
12 Законов стройности
И это ещё не все плачевные последствия исключения жиров из питания. Если жиры не поступают с пищей, то не выделяется желчь из жёлчного пузыря. Желчь застаивается, и в ней постепенно образуются желчные камни. Да и запоры начнутся… О последствиях, я думаю, вы догадываетесь.
Кроме того, с нами происходят просто странные вещи: если мы прекращаем или сильно ограничиваем поступление жира с пищей, то организм начинает сам производить жир, и делает это очень интенсивно. Это было лабораторно зафиксировано в виде повышения количества «плохих» жиров в крови – холестерина низкой плотности и триглицеридов. Обычно в этих ситуациях рекомендуют и дальше ограничить потребление жиров и назначают лекарства – статины, блокирующие усвоение пищевого жира. Катастрофа! А надо просто научить человека кушать полезные жиры и ограничить вредные, тогда можно и без лекарств обойтись. И ещё: жиры помогают нам почувствовать вкус пищи, мы быстрее наедаемся и дольше остаёмся сытыми. Многие клиенты Школы питания отмечают именно это свойство жиров. Раньше, когда они кушали обезжиренные продукты, то постоянно чувствовали голод. А когда узнали, что можно и нужно употреблять жиры и стали включать в рацион питания сливочное масло, сало, жирную рыбу, красную икру, то быстрее наедались и заметили, что стали намного лучше выглядеть.

Когда я попала на занятия Школы Питания и узнала, что нужно есть жиры, я была просто шокирована. Я не поверила этой информации, так как долгое время избегала жирной пищи. Мой лечащий врач постоянно убеждал меня, что необходимо исключать жирные продукты. Поэтому в супермаркете я выбирала обезжиренный кефир, йогурт, творог с нулевой жирностью, «тощее» молоко и просто панически боялась сала, хотя я его очень люблю. Когда на лекции велнес-диетолог привела убедительные доказательства пользы жиров, я сдалась и решила следовать рекомендациям. Впервые за долгие годы я стала наедаться, я почувствовала сытость! Это так приятно и успокаивает, я перестала нервничать и бояться еды. Кожа стала упругой, ногти перестали слоиться и ломаться, я стала лучше спать. За три месяца я похудела на 9 кг, из них 8,2 кг жиром! У меня уменьшились объёмы на 2 размера одежды. Продолжаю питаться по системе и надеюсь на дальнейшие результаты. Спасибо Школе.
Валентина, 60 летЕсли жиры такие полезные и их необходимо кушать, то откуда в нашем теле появляется столь ненавистный нам жир?
Давайте разбираться.
Строение жировой ткани
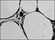
В теле человека находится в среднем 30–40 миллиардов жировых клеток – адипоцитов («адипо» по латыни означает жир). Обратите внимание на строение жировой клетки (см. рис. 1) – у неё совсем не осталось жизненного пространства – все заполнено жиром (до 85 %). Неприятное свойство адипоцитов – их способность быстро увеличиваться в объёме. Их диаметр может возрасти в 27–40 раз.
В норме, каждая здоровая жировая клетка контактирует, по крайней мере, с одним капилляром. Но по мере увеличения в размерах адипоциты начинают вытеснять капилляры, которые обеспечивают обмен веществ. Со временем жировая ткань начинает напоминать озеро, которое лишилось притока свежей воды и превратилось в застойное болото. Так и жировая ткань постепенно становится местом «захоронения отходов».
По расположению на теле человека жировую ткань делят на подкожную жировую клетчатку и висцеральный жир. Подкожная жировая клетчатка, как это понятно из названия, находится между кожей и мышцами. От её состояния зависит гармония наших очертаний и пропорций фигуры. Именно в этом слое возникает целлюлит.

