
Жировая болезнь печени: понятие, связь с другими недугами, лечение домашними средствами, диета

Жировая болезнь печени: понятие, связь с другими недугами, лечение домашними средствами, диета
Маргарита Васильевна Акулич
© Маргарита Васильевна Акулич, 2024
ISBN 978-5-0062-8286-5
Создано в интеллектуальной издательской системе Ridero
Предисловие

В предлагаемой книге развернуто рассказано о жировой болезни печени, о ее связи с другими недугами (такими, к примеру, как диабет 2-го типа). Поведано о полезных и вредных продуктах, о полезных травах, помогающих справиться с рассматриваемым заболеванием, даны соответствующие рекомендации.
Книга поможет людям лучше разобраться в своем заболевании (фактическом или потенциальном). По мнению автора книги это чрезвычайно важно. Хотя не исключено, что для некоторых медиков она может оказаться интересной.
При подготовке книги использованы в основном англоязычные источники.
Имеются противопоказания. Требуется консультация специалиста.
I Печень. Жировая болезнь печени
1.1 Печень – самый крупный орган человеческого тела. Жировая болезнь печени
Печень – самый крупный орган человеческого тела

Печень является самым крупным внутренним органом человеческого тела. Расположенная в верхней правой части живота, она помогает перерабатывать пищу и выводит из организма токсины.
Основные функции печени – удаление токсинов и переработка питательных веществ пищи. Кровь из пищеварительной системы фильтруется через печень, прежде чем попасть в другие части тела.
Печень играет ключевую роль в контроле поступления энергии в организм. Сахар (глюкоза) в вашей крови переносится инсулином в клетки и сжигается для получения энергии. Но когда глюкоза не может легко проникнуть в клетки (как при резистентности к инсулину или когда вы просто едите больше, чем вам нужно), эта дополнительная энергия превращается в жир в форме триглицеридов, которые откладываются в клетках вашей печени. Тот же процесс происходит у людей, употребляющих слишком много алкоголя. То, что начинается с отложения слишком большого количества жира в печени, может привести к воспалению, повреждению клеток печени и, в конечном итоге, к образованию рубцов.
Жировая болезнь печени
Жировая болезнь печени (стеатоз) представляет собой накопление избыточного жира в клетках печени и является распространенной болезнью печени в западных странах. Это затрагивает примерно одного из каждых 10 человек.
Это нормально, если в печени содержится некоторое количество жира, но если жир составляет более 10 процентов от веса печени, то у вас ожирение печени и могут развиться более серьезные осложнения.
Жировая болезнь печени – это накопление жиров в печени, которое может повредить орган и привести к серьезным осложнениям.
Ожирение печени может не причинять вреда, но иногда избыток жира приводит к воспалению печени. Это состояние, называемое стеатогепатитом, действительно вызывает повреждение печени. Иногда воспаление печени связано со злоупотреблением алкоголем. Это известно как алкогольный стеатогепатит. Но не всегда виновен алкоголь. Виновницей может оказаться жирная печень. Иначе это состояние называется неалкогольным стеатогепатитом или NASH.
Воспаленная печень со временем может покрыться рубцами и затвердеть. Это состояние, называемое циррозом печени, является серьезным и часто приводит к печеночной недостаточности. NASH входит в тройку основных причин цирроза печени.
1.2 Причины жировой болезни печени. Факторы риска жировой болезни печени
Причины жировой болезни печени
Избыток калорий приводит к накоплению жира в печени. Когда печень не перерабатывает и не расщепляет жиры, обычно накапливается слишком много жира. Люди склонны к развитию ожирения печени, если у них есть другие определенные заболевания, такие как ожирение, диабет или высокий уровень триглицеридов.
Злоупотребление алкоголем, быстрая потеря веса и неправильное питание также могут привести к ожирению печени. Однако у некоторых людей развивается ожирение печени, даже если у них нет ни одного из этих состояний.
Факторы риска жировой болезни печени

Большинство, но не все пациенты с ожирением печени – люди среднего возраста и с избыточным весом. Факторами риска, которые чаще всего связаны с жировой болезнью печени, являются:
избыточный вес (индекс массы тела 25—30)
ожирение (индекс массы тела выше 30)
сахарный диабет
повышенный уровень триглицеридов.
чрезмерное употребление алкоголя
В большинстве случаев людям с жировой болезнью печени рекомендуется изменить свой рацион, регулярно заниматься физическими упражнениями бросить пить алкогольные напитки и худеть.
1.3 Метаболический синдром и жировая болезнь печени

