и пропорциональность зубных рядов.
Диастема – промежуток между центральными резцами верхней либо нижней челюсти.
Диверегнция – расхождение. В стоматологии (ортодонтии) – отклонение (расхождение) коронок (корней) зубов, ограничивающих дефект зубного ряда на протяжении одной челюсти; отклонение коронок (корней) зубов из стороны дефекта.
Дизартрия – грубое нарушение речи, обусловленное поражением центральной и периферической нервной системы.
Дизокклюзия – разобщение смыкающихся между собой окклюзионных поверхностей зубных рядов путем введения между ними аппарата или его элементов; отсутствие контакта между зубами-антагонистами.
Динамическая окклюзия – контакт челюстей во время скользящих движений.
Динамометр – прибор для измерения силы или момента силы, состоит из силового звена (упругого элемента) и отсчётного устройства. По принципу действия различают динамометры механические (пружинные или рычажные), гидравлические и электронные. Иногда в одном динамометре используют два принципа. В ортодонтии используют для определения силы действия механических элементов, например, пружины, эластической тяги.
Динамометрия – это метод измерения силы сокращения различных мышечных групп.
Дисгнатия – последствие неправильного развития, неправильное положение зубов, нарушенная окклюзия, артикуляция, форма челюсти, нарушения в суставах, положении прикуса по отношению к черепу, функции зубочелюстной системы.
Дислалия – расстройство звукопроизношения.
Дистальное смещение (дистализация) – смещение объекта кзади в сагиттальной плоскости.
Дистальный прикус (прогнатия) – аномалия окклюзии в сагиттальном направлении, характеризующееся задним расположением нижних зубов по отношению к верхним. Главными признаками такого прикуса являются: смещение медиально-щечного бугорка верхнего первого моляра кпереди от межбугровой фиссуры нижнего моляра, может наблюдаться смещение челюстей. Возможны варианты чрезмерно развитой верхней челюсти или недоразвитая нижней, либо нарушение взаиморасположения челюстей приводящие к тому, что верхние зубы выдаются вперед, резцы могут быть наклонены в сторону языка или губ, а верхний моляр оказывается между первым и вторым нижним молярами.
Дистопия – неправильное положение органа (например, прорезывание и расположение зуба вне зубного ряда).
Дистрактор – устройство, которое позволяет произвести измеримую, постепенную, контролируемую дистракцию черепно-лицевых костей, то есть их вытягивание и растягивание в различные стороны. Состоит из: опорных колец, которые оснащены замками для фиксации дуг; металлических дуг, которые крепятся к опорным кольцам, сходятся в области неба; винта-активатора. Различают 2 типа дистракторов: фиксирующийся на кольцах, как описано выше. Согласно данному виду выделяют и метод SARPE (surgically assisted rapid palatal expantion) – метод расширения верхней челюсти, остеотомия небного шва, применяется в случаях, когда ортодонту не удается расширить верхнюю челюсть не хирургическими методами. Существуют дистракторы, фиксирующиеся на минивинтах MARPE (mini-implant assisted rapid palatal expander).

