
Замершая беременность

Ольга Панкова
Замершая беременность
От автора
Книга раскрывает причины замершей беременности – самой актуальной проблемы будущих мамочек. Прочитав ее, вы не только научитесь узнавать «врага в лицо», но получите информацию о том, как, имея то или иное заболевание, даже самое «грозное», грамотно подготовиться к беременности, выносить и родить здорового малыша. Сегодня это возможно с любым диагнозом!
Замершая беременность – это диагноз, который лишает женщину права стать мамой, толкает на долгий тернистый путь сражения с различными заболеваниями в надежде, что долгожданная встреча с малышом все же состоится.
В прошлом веке о причинах невынашивания знали слишком мало, поэтому женщине, неоднократно пережившей потерю плода, помочь удавалось не всегда. Сегодня с развитием медицины и открытиями в области генетики, гемостазиологии, репродуктологии изучена роль тех заболеваний, о существовании которых раньше и не догадывались: мутаций генов, дефицита фолатов, избытке гомоцистеина, наследственных тромбофилий и пр.
В этой книге я подробно расскажу обо всех «новых», а также «старых», хорошо известных заболеваниях (хромосомных аномалиях, инфекциях и пр.), вызывающих прерывание беременности. Я уверена: женщина, столкнувшаяся с такой проблемой, должна иметь полную информацию об этой патологии, чтобы предотвратить ее возникновение в следующей беременности и получить возможность рождения малыша.
В последнем разделе книги вы ознакомитесь с секретами даосского зачатия, а также освоите практику психологического гунфу, которое поможет победить страх на пути материнства!
Для того чтобы стать мамой, нужно верить в себя, современную медицину и не замечать препятствий! А я буду всегда с вами,
Панкова Ольга
Календарь беременности: I триместр
Беременность – интересный и самый удивительный этап в жизни каждой женщины. С одной стороны, это период женского взросления и повышенной ответственности за здоровье и жизнь еще неродившегося малыша, с другой – время волнующих перемен и томительного ожидания долгожданной встречи.
Беременность как река, может протекать спокойно и ровно, а может иметь турбулентности и водопады. Каким будет течение «реки» зависит от вас, вашего настроя, грамотной подготовки к зачатию, медицинского сопровождения беременности, соблюдения всех рекомендаций, и, конечно, от веры в себя и свои силы. О том, как в норме развивается малыш в I-м триместре, я расскажу далее.
Обследование до зачатия. Питание будущей мамы
Вот и начался отсчет дней вашей беременности. Сегодня 1-я неделя. Она совпадает с последней менструацией. Впереди – самые волнительные перемены: зачатие, имплантация (внедрение) зародыша в матку, развитие плода. Течение беременности во многом зависит от поведения женщины до зачатия: ее образа жизни, питания, грамотной подготовки. Перед планированием беременности следует сдать анализы на инфекции, которые могут навредить беременности:
–TORCH: токсоплазмоз, краснуху, цитомегаловирус, герпес;
–половые инфекции: уреаплазмоз, хламидиоз, микоплазмоз, гонорею;
–опасные для жизни матери и будущего ребенка инфекции: сифилис, вирус приобретенного иммунодефицита человека (ВИЧ), вирусные гепатиты В и С.
Подробно обо всех видах инфекций читайте в соответствующих главах. Также проверьте, все ли прививки вы сделали. За 3-6 месяцев до зачатия при наличии показаний необходимо пройти вакцинацию от краснухи, гриппа, кори, ветрянки, гепатита В и пр.
При планировании беременности необходимо определить ваш резус-фактор, посетить гинеколога, стоматолога и терапевта. Обследование у специалистов поможет установить, готов ли ваш организм к вынашиванию беременности.
Приступая к зачатию, следует вести активный образ жизни, отказаться от вредных привычек (курения, в том числе пассивного, алкоголизма и пр.) и полноценно питаться.
Также не стоит забывать о витаминах, в первую очередь, фолиевой кислоте (витамине В9). При ее дефиците нервная трубка плода может не закрыться, что приведет к развитию пороков: гидроцефалии (водянки головного мозга), анэнцефалии (отсутствию головного мозга) или потере беременности.