Понятие метаболического синдрома
Многие исследователи сейчас полагают, что метаболический синдром – группа заболеваний, повышающих риск развития диабета, болезней сердца и инсульта – играет важную роль в развитии ожирения печени.
Признаки и симптомы метаболического синдрома
Признаки и симптомы метаболического синдрома:
– ожирение, особенно в области талии (абдоминальное ожирение)
– высокое кровяное давление (гипертония) – один или несколько аномальных уровней холестерина – высокий уровень триглицеридов (тип жира в крови) или низкий уровень холестерина липопротеинов высокой плотности (HDL), «хорошего» холестерина.
– резистентность к инсулину, гормону, который помогает регулировать количество сахара в крови.
Наиболее серьезным триггером NASH может быть нсулинорезистентность, представляющая собой нарушение метаболического ответа на инсулин (экзогенный либо эндогенный). Это состояние, провоцирующее повышенную концентрацию инсулина в плазме крови в сопоставлении с физиологическими значениями для имеющейся концентрации глюкозы. Применение данного понятия имеет место ко всем физиологическим эффектам инсулина, его влиянию на жировой и белковый, обмен, состояние эндотелия сосудов. Развитие резистентности может произойти как комплексно, так и по отношению к одному из эффектов инсулина независимо от других.
Поскольку это состояние способно оставаться стабильным в течение многих лет, не причиняя особого вреда, исследователи предположили, что «второй удар» по печени, такой как бактериальная инфекция или гормональные нарушения, может привести к циррозу печени.
1.4 Как печень жирнеет. Симптомы жировой болезни печени
Как печень жирнеет
Непонятно, как печень становится жирной. Жир может поступать из других частей вашего тела, или ваша печень может поглощать повышенное количество жира из кишечника. Другое возможное объяснение состоит в том, что печень теряет способность превращать жир в форму, от которой можно избавиться. Однако употребление жирной пищи само по себе не приводит к ожирению печени.
Симптомы жировой болезни печени
Ожирение печени само по себе поначалу не вызывает никаких симптомов, поэтому люди часто узнают о своем ожирении печени, когда проходят медицинские обследования по другим причинам. NASH может повреждать печень в течение многих лет или даже десятилетий, не вызывая никаких симптомов. Если заболевание ухудшается, вы можете испытывать усталость, потерю веса, дискомфорт в животе, слабость и спутанность сознания.
По мере прогрессирования жировой болезни печени и ухудшения функции печени могут начинать появляться признаки и симптомы. Одним из явных признаков заболевания печени является изменение метаболизма аминокислот. Добавление аминокислот (особенно, аминокислот с разветвленной цепью) может значительно улучшить здоровье печени. Клинические данные показывают, что на наличие заболевания печени могут указывать следующие симптомы.
Боль и болезненность в правом верхнем углу живота из-за увеличения печени.
Потеря аппетита
Потеря веса
Слабость
Усталость
Желтуха (пожелтение кожи и глаз)
Слабость
Зуд
Носовые кровотечения
Сосудистые звездочки (скопления кровеносных сосудов, напоминающие паутину)
Путаница и трудности с концентрацией внимания
Асцит (боль в животе и отек)
Отеки (нередко наблюдаются отеки ног)
Гинекомастия (представляющая собой патологию молочных желез у лиц мужского пола, проявляющуюся одно- или двухсторонним увеличением их размера из-за разрастания жировой ткани).
1.5 Диагностика жировой болезни печени. Некоторые вопросы, которые следует задать врачу после постановки диагноза
Диагностика жировой болезни печени
Ваш врач может увидеть что-то необычное в анализе крови или заметить, что ваша печень слегка увеличена во время обычного осмотра. Это могут быть признаки ожирения печени. Чтобы убедиться в отсутствии другого заболевания печени, ваш врач может попросить провести дополнительные анализы крови (включая функциональные тесты печени), УЗИ, компьютерную томографию (CT) или медицинскую резонансную томографию (MRI).
Если другие заболевания исключены, вам может быть поставлен диагноз NASH. Единственный способ узнать наверняка – сделать биопсию печени. Ваш врач возьмет образец ткани печени иглой и проверит его под микроскопом
Некоторые вопросы, которые следует задать врачу после постановки диагноза
Некоторые вопросы, которые следует задать врачу после постановки диагноза, представлены ниже.
Какова вероятная причина вашего ожирения печени?
Есть ли у вас NASH? Если нет, то насколько вероятно, что у вас разовьется NASH?
Есть ли у вас цирроз печени? Если нет, то насколько вероятно, что у вас разовьется цирроз печени?
Нужно ли вам худеть? Как вы можете сделать это безопасно?
Должны ли вы принимать какие-либо лекарства для контроля уровня холестерина и триглицеридов?
Каких лекарств или других веществ вам следует избегать, чтобы защитить свою печень?
1.6 Профилактика и устранение жировой болезни печени. Лечение жировой болезни печени
Профилактика и устранение жировой болезни печени

Медикаментозных или хирургических методов лечения ожирения печени не существует, но некоторые шаги могут помочь предотвратить или обратить вспять некоторые повреждения.
В целом, если у вас ожирение печени, и в частности, если у вас NASH, вам следует:
Похудеть – безопасно. Обычно это означает потерю не более половины – одного килограмма (от одного до двух фунтов) в неделю.
Снизить уровень триглицеридов с помощью диеты, лекарств или того и другого
Избегать алкоголя
Контролировать свой диабет, если он у вас есть
Придерживаться сбалансированной, здоровой диеты
Увеличить свою физическую активность
Старайтесь регулярно проходить осмотры у врача, специализирующегося на лечении печени.

Лечение жировой болезни печени
Жирная печень в настоящее время находится в центре интенсивных исследований. Ученые изучают, могут ли различные лекарства помочь уменьшить воспаление печени, в том числе эффективные лекарства от диабета, которые могут помочь вам, даже если у вас нет диабета. К ним относятся метформин, пиоглитазон, росиглитазон и бетаин.
Еще один исследуемый препарат – орлистат (Ксеникал), препарат, который блокирует всасывание части жиров из пищи. Результаты показывают, что орлистат может уменьшить количество жира в печени. Также см. Приложение 1.
Разумеется, не стоит применять любое лекарство самовольно. Обязательно проконсультируйтесь со своим лечащим врачом.
II Неожиданные признаки жировой болезни печени, которые нельзя игнорировать
2.1 Что такое жировая болезнь печени? Распространенность заболеваний печени. Можно остановить развитие ожирения печени и даже полностью обратить его вспять. Симптомы ожирения печени
Что такое жировая болезнь печени?
Жирная печень возникает, когда в печени накапливается слишком много жира, и она не может нормально функционировать. Этот лишний жир также усиливает воспаление. Это очень важно для вашего здоровья, потому что печень – мощный орган. Он отвечает за множество функций вашего организма, таких как контроль иммунной системы и свертывание крови, выработка желчи и гликогена, детоксикация лекарств и фильтрация токсинов из организма. Вот почему так важно как можно лучше заботиться о своей печени.

Источник: https://shnyagi.net/644663-ZHirovaja-bolezn-pecheni-6-preduprezhdajushhikh.html
Распространенность заболеваний печени
Когда-то заболевания печени были редким явлением, поражавшим преимущественно алкоголиков. Но не больше. В последнее время жировая болезнь печени стала самым распространенным хроническим заболеванием печени в США [2]. Если это недостаточно шокирует, учтите, что ожирением печени страдают от 80 до 100 миллионов человек. Более того, некоторые исследования показывают, что женщины в постменопаузе чаще, чем мужчины заболевают этим заболеванием,. И врачи часто упускают из виду ранние признаки и симптомы.
Можно остановить развитие ожирения печени и даже полностью обратить его вспять
Хотите знать, находится ли ваша печень под угрозой? К счастью, есть несколько простых сигналов, которые вам следует проверять при каждом их появлении. Хорошей новостью является то, что можно остановить развитие ожирения печени и даже полностью обратить его вспять, если диагностировать его достаточно быстро.
Симптомы ожирения печени

Особенно на ранних стадиях симптомы ожирения печени могут отсутствовать или быть неопределенными, например, могут наблюдаться: усталость, нечеткое мышление, легкий дискомфорт или вздутие живота, а также возможные симптомы синдрома раздраженного кишечника. Но есть несколько общепризнанных признаков возможного ожирения печени. Если что-либо из следующего верно для вас, возможно, пришло время предпринять шаги для защиты вашей печени:

1. Лишний вес (избыточный вес или ожирение)
2. Высокий уровень триглицеридов в крови (натощак)
3. Высокий (натощак) уровень глюкозы в крови
4. Преддиабет (метаболический синдром)
5. Сахарный диабет 2 типа
Что общего у всех этих состояний? – Питание и образ жизни. Исследования показывают, что, прежде всего, ожирение является явным фактором риска [2]. Около 70 процентов людей с ожирением страдают жировой болезнью печени, тогда как у людей с нормальным весом она встречается только у 10—15 процентов. Но ожирение – не единственный фактор.
2.2 Различные риски для здоровья умножаются на разных стадиях жировой болезни печени
Простой стеатоз
Повышенное общее содержание жира в печени (обычно более 5—10 процентов). Неалкогольный стеатогепатит (НАСГ): чрезмерное содержание жира в печени, воспаление и образование рубцов.
Цирроз
Обширная рубцовая ткань, которая значительно ухудшает функцию печени. Основные причины ожирения печени все еще изучаются и обсуждаются. Но если вы уловите ранние тревожные признаки, средства защиты хорошо известны.
2.3 Неожиданные признаки жировой болезни печени
Жирная печень может возникнуть и у женщин без лишнего веса
Важно отметить, что жировая болезнь печени также развивается у многих худых людей. Это позволяет легко промахнуться. Если у вас нормальный вес, но вы мало занимаетесь спортом, а ваш живот содержит больше жира, чем хотелось бы, вы находитесь в группе риска, особенно если у вас высокий уровень триглицеридов и низкий уровень «хорошего холестерина» (HDL). Хотя считается, что 20—30 процентов американцев страдают ожирением печени, это число возрастает до 80—90 процентов среди людей с диабетом 2 типа или метаболическим синдромом (преддиабетом).
Менопауза и ожирение печени
Менопауза также может увеличить риск развития ожирения печени, поскольку эстроген естественным образом защищает печень и поддерживает чувствительность к инсулину. Расширяющаяся талия, увеличение веса и снижение энергии, из-за чего вы меньше двигаетесь, увеличивают вероятность отложения большего количества жира в печени. Неудивительно, что больше женщин в постменопаузе, чем в пременопаузе, страдают жировой болезнью печени.
2.4 Советы, которые помогут поддержать вашу печень

Снижение веса
Принятие мер в повседневной жизни по правильному питанию и поддержанию здорового веса может иметь решающее значение. Простая потеря веса (всего на 3—5%) может помочь уменьшить жир, воспаление и рубцы в печени.
Аэробные упражнения
Аэробные упражнения (даже умеренной интенсивности) улучшают здоровье вашей печени, даже если они не приводят к потере веса. Физические упражнения и увеличение мышечной массы также помогают организму более эффективно использовать глюкозу.
Далее описаны несколько советов, которые помогут поддержать вашу печень (и весь организм).
Еда и питье

Ешьте много овощей, фруктов и продуктов с высоким содержанием клетчатки, таких как фасоль, бобовые и цельнозерновые продукты.
Ограничьте употребление напитков с высоким гликемическим индексом (включая соки, спортивные напитки, газированные напитки и алкоголь). Вместо этого пейте много воды.
Замените белый рис, белый хлеб и макароны на коричневый рис, киноа или тушеную зелень.
Замените белый картофель на сладкий картофель.
Согласно нескольким клиническим исследованиям, жирные кислоты омега-3 (например, в рыбьем жире) помогают уменьшить нарушения, связанные с жировой болезнью печени.
Ежедневно занимайтесь спортом, даже если это просто быстрая прогулка по окрестностям.
Замените транс-жиры и животные жиры оливковым маслом, маслом семян льна и авокадо. Выбирайте тофу, рыбу (предпочтительно выловленную в дикой природе) или нежирное свежее мясо (органическое) вместо жирного или обработанного мяса.
Принимайте Омега-3
Микродистиллированные жирные кислоты омега-3 помогают уменьшить нарушения, связанные с жировой болезнью печени.
Похудейте
Экологические токсины оказывают значительную нагрузку на печень. Поддержите свою печень, похудев.

