
Атлас эхокардиографии

Атлас эхокардиографии
Гульшат Латыпова
Шеф-редактор Елена Жаркова
Литературный агент Лилия Сараева
© Гульшат Латыпова, 2025
ISBN 978-5-0067-1742-8
Создано в интеллектуальной издательской системе Ridero
Пошаговая инструкция по проведению эхокардиографии
Эхокардиография – один из ключевых диагностических методов исследования функционального состояния сердца, с его помощью можно своевременно выявить морфологические и функциональные изменения сердца и его клапанного аппарата. От того, насколько грамотно и качественно выполнено исследование, зависит дальнейшая тактика работы с пациентом, а значит, его здоровье и даже жизнь.

Давайте знакомиться? Меня зовут Гульшат Латыпова, я врач функциональной и ультразвуковой диагностики, автор легендарного «Полного курса по ЭхоКГ и по сосудам» и международный преподаватель авторских мастер-классов по ЭхоКГ.
– У меня есть опыт работы в самом крупном центре трансплантации России, а также скоропомощной больнице (Москва).
– Количество учеников по всему миру превысило 1500 человек.
– Выпускники курса становятся заведующими отделениями, открывают свои клиники и становятся лучшими специалистами.
Я знаю, как важно чувствовать себя уверенно во время проведения эхокардиографии, поэтому подготовила для вас учебное пособие, которое поможет «поставить руку» и сделает обучение простым и доступным. В этом атласе для самостоятельного изучения подробно описаны все основные этапы эхокардиографии, с его помощью вы сможете получить ответы на большинство вопросов о проведении ЭхоКГ.
Удачи в обучении! Начинаем!
Эхокардиография. Пошаговый план
В этом пособии я расскажу, какие основные доступы используются при проведении ЭхоКГ, а также о том, какие структуры можно оценить в каждой позиции. Для проведения исследования вам понадобится датчик и гель, и конечно, пациент. Обратите внимание, у каждого секторного датчика имеется маркер (риска), положение которого имеет значение.
Парастернальный доступ. Длинная ось ЛЖ.
После того как пациент занял исходное положение (на левом боку, левая рука под головой, правая вдоль туловища), необходимо нанести гель на датчик и приложить к груди обследуемого. Ориентироваться следует на третье-четвертое межреберье, маркер датчика обращен на правое плечо пациента. На рис.1 можно увидеть расположение датчика на теле пациента и идеальную картинку в этой позиции.

Рис.1
Все измерения в эхокардиографии важно производить в определенную фазу сокращения: в диастолу или в систолу. Первое измерение в этом доступе – фиброзное кольцо аортального клапана, его мы проводим в пик систолы. Для этого мы фрезуем изображение и отматываем видеопетлю на тот момент, когда створки аортального клапана открыты. Берем калипер и делаем измерение: размер фиброзного кольца составил 1,97 см (рис.2).

Рис.2
Аорту необходимо измерять в четырех точках: фиброзное кольцо, синусы Вальсальвы, синотубулярное соединение и проксимальная часть – восходящая часть аорты. Из них только фиброзное кольцо измеряется в систолу, остальные параметры в диастолу, когда створки аортального клапана закрыты. На этом этапе необходимо перемотать изображение на фазу диастолы.
С каждого изображения мы должны получить максимум информации. Проводим перпендикуляр, измеряем синусы Вальсальвы, затем синотубулярное соединение и восходящую часть аорты – ее максимальную часть. Все измерения видны на рисунке 3: синусы Вальсальвы – 3,1 см, восходящая часть аорты – 2,93 см, а синотубулярное соединение – 3,0 см. Здесь же можно измерить линейный размер левого предсердия, для этого мы проводим перпендикуляр и делаем замеры, в данном случае получили ровно 3 см (рис. 3).

Рис.3
Теперь можно переходить к оценке желудочков. Продолжаем работать в парастернальной позиции по длинной оси, с помощью кнопки «freeze» фиксируем изображение на фазе диастолы, когда створки митрального клапана открыты. Именно в этой фазе в бета-режиме мы проводим измерения: правый желудочек 2.5 см, а передняя стенка правого желудочка 0,29 см (рис.4). В этой же позиции мы можем измерить толщину межжелудочковой перегородки, толщину задней стенки левого желудочка и его конечно-диастолический, то есть наибольший размер. На изображении можно увидеть гиперэхогенную линию – это перикард. Получаем замеры: толщина межжелудочковой перегородки 1 см, толщина задней стенки 0,92 см, конечно-диастолический размер 4 см (рис.4).