Каждой женщине, планирующей беременность, рекомендую ежедневно принимать 400 мкг фолиевой кислоты. Это тот вклад, который вы можете внести в здоровье своего будущего ребенка еще до зачатия!
2-4 недели. ХГЧ
Слияние сперматозоида и яйцеклетки знаменуется образованием зиготы – нового организма, несущего материнские и отцовские хромосомы. Сразу после оплодотворения начинается процесс клеточного деления. Сначала образуются две клетки, затем через десять часов их уже четыре, и так – каждые десять часов.
При этом эмбрион постепенно продвигается по маточной трубе к матке. В начале своего развития зародыш похож на малинку. Он представляет собой скопление клеток, которое можно рассмотреть только под микроскопом. Через 4 дня эмбрион достигает матки, через 7-9 дней имплантируется в ее слизистую оболочку, образуя кровеносные сосуды для обеспечения питания. С этого момента все вещества, необходимые для роста и развития, зародыш будет получать от матери.
На четвертой неделе эмбрион превращается в однослойный пузырек -бластоцисту (рис. 1 а), часть стенки которого, впячиваясь внутрь, образует внутренний слой. Процесс образования двухслойного пузырька называется гаструляцией, эмбрион на этой стадии – гаструлой (рис. 1 б), а его листки: экто- и эндодермой. Они являются зачатками органов и тканей плода. Позже между ними возникает третий (средний) слой – мезодерма.

Рисунок 1. Эмбрион на стадии бластоцисты (а) и гаструлы (б): 1 – эктодерма, 2 – эндодерма
Из эндодермы впоследствии будут формироваться органы дыхания и пищеварения; из мезодермы – скелет, мышцы, почек, кровеносные сосуды и сердце; из внешнего листка (эктодермы) – кожа, волосы, глаза, зубная эмаль и нервная система ребенка.
На зарождение новой жизни одним из самых первых реагирует хорионический гонадотропин человека (ХГЧ) – «гормон беременности». Он вырабатывается тканями зародыша (хорионом) сразу после имплантации – прикрепления к стенке матки.
Обнаружение ХГЧ в моче лежит в основе использования домашних экспресс-тестов. О наличии беременности свидетельствует появление второй полоски на тесте. Однако тесты могут давать неверный результат. Поэтому, если аптечный тест в конце 4 недели не показал две полоски, это еще не значит, что беременности нет.
Самым достоверным способом выявления беременности считается количественный анализ крови на ХГЧ. По его уровню можно узнать, есть ли беременность, и ее срок. На 1-2-й неделе после зачатия уровень ХГЧ составит 25-156 мЕд/мл; на 2-3-й неделе – 101-4870; на 3-4-й – 1110-31500; на 4-5-й – 2560-82300; на 5-6-й – 23100-151000; 6-7-й – 27300-233000. Если при последовательной оценке концентрация ХГЧ растет, это означает, что беременность прогрессирует. Вас можно поздравить!
5-6 недели. Формирование нервной трубки
На 5-й неделе происходит закладка нервной системы зародыша – нейруляция (рис. 2). При этом из внешнего листка начинает формироваться нервная пластина. Она недолго остается уплощенной.

Рисунок 2. Нейруляция: формирование нервной трубки (3), эктодерма (1), эндодерма (2)
Вскоре ее боковые края приподнимаются, образуя нервные валики, края которых смыкаются, формируя замкнутую нервную трубку с каналом внутри. Сначала смыкание нервных валиков происходит на уровне шеи плода, а затем распространяется в головном и хвостовом направлениях. Примерно к 25-28 дню жизни эмбриона эта трубка полностью закрывается. Открытыми остаются лишь отверстия на ее концах.
Основная роль в формировании нервной трубки отводится фолиевой кислоте. Ее дефицит вызывает пороки развития. К моменту начала нейруляции должен присутствовать определенный запас витамина В9.
Чтобы выявить имеющийся дефицит В9 и своевременно его устранить необходимо оценить свой фолатный статус – определить концентрацию фолатов в эритроцитах. Данный параметр меняется медленно, так как красные кровяные тельца циркулируют в организме около 120 дней. В норме в эритроцитах содержится приблизительно в 30 раз больше В9, чем в плазме. Оценка фолатного статуса проводится как до зачатия, так и после наступления беременности на 4-5-й неделе.
Дозу препарата фолиевой кислоты необходимо увеличивать до 3-5 мг при наличии дефицита витамина, а также при тромбофилии (склонности к образованию тромбозов), антифосфолипидном синдроме и заболеваниях желудочно-кишечного тракта (атрофическом гастрите, синдроме мальабсорбции, болезни Крона), ускоряющих выведение фолиевой кислоты. Следите за своим здоровьем. Это необходимо для правильного развития малыша!
7-8 неделя. Постановка на учет. Первое УЗИ
На 7-й неделе размер плода достигает 11-12 мм. На его ручках и ножках формируются кисти и ступни, внешне они пока напоминают ласты. На этом сроке сердце делится две камеры, появляются зачатки бронхов, активно растет кишечник, образуются почки.
7-8 неделя – идеальное время постановки на учет в женской консультации. На этом сроке следует сделать первое УЗИ: плод будет хорошо виден, также можно оценить наличие сердцебиения, определить количество плодов в матке.
При первом обращении беременной в женскую консультацию врач проводит осмотр, собирает данные анамнеза (перенесенные заболевания, сведения о родах, абортах и выкидышах в прошлом). Также гинекологу необходимо сообщить об имеющихся в семье наследственных заболеваниях. Доктор выпишет направления на все нужные анализы (общий анализ мочи и крови; половые, ТОРЧ, опасные инфекции), направит к окулисту (следует пройти всем), а при необходимости – к генетику.
Нередко будущие мамочки очень настороженно относятся к медико-генетической консультации. И напрасно! Данное исследование позволяет заранее определить степень риска рождения детей с генетическими аномалиями (подробно читайте в соответствующей главе).
После наступления беременности за женщинами из группы риска устанавливается особый контроль. На 10-13 неделе беременности необходимо провести пренатальную диагностику состояния здоровья малыша, о которой я расскажу далее. Также не забывайте позитивно мыслить и думать только о хорошем!
10-13 неделя. Скрининг первого триместра
На 11 неделе плод весит около 7 г, он уже двигается, но мама не ощущает этих перемещений. Укрепляется его шея, малыш умеет поднимать голову. И уже в этот период можно обнаружить имеющиеся хромосомные аномалии (ХА) плода: синдром Дауна (трисомия 21 хромосомы), синдром Эдвардса (18), синдром Патау (13) и пр.
Для диагностики ХА беременной на 10-14 неделе необходимо пройти пренатальный скрининг. Несоответствие результатов скрининга первого триместра нормам сигнализирует о возможном риске развития ХА и требует дополнительного обследования, о котором я еще расскажу позже. А пока запаситесь терпением, верой и позитивом!
Появление ребенка на свет – самое удивительное чудо, с которым мы соприкасаемся в своей жизни. Однако не каждой женщине удается познать счастья материнства с первой попытки. Многие будущие мамы сталкиваются с диагнозом «замершая беременность». О типах неразвивающейся беременности, методах диагностики и причинах гибели плода я расскажу далее.
Что такое замершая беременность?
На самых ранних сроках своего развития плод слишком уязвим. Поэтому, не смотря на наличие множества факторов защиты, в первую очередь плаценты, эмбрион все же подвержен внешним влияниям, которые могут спровоцировать его гибель.
Типы замершей беременности
Замершая (неразвивающаяся) беременность – это прекращение развития плода на ранних сроках, которую чаще диагностируют в первом триместре. Выделяют два типа неразвивающейся (замершей) беременности:
1. анэмбриония
2. гибель эмбриона (плода).
Вопрос: Подскажите, пожалуйста, по УЗИ в 1 триместре плодное яйцо в верхней трети полости, контуры четкие ровные, эмбрион не визуализируется. Сроки по диаметру плодного яйца (4 мм) – 3-4 недели, по дате последней менструации – 5 недель. Меня беспокоит, что эмбрион не визуализируется и не соответствует срокам. Опасно ли эти явления? Спасибо.
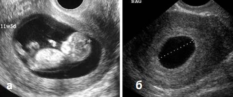
Отсутствие эмбриона внутри плодного яйца называется анэмбрионией. (рис. 3). При анэмбрионии формирование эмбриональных структур прекращается еще на этапе дифференцировки внутренней клеточной массы.

Рисунок 3. УЗИ на 7 неделе беременности: а – нормальный плод, б – анэмбриония
При этом по данным УЗИ плодное яйцо имеет меньшие размеры, чем в норме, эмбрион не виден. Также размеры плодного яйца могут соответствовать срокам беременности, эмбрион будет визуализироваться, но иметь очень маленькие размеры, сердцебиение отсутствует.
При УЗ-картине «замерший плод» плодное яйцо и эмбрион имеют обычную форму и размеров, но признаки жизнедеятельности отсутствуют. Если погибший плод долго находится в полости матки, то структура плодного яйца резко меняется, его контуры и форма становятся нечеткими, размеры матки отстают от срока беременности.
Гибель плода не всегда сопровождается быстрым самопроизвольным изгнанием из матки. Матка не сразу отторгает погибший плод (эмбрион). Часто наблюдаются случаи, когда погибшее плодное яйцо задерживается в матке на неопределенно долгое время.
Задержка погибшего эмбриона в полости матки представляет угрозу не только здоровью, но и жизни женщины, из-за риска развития воспалительного процесса и кровотечения, поэтому требует активной тактики.
Замершая беременность все равно прервется!
Вопрос: мне поставили диагноз «замершая беременность» и предложили выскабливание. Может, надо подождать и не торопиться с удалением плода?
Если никакие активные действия не предпринимаются, процесс протекает самопроизвольно и при наличии замершей беременности всегда заканчивается выкидышем
В ответ на гибель плода происходит постепенное его отторжение с помощью защитной (фибринозно-лейкоцитарной экссудативной) реакции. В ходе этого процесса из сосудов эндометрия (слизистой оболочки матки) выделяются эритроциты, элементы тромбоцитов, что ведет к постоянным мажущим кровянистым выделениям из матки.
Тело матки становится мягким, тонус миометрия исчезает, шейка приоткрывается. Все признаки беременности (цианоз влагалища, шейки матки) исчезают, происходит выкидыш.
Угроза выкидыша: какие признаки?
Замершая беременность может себя никак не проявлять. Женщина чаще всего чувствует себя хорошо. Первым признаком угрожающего выкидыша являются постоянные боли в нижних отделах живота, появившиеся на ранних сроках беременности. При наличии болей будущей мамочке необходимо обратиться к врачу для обследования и подбора терапии, направленной на сохранение беременности.
Вопрос: У меня 4-5 недель беременности. Беспокоят боли внизу живота. По УЗИ поставили угрозу выкидыша. Какие у меня перспективы?
При угрозе выкидыша очень многое зависит от будущей мамы: важно соблюдать строгий постельный режим, полностью исключить физические нагрузки и секс. При соблюдении режима и адекватном лечении вы беременность сохраните!
Также будущей мамочке следует научиться контролировать свои эмоции. Переживания очень вредны малышу! Ваш адреналин ему ни к чему. Меньше переживаний и больше позитива! Думайте только о хорошем, и оно придет в вашу жизнь!
Вопрос: У меня беременность 7-8 недель, в пятницу заболел низ живота, и начались тёмно-коричневые выделения. Это что-то серьёзное или не очень?
Вопрос: Что означают коричневые выделения в начале беременности, на сроке 2-3 недели?
Если вы несвоевременно обратились к врачу и не получаете нужного лечения, то угрожающий выкидыш может перейти в начавшийся. При этом у женщины появятся мажущие кровяные выделения – это второй признак возможного прерывания беременности. Чтобы его избежать, при наличии болей и кровяных выделений на малых сроках беременности, необходимо обратиться к врачу за обследованием и рекомендациями.
Вопрос: Дело в том, что лежать не получается: я после больницы к врачу, потом у меня плановый осмотр, потом анализы надо сдать. Затем опять к врачу, потом на УЗИ. Вчера срочно надо было ехать на работу. Дома вставать приходится: то пропылесосить надо, то покушать приготовить. И что мне делать?
Аборт в ходу
Вопрос: Я беременна во второй раз, срок – 2 недели. Вчера занимались с мужем сексом, и у меня пошли красные мазки с ужасным запахом. Что это? И как быть! Что должны делать врачи?
Появление обильных кровяных выделений со сгустками – признак того, что беременность прервалась (аборт в ходу). В этот момент плод выходит из матки, следствием чего является маточное кровотечение. Оно может быть настолько обильным, что приведет к серьезной кровопотере и развитию симптомов анемии – появлению слабости, головокружений, потери сознания, сухости кожи, ломкости ногтей, стенокардии и пр.
Кровотечение может само не остановиться до тех пор, пока не будет извлечена вся плацентарная ткань! Поэтому при появлении обильных кровяных выделений нужно срочно обратиться к врачу для проведения операции по инструментальному удалению остатков плацентарной ткани (выскабливания). В противном случае могут присоединиться воспалительные осложнения (эндомиометрит, аднексит и пр.)
Замершая беременность не всегда прерывается самопроизвольно. Нередко при, казалось бы, абсолютно нормальном течении беременности по данным УЗИ у плода отсутствует сердцебиение. В этом случае беременность приходится прерывать искусственно.
При замершей беременности до 14 недель производят удаление плодного яйца под визуальным контролем. С этой целью выполняется гистероскопия – осмотр полости матки через специальный эндоскопический прибор – гистероскоп. При гистероскопии оценивают локализацию плодного яйца, состояние эндометрия, затем удаляют плодное яйцо с прицельным взятием гистологического материала из плацентарного ложа и промыванием полости матки раствором антисептика. По показаниям вводят антибиотики.
Диагностика замершей беременности
Очень важно своевременно диагностировать замершую беременность, чтобы не возникли осложнения, ведь она рано или поздно прервется.
Наиболее информативным методом диагностики неразвивающейся беременности считают УЗИ, позволяющее выявить замершую беременность задолго до появления клинических симптомов, то есть кровяных выделений.
Диагноз неразвивающейся беременности ставится на основании данных ультразвукового сканирования при отсутствии сердцебиения плода. При анэмбрионии обнаруживают «пустое» плодное яйцо, его диаметр не превышает 2,5 см, а размеры матки соответствуют 5–7 недель беременности, УЗИ позволяет зафиксировать гибель плода в любом триместре. Если исследование проводится в сроки до 8 недель беременности, то необходимо провести повторное исследование через 7 дней.
Сегодня широко применяется лабораторная диагностика замершей беременности. В качестве дополнительных тестов определяют в сыворотке крови уровней:
1. альфа-фетопротеина (АФП),
2. ХГЧ,
3. трофобластического b-1-гликопротеина.
При гибели плода отмечают высокое содержание АФП (в 2–4 раза выше нормативных показателей) и снижение уровня трофобластического b-1-гликопротеина (в 6–18 раз) и ХГЧ (в 3– 9 раз).
Цитогенетическое исследование
История из жизни…У меня есть знакомая Инна. Ей 39 лет. Она еще ни разу не была беременна – все как-то обстоятельства не складывались. Но однажды они с мужем решили, что пора приступать к продолжению рода. Контрацепция была отменена, однако беременность не наступала. Это длилось около года. Инна кинулась к врачам. Ей порекомендовали пройти обследование. Проблемы оказались гормонального характера. Девушке назначили лечение, по завершении которого она и забеременела.
Счастью супружеской пары не было предела! Отмечать сие событие они отправились в Италию, где планировали провести пару недель. Однако отпуск был омрачен появившимися кровяными выделениями. Инна обратилась к врачу. Оказывается, ее беременность не развивалась.
Инна, услышав диагноз, не поверила врачам. Поэтому отказалась от удаления беременности. Но через 3 дня все решилось само собой: возник самопроизвольный выкидыш. Девушке в клинике сделали укол, который очистил матку от остатков плацентарной ткани.
Моя знакомая была очень опечалена потерей беременности, но еще больше она расстроилась, когда узнала о том, что теперь так и не сможет достоверно узнать причину гибели плода. Ведь в Италии ей не сделали очень важного исследования – цитогенетического. О нем я расскажу подробно.
Важную роль в установлении причины самопроизвольного выкидыша играет цитогенетическое исследование абортного материала. Результаты помогут выявить имеющиеся хромосомные аномалии у плода, а также наличие воспалительного процесса.
При выкидыше на ранних сроках на цитогенетическое исследование может быть отправлен весь абортный материал. После получения его помещают в специальную транспортную среду и немедленно доставляют в лабораторию цитогенетики.
Замороженная либо помещенная в формалин ткань не пригодна для цитогенетического исследования. Быстрая доставка и использование для анализа нескольких образцов увеличивает вероятность положительного результата, который обычно составляет 85%. О самых частых хромосомных аномалиях плода я расскажу в следующем разделе.
Хромосомные аномалии плода
Самой частой причиной прерывания беременности является наследственная патология у плода. Чаще это бывают какие-либо хромосомные нарушения, как правило, несовместимые с жизнью плода и приводящие к самопроизвольному выкидышу, либо рождению детей с пороками развития.
Чаще эмбрионы с неправильным кариотипом (набором хромосом) гибнут в первые недели беременности. Так, в первые 6–7 недель беременности неправильный кариотип имеют большинство (60–75%) погибших плодов, в 12–17 недель – четверть (20–25%), 17–28 недель – только 2–7%. Подробно о видах хромосомных аномалий (ХА), препятствующих сохранению беременности, поговорим в этом разделе. Начнем с азов генетики.
Тайны ДНК
Вся информация о строении нашего тела, предрасположенности к болезням, а также возрастных изменениях и длительности жизни находится в молекулах ДНК (дезоксирибонуклеиновой кислоты). Она обеспечивает хранение, передачу из поколения в поколение и реализацию генетической программы развития и функционирования организма, структуре белков, из которых строится тело.
ДНК расположена в ядре клетки в составе хромосом. У каждого человека 46 парных хромосом (рисунок 4): первый комплект (22 хромосомы) нам достается от одного родителя, второй – от другого. 44 из 46 хромосом не зависят от пола, а две – определяют его: XY – у мужчин или ХХ – у женщин.

Рисунок 4. Хромосомный набор человека
С химической точки зрения ДНК состоит из повторяющихся блоков-нуклеотидов, образующих две цепи рибонуклеиновой кислоты (РНК), скрученных в виде спирали воедино (рис. 5). Поэтому структура молекулы ДНК получила название «двойной спирали». ДНК – это генетическая библиотека тела, которая находится в каждой клетке. В общей сложности каждый человек имеет 120 миллиардов миль ДНК.

Рисунок 5. Репликация ДНК
В ДНК встречается четыре вида азотистых оснований (аденин, гуанин, тимин и цитозин). Их последовательность позволяет «кодировать» информацию о строении всего организма. Хромосомы в общей сложности содержат приблизительно 3 миллиарда пар оснований нуклеотидов ДНК, образующих 20000-25 000 генов.
Воспроизведение клеток происходит посредством репликации ДНК (рис. 5). При этом она раскручивается на две цепочки РНК (а). Они расходятся, образуют репликационную вилку (б). Затем каждая РНК становится матрицей, на которой достраивается аналогичная цепь (в). В результате образуются две новые двуспиральные молекулы ДНК (г), идентичные родительской молекуле.