III Жирная печень и высокий уровень холестерина
3.1 Результаты исследований. Высокий уровень холестерина усугубляет жировую болезнь печени

Холестерин
Результаты исследований
Лабораторное исследование показало, что высокий уровень холестерина приводит к долгосрочному рубцеванию печени и дисфункции иммунных клеток. По данным исследования Медицинской школы Кека при Университете Южной Калифорнии, избыток холестерина ускоряет развитие жировой болезни печени [3].
Существует давно установленная связь между диетой с высоким содержанием жиров и сахара и жировой болезнью печени, которая может привести к опасным для жизни состояниям, таким как цирроз и рак печени. Новое исследование Медицинской школы Кека при Университете Южной Калифорнии добавляет к этой картине некоторые детали и объемы. Лабораторное исследование, опубликованное в журнале Frontiers in Immunology, является первым в истории, в котором основное внимание уделяется тому, как различное количество холестерина в составе диеты с высоким содержанием жиров и сахара влияет на прогрессирование жировой болезни печени.
Моделируя заболевание на мышах, исследователи продемонстрировали, что высокое потребление холестерина может усугубить жировую болезнь печени, вызывая воспаление и образование рубцов, и что важно, рубцовая ткань может сохраняться даже после перехода на диету с низким содержанием холестерина. Результаты также показали, что диета с высоким содержанием холестерина может вызвать длительную дисфункцию в определенной популяции иммунных клеток, которые, как ранее было показано, играют роль в жировом заболевании печени.
Ана Маретти-Мира, доктор философии, доцент-исследователь медицины в Университете Южной Калифорнии сказала [3]:
«У вас может быть диета с высоким содержанием жиров и сахара, но если вы добавите к ней высокий уровень холестерина, это ускорит процесс, вызывающий воспаление в вашей печени. Люди сосредотачивают внимание на высоком уровне холестерина как на риске сердечно-сосудистых заболеваний, но ваша печень также может пострадать, вызывая воспаление, рубцевание и, возможно, цирроз печени».
Высокий уровень холестерина усугубляет жировую болезнь печени
Исследователи кормили мышей диетой с высоким содержанием жиров и сахара, которая, как было доказано, вызывает форму прогрессирующей жировой болезни печени, сходную с болезнью человека.
Мышей разделили на три группы, которые получали разное количество холестерина с пищей в течение 20 недель – среднего возраста для животных. Группа с низким уровнем холестерина получала на четверть меньше холестерина по сравнению со средней группой; группа с высоким содержанием холестерина получила в 25 раз больше, чем группа с низким содержанием холестерина. Через 20 недель в печени мышей из всех трех групп наблюдалось накопление жира, что является признаком доброкачественной жировой болезни печени, но в группе с высоким содержанием холестерина заболевание было более запущенным, с усилением воспаления и рубцовой тканью.
В течение следующих 10 недель мыши из всех трех групп получали низкий уровень холестерина в рамках диеты с высоким содержанием жиров и сахара. В конце этого периода это изменение в диете обратило вспять воспаление у мышей с высоким уровнем холестерина, но не уменьшило рубцовую ткань. Это открытие показывает, что ущерб, вызванный высоким уровнем холестерина, трудно исправить.

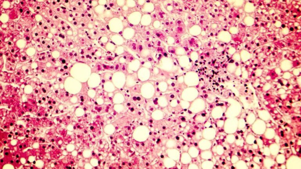
Изображение жировой болезни печени, показывающее триглицеридный жир, накопленный внутри клеток печени. (Изображение iStock). Источник: https://keck.usc.edu/news/high-cholesterol-leads-to-long-term-liver-scarring-and-immune-cell-dysfunction-in-lab-study/
3.2 Повреждающие изменения в многоцелевых клетках первой линии защиты организма. Что это говорит о вашей диете: все в балансе
Повреждающие изменения в многоцелевых клетках первой линии защиты организма
Маретти-Мира и ее коллеги также углубились в изменения в клетках, называемых макрофагами, которые важны для врожденного иммунного ответа – передовой линии естественной защиты организма. Макрофаги выполняют несколько ролей. Они могут спровоцировать воспаление, чтобы бороться с вторгшимися насекомыми; подавить воспаление, когда опасность миновала; общаться с другими иммунными клетками; и даже помочь с исцелением.