Рис. 1. Строение жировой ткани
Висцеральный, или внутренний жир располагается внутри брюшной полости и откладывается вокруг внутренних органов − печени, почек, поджелудочной железы, крупных сосудов. При ожирении он может проникать во внутренние органы и даже в сердечную мышцу. Этот жир опасен тем, что меняет гормональный фон, блокируя у мужчин выработку тестостерона, а у женщин повышая уровень эстрона («плохого» эстрогена, провоцирующего онкологические процессы). Таким образом, избыточное накопление висцерального жира неизбежно ведет к проблемам в гормональной и половой сферах. Кроме того, он не лежит спокойно, как подкожный, а, как спящий вулкан, периодически выбрасывает в кровь избыток жирных кислот, что может ускорить образование холестериновых бляшек при определённых условиях. Есть ещё один вид жировой ткани, которая крайне важна для нас – это бурая жировая ткань. Она действительно имеет коричневатый цвет и располагается между лопатками, около почек и щитовидной железы. Её функция – производство и рассеивание тепла, т. о. она помогает поддерживать постоянную температуру тела.
Клетки бурой жировой ткани имеют множество особых митохондрий, которые, собственно, и придают ей такой коричневатый цвет. В чем их особенность? Адипоциты бурой ткани более мелкие клетки, чем адипоциты белой жировой ткани. Ядро располагается в центре клетки, характерны множественные жировые капли различных размеров, поэтому клетки бурой жировой ткани называются многокапельными адипоцитами. Дольки бурой жировой ткани разделены очень тонкими прослойками рыхлой волокнистой соединительной ткани, пронизанной капиллярами. В норме в митохондриях происходит синтез АТФ – энергетических молекул. Но в клетках бурого жира митохондрии «дырявые»{Митохондрии в клетках бурой жировой ткани содержат особый белок – UCP (uncoupling protein – разобщающий белок), или термогенин, благодаря которому в результате окисления жиров энергия не запасается в виде макроэргических соединений (АТФ), а рассеивается в виде тепла. Окислительная способность многокапельных адипоцитов в 20 раз выше, чем у однокапельных адипоцитов. Обильное кровоснабжение обеспечивает быстрое отведение вырабатываемого тепла.}, и поэтому глюкозы тратят много, а АТФ практически не производят: куча энергии рассеивается в виде тепла. Чем больше в организме этой ткани, тем легче сбрасывать вес, т. к. в бурой жировой ткани происходит мощнейшее сжигание калорий. Но, к сожалению, у взрослых ее очень мало.
Ну вот! Может существует хоть какой-то способ увеличить количество бурой жировой ткани в организме? Наука давно искала ответ на этот вопрос и наконец в 2012 году международная команда ученых сделала сенсационное открытие. Оказывается, существует особый гормон – иризин, который и превращает белую жировую ткань в подобие бурого жира. Ура! И где же вырабатывается это гормон? Ответ до банальности прост – в мышцах. Что необходимо чтобы этот гормон вырабатывался в нужном количестве? Думаю, что вы догадались – физическая нагрузка. Так что милости прошу в спортзал (об этом мы ещё поговорим в главе 11). И когда вы будете тренироваться, пусть вас греет знание о том, что у вас формируется бурый жир, который поможет не только быть более устойчивым к морозам, но и не толстеть. И это не шутка.
От чего же зависит объём жировой ткани в организме?
Объём жировой ткани зависит от числа и размера адипоцитов – жировых клеток. Число адипоцитов естественным образом увеличивается только два раза в жизни человека. Первый такой период – последние три месяца внутриутробного развития и первые восемнадцать месяцев жизни ребёнка. Если мамочка любила в этот период побаловать себя чем-нибудь вкусненьким в избыточном количестве или закармливала любимое чадо, то тем самым она создала предпосылку для предрасположенности к полноте.
Второй период приходится на подростковый возраст. В этот момент очень важно приучить ребёнка к здоровой еде и объяснить, почему нельзя кушать вредные продукты.

Количество жировых клеток в дальнейшем остается практически всегда неизменным, а объём жировой ткани увеличивается только за счёт увеличения размеров адипоцитов. И только в исключительных случаях, когда вес человека практически на 100 % превышает его идеальный, адипоциты уже не способны просто накапливать жир и поэтому начинают бесконтрольно размножаться. Это называется гиперпластическим ожирением, которое очень трудно поддаётся коррекции.
Несколько интересных фактов о жировой ткани:
1. У худого и упитанного человека (не путать с ожирением!) примерно одинаковое количество жировых клеток. Различие заключается только в их состоянии – у одного энергодепо наполнены содержимым, а у другого нет. «Кормить» или не «кормить» свои жировые клетки – ваш свободный выбор.
2. У людей с тяжёлой формой ожирения жировых клеток в 4 раза больше, чем у людей худощавых.
3. Новые адипоциты в организме человека образуются из стволовых клеток крови и соединительной ткани.
Каким образом жир попадает в клетку?
Всё зависит от того, какой жир мы съели, в каком количестве и как функционирует наша пищеварительная, эндокринная и нервная система. Чтобы немного упростить понимание этого процесса, представьте, что жир может попасть в клетку двумя путями. Первый путь связан с транспортировкой в жировые депо молекул жира, поступившего с пищей. Как выяснилось, этот путь организм использует только в том случае, если поступивший жир не используется на пластические (строительные) нужды или на обменные процессы. Другими словами, если жир «хороший» и из него можно построить мембраны клеток, мозг, нервы, гормоны, регуляторные вещества и другие полезности, то жир в первую очередь будет использоваться как строительный материал. Но если жир «плохой» или количество поступившего жира слишком велико и организм не может его никуда пристроить, то он просто вынужден складировать излишки в жировые депо.

Второй путь связан с преобразованием неиспользованной энергии в жир. Энергия к нам поступает исключительно из пищи. Этот процесс происходит в печени и напрямую зависит от количества углеводов в нашем питании. Почему углеводов? Потому что углеводы не используются в качестве строительного материала и нужны организму исключительно для энергии. И тут всё просто: если мы потребляем энергии больше, чем можем потратить, то она откладывается в виде жира. Таким образом, жир – это запасённая энергия. Это как депозит в банке – лежит неприкосновенным запасом и имеет тенденцию к увеличению. Такую энергию назовём запасной. С эволюционной точки зрения, это очень важный способ выжить и победить в борьбе за существование. Организм, в котором есть жировой запас, проживёт дольше в случае отсутствия пищи. Недаром говорят: «Пока толстый сохнет, худой сдохнет».
Второй вид энергии – быстрая. Это как разменная монетка в кармане – молекулы АТФ (универсальные энергетические молекулы), которые вырабатываются в каждой клетке и практически тут же используются. Как только запасы АТФ начинают истощаться, организм призывает на помощь третий вид энергии – медленный. Сравним её с деньгами на карточке – можно взять в тот момент, когда необходимо. Эта энергия хранится в печени и мышцах в виде гликогена.
И вот тут очень важный момент для понимания – быстрая, медленная и запасная энергия образуется в организме из одного вещества – глюкозы. Глюкоза относится к углеводам.

Вот ещё один факт, доказывающий роль углеводов в ожирении: на сегодняшний день уже достоверно известно, что для создания жировых запасов необходим инсулин, который «включает» жировые клетки в режим приёма. А инсулин выделяется организмом исключительно на поступление глюкозы.

Долгое время этот путь попадания жира в клетку учёным не был известен, поэтому, обнаружив «плохой» холестерин в пищевых продуктах, а потом в атеросклеротических бляшках, учёными был сделан неправильный вывод: надо кушать меньше жиров. Это недоразумение привело к тому, что на протяжении многих лет врачи и диетологи запрещали нам кушать жиры, мотивируя тем, что от жирной пищи быстро толстеют.
Но теперь мы знаем, что это не так или, правильнее сказать, не совсем так. Вся эта ситуация с жирами мне напоминает «сталинские репрессии», когда жиры были объявлены «врагами народа», совершенно несправедливо оклеветаны и подвергались преследованиям. Но, наконец, наступило время «оттепели», и жиры получили заслуженную реабилитацию.
Но не всё так просто с этими жирами. Среди них есть как очень очень полезные, так и очень-очень вредные. Полезные жиры при определённых условиях могут становиться вредными. И даже дисбаланс полезных жиров может быть опасным для организма. Поэтому давайте внесём полную ясность по поводу пищевых жиров:
• Какие жиры можно кушать?
• Какие жиры следует категорически исключить из рациона?
• Как распознать плохие жиры в продуктах питания?
• Какие жиры самые полезные?
• Сколько жиров необходимо съедать в день?
Какие жиры полезные, а какие вредные?
Жир – понятие собирательное, как грибы. Есть полезные, а есть – ядовитые. То общее, что объединяет различные виды жиров – это жирные кислоты самой различной структуры – насыщенные и ненасыщенные. Все природные жиры и масла – это смеси насыщенных, монои полиненасыщенных жиров.
Жирные кислоты состоят из цепочки атомов углерода, к которым присоединяются атомы водорода и кислорода, этакая гирлянда получается. Считается, что если молекула жирной кислоты полностью покрыта (насыщена) атомами водорода вдоль этой всей углеродной цепочки, то такая жирная кислота называется насыщенной.
Ненасыщенные жиры отличаются тем, что в них некоторые атомы углерода «держат друг друга за руки» − это называется двойная связь (см. рис.). Наличие двойных связей делает жиры жидкими при комнатной температуре, и их принято называть маслами. Ненасыщенные жиры, в свою очередь, подразделяются на моно– и полиненасыщенные. Отличие только в количестве двойных связей в молекуле (одна − моно-, две и более − поли-). Чем больше масло имеет двойных связей, тем более низкая температура его замерзания и тем оно текучее.

Наверное, вы слышали, что ненасыщенные жиры полезные, а насыщенные – вредные. И что лучше насыщенные жиры вообще не кушать, а заменить их на растительное масло. На протяжении десятилетий это было одним из главных диетологических постулатов.
На самом деле это не так. Есть насыщенные жиры, которые очень важны для нашего организма, а есть ненасыщенные масла, которые при определённых условиях становятся вредными. Чтобы начинать разбираться в этой сложной диетологической дилемме, прошу запомнить вас несколько важных фактов:
• организм нуждается как в насыщенных, так и в ненасыщенных жирах;
• жиры могут принести как вред, так и пользу – всё зависит от их количества и баланса между собой в вашем рационе питания;
• жиры хороши и полезны только в естественном виде, чем большей обработке подвергся жир, тем он вреднее;
• ни один из видов жиров, используемых в питании, не является полноценным во всех отношениях;
• для удовлетворения всех нужд организма необходимо, чтобы в дневном рационе присутствовали животные и растительные жиры и желательно из разнообразных источников.
Полезные насыщенные жиры животного происхождения
К полезным насыщенным жирам можно отнести сливочное масло (исключительно натуральное, имеющее жирность 82,5 %) и другие молочные жиры в составе сливок, сметаны, молока и т. п. Также в их составе есть ненасыщенные жирные кислоты (до 10 %), витамины (А, Е, В1, В2, С, D, каротин) и лецитин. Молочные жиры легко усваиваются и не перегружают печень.

Кроме молочных жиров, подобными свойствами обладает всеми нами любимое сало. Оно содержит много незаменимых жирных кислот: олеиновую, линоленовую, линолевую, пальмитиновую. Чтобы подчеркнуть важность этих кислот для организма, учёные назвали их витамином F.
Сало содержит ценную арахидоновую кислоту, которая встречается очень редко, а в растительных маслах вообще отсутствует. Арахидоновая кислота относится к ненасыщенным (точнее полиненасыщенным) жирам и является одной из незаменимых жирных кислот. Она входит в состав всех клеточных мембран и участвует в холестериновом обмене. Без этой кислоты не обходятся гормоны и ферменты, осуществляющие иммунные реакции. В сале много витаминов А, D, Е и каротина, что обеспечивает его антираковые свойства. Оно выводит из организма токсины, очищает кровеносные сосуды от «вредного» холестерина (особенно вместе с чесноком). С ним может сравниться только тюлений жир, кстати, близкий по составу.
Насыщенные жиры в составе жирных сортов мяса (свинина, телятина, баранина), тоже необходимы нашему организму, однако их не следует переедать. Это уже внутренний жир, имеющий более высокие температуры плавления, а, следовательно, тяжелее усваиваемый.

Полезные насыщенные растительные жиры
Немногочисленными представителями этой группы являются кокосовое и пальмовое масло (Да-да-да! Сейчас все узнаете!). Давайте разбираться с ними по порядку.
Кокосовое масло – производится из мякоти кокоса. На 91 % оно состоит из насыщенных жиров, поэтому при комнатной температуре оно «твёрдое», точнее не текучее.
Для нас это экзотическое масло непривычно и его польза считается сомнительной. Я и сама раньше относилась к нему немного с опаской. И зря. Потому что кокосовое масло ценнейший природный продукт, издавна используемый в питании населения Индонезии, Индии и Таиланда. Благодаря многообразию целебных свойств кокосовое масло с давних пор используется в Аюрведе (традиционной системе индийской медицины).
Большое количество насыщенных жиров придаёт этому маслу особую прелесть – оно очень устойчиво к нагреванию и поэтому может быть использовано для жарки, при чём самой безопасной. Кокосовое масло при нагревании совершенно не выделяет вредных веществ, по сравнению с рафинированными растительными маслами.
К тому же насыщенные жиры кокосового масла имеют немного иное строение, чем насыщенные жиры животного происхождения. Они получили специальное название – среднецепочечные триглицериды (СЦТ), в отличие от большинства жирных кислот в нашем рационе, которые являются длинноцепочечными.
В чем разница? Оказывается, среднецепочечные жиры метаболизируются по-другому. Они попадают из желудочно-кишечного тракта сразу в печень, где используются как быстрые источники энергии или переходят в так называемые кетоновые тела, которые имеют положительный терапевтический эффект при некоторых заболеваниях центральной нервной системы, например, эпилепсии или болезни Альцгеймера.
Этот факт, а также собственный опыт применения даёт мне основания порекомендовать вам очень вкусный и обладающий чудодейственными свойствами напиток, который, заряжает энергией на весь день, надолго сохраняет чувство сытости и даже помогает похудеть. Речь о Bulletproof coffee – изобретении Дэвида Аспри, известного американского бизнесмена и учёного, который соединил позитивные свойства свежезаваренного кофе с полезностью этого экзотического масла. Я немного усовершенствовала этот рецепт, добавив ещё один супер-продукт.
Итак, рецепт энергетического напитка, который я советую пить утром, особенно перед тренировками.

Ещё один интересный факт – более 50 % всех жирных кислот в кокосовом масле представлено лауриновой кислотой. Когда эту кислоту расщепляют пищеварительные энзимы, она превращается в моноглицерид монолаурин, который эффективно расправляются с бактериями, вирусами и грибками.
И это ещё не все. Оказывается, среднецепочечные триглицериды повышают «хороший» и снижают «плохой» холестерин. Это свойство кокосового масла подтверждено многочисленными научными исследованиями, которые доказывают, что оно не только восстанавливает липидный профиль, а также препятствует тромбообразованию и имеет отличный антиоксидантный эффект. Такое комплексное действие снижает риск возникновения заболеваний сердца и сосудов.
Однако, я должна вас предупредить, что все вышеперечисленные свойства наиболее полно проявляются при употреблении кокосового масла первого (холодного) отжима. Это достаточно дорогостоящий продукт, поэтому обязательно обращайте внимание на качество покупаемого масла. И если вам посчастливится купить действительно полезное масло, можете его использовать не только в утренний напиток. Это масло прекрасно подходит для приготовления выпечки, овощных блюд, морепродуктов, заправки салатов, для добавления в каши и напитки.
Теперь поговорим о пальмовом масле. Хочу уделить ему больше внимания, т. к. отношение к этому растительному жиру, мягко говоря, неоднозначное. Польза и вред этого продукта до сих пор изучается, вокруг него ведутся споры, исследования, проводятся эксперименты и опыты. Давайте разбираться.
В мировой практике этот продукт используется достаточно давно. Одним из доказательств, стала амфора, найденная во время раскопок в древнеегипетском Абидосе. Исследования показали, что сосуду этому не менее 5000 лет и хранилось в нем, как раз пальмовое масло. Поскольку Египет не являлся производителем Palm oil, как его еще называют, был сделан вывод, что торговали этим самым маслом с очень давних пор, даже во времена фараонов. Пальмовое масло – продукт, получаемый из плодов масличной пальмы – ботаническое название Elaeis Guineensis. Родиной ее считается далекая страна Гвинея. Поскольку находится она на Африканском континенте, то деревья, в свое время, перекочевали дальше по материку. Сейчас это растение культивируют и в других районах с тропическим климатом. Одними из ведущих мировых поставщиков пальмового масла, кроме Гвинеи, считаются Малайзия и Индонезия.