Рис.4
Далее мы должны определить конечно-систолический размер. Обратите внимание, само название дает нам подсказку: конечно-диастолический размер мы определяем в конце диастолы, а конечно-систолический размер в конце систолы. Необходимо перемотать кинопетлю на конец систолы, когда створки митрального клапана закрыты, так мы сможем измерить наименьший размер левого желудочка. Проводим измерение: получаем 2,7 см (рис.5).

Рис.5
Мы получили много информации, практически все линейные размеры сердца, и теперь можно перейти на короткую ось.
Парастернальный доступ. Короткая ось
У парастернальной позиции по короткой оси есть четыре позиции, измерения проводятся на уровне:
– аорты (аортального клапана),
– митрального клапана,
– папиллярных мышц,
– верхушки левого желудочка.
Именно в этих позициях мы продолжим работу.
Парастернальный доступ. Короткая ось на уровне аортального клапана.
Для смены позиции необходимо снова вывести парастернальную позицию по длинной оси левого желудочка, а затем повернуть датчик по часовой стрелке (рис. 6).

Рис. 6
В центре изображения вы увидите аортальный клапан, также можно рассмотреть пульмональный клапан, трикуспидальный клапан, легочный ствол и ветви (рис.7).

Рис. 7
В этой позиции можно оценить, нет ли регургитации на пульмональном клапане, для этого нужно включить допплер и оценить изображение. Учитывайте, что незначительная регургитация на пульмональном клапане допустима, на рис. 8 представлен как раз такой случай.

Рис. 8
Далее включаем и устанавливаем на створке пульмонального клапана импульсно-волновой допплер, регистрируем кровоток и переходим к измерениям. Необходимо обвести кровотоки от базовой линии до базовой линии, получаем результат: максимальная скорость 1,06 м/с, максимальный градиент 4,56 мм рт. ст. (рис. 9).

Рис. 9
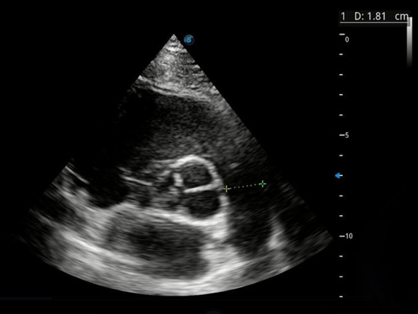
Снова возвращаемся в парастернальную позицию по короткой оси на уровне аорты. Наша задача – измерить диаметр легочного ствола, на рисунке 10 он составляет 1,81 см.

Рис. 10
Кроме того, в этой позиции можно поставить цветовой допплер на трикуспидальный клапан (рис. 11), измерить размер выходного тракта правого желудочка и проверить межпредсердную перегородку.

Рис.11
Парастернальный доступ. Короткая ось на уровне митрального клапана.
Переходим к следующему доступу. Из парастернальной позиции по короткой оси на уровне аортального клапана (рис. 12) это можно сделать легким движением, смещая датчик аппарата вниз (рис. 13).

Рис.12. Парастернальная позиция по короткой оси на уровне аортального клапана

Рис.13. Парастернальная позиция по короткой оси на уровне митрального клапана
Смещая датчик вниз, вы увидите митральный клапан. В центре изображения (рис.14) левый желудочек, правый желудочек визуализируется в форме полумесяца. Мы видим все сегменты базального отдела: переднюю стенку, нижнюю стенку, боковую стенку, переднеперегородочную стенку. Таким образом, в этой позиции мы можем оценить зоны нарушения локальной сократимости левого желудочка.
Конец ознакомительного фрагмента.
Текст предоставлен ООО «Литрес».
Прочитайте эту книгу целиком, купив полную легальную версию на Литрес.
Безопасно оплатить книгу можно банковской картой Visa, MasterCard, Maestro, со счета мобильного телефона, с платежного терминала, в салоне МТС или Связной, через PayPal, WebMoney, Яндекс.Деньги, QIWI Кошелек, бонусными картами или другим удобным Вам способом.
Приобретайте полный текст книги у нашего партнера:

