
Обзор клинических случаев пациентов с осложнённым пародонтологическим статусом

Станислав Соколов
Обзор клинических случаев пациентов с осложнённым пародонтологическим статусом
Обзор клинических случаев пациентов с осложнённым пародонтологическим статусом

Соколов Станислав Николаевич: врач-стоматолог-пародонтолог со стажем более десяти лет, главный врач круглосуточной стоматологии г. Самара «Анатомия Улыбки», старший преподаватель кафедры «Стоматология» Медицинского Университета «РЕАВИЗ», автор научных медицинских статей по стоматологии, а также патентов на изобретение и рац.предложения.
Введение
Спектр заболеваний, с которыми сталкивается в ежедневной практике врач-стоматолог общей практики крайне разнообразен. Зачастую пациент получает однократную услугу по устранению боли и дискомфорта, забывая о необходимости выяснения всех возможных рисков развития той, или иной патологии. Ввиду особенности приёма по «острой боли», чаще всего из виду упускаются пародонтологические аспекты, а ведь именно данная патология зачастую является основной причиной различных заболеваний.
Заболевания пародонта занимают одно из ведущих мест среди наиболее актуальных проблем современной стоматологии (Максимовский Ю.М. с соавт., 1998; Григорьян А.С. с соавт., 2004; Melher A.N., 1996; Gaffar A., Volpe А.R. et al., 2005).
По данным ВОЗ функциональные расстройства зубочелюстной системы, обусловленные потерей зубов от заболеваний пародонта, развиваются в 5 раз чаще, чем при осложнениях кариеса. Исследования последних двух десятилетий в России (Леус П.А., 1992; Ганжа И.Р., 2003; Мосеева М.В. с соавт., 2011) свидетельствуют: практически у 85-95% взрослого населения РФ выявлены средняя и тяжёлая степени пародонтита.
Актуальность данной проблемы состоит в том, что наиболее распространёнными заболеваниями полости рта в 21 веке являются заболевания пародонта. Пародонтит и его осложнения существенно снижают уровень жизни человека. Они ведут к потере зубов, к неприятным ощущениям в полости рта, к ухудшению психоэмоционального состояния, как следствие ухудшают общее состояние организма. К сожалению, необходимо признать, что на данный момент лечение, которое дало бы стопроцентный результат и могло бы полностью избавить от данного заболевания – отсутствует. Трагедия так же состоит в том, что подобные заболевания возникают не только у людей преклонного или старшего возраста, но и у лиц молодого возраста. Свыше 90 процентов детей страдают гингивитами, почти все взрослое население гингивитом и пародонтитом. Исследования свидетельствуют о том, что ущерб, нанесенный тканям пародонта в раннем возрасте невосполним, а в среднем возрасте эта болезнь приводит к значительному разрушению зубочелюстного аппарата и лишает многих зубов полностью еще до наступления старости. Этиология данных заболеваний весьма разнообразна: нервные перенагрузки, профессиональные вредности, курение, неправильное питание, чрезмерные нагрузки при приеме пищи, неправильный уход за полостью рта, вирусные инфекции, травмы (некачественное терапевтическое и ортопедическое лечение), перегрузка тканей пародонта, авитаминоз, атеросклеротическое поражение сосудов, снижение реактивности организма, гипоксия, эндокринные нарушения, заболевания жкт, болезни крови и гемопоэтической системы, иммунологические нарушения, перенесённые и сопутствующие заболевания, гормональные нарушения.
Заболевания пародонта характеризуются не только потерей зубов, но и неблагоприятным воздействием на организм в целом. Заболевания пародонта отрицательно влияют на пищеварительную функцию и психоэмоциональное состояние (Нейзберг Д.М., 2004; Бехало Д.А., 2010).
В данном клиническом обзоре представлены клинические примеры того, как приём по «острой боли» пересекается с патологией тканей пародонта, какие патологии тканей пародонта можно выявить при первичном клиническом осмотре, на что следует обратить внимание начинающему специалисту и пародонтологу.
Клинический пример №1
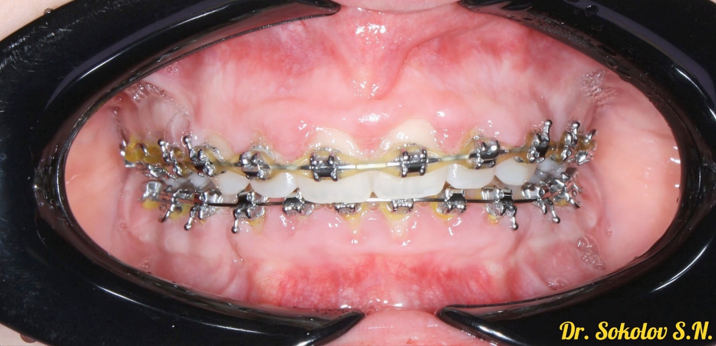
Пациент Р., девушка, 21 год, обратилась с жалобами: изменение формы десны, дискомфорт при чистке зубов, эстетический дефект.
Анамнез: Больной себя считает несколько недель.
Объективно: Разрастание маргинальной десны и десневых сосочков 1 степени, доходящее до замков брекет-систем. При зондировании пародонтологическим зондом определяется ложный пародонтальный карман глубиной 3-4 мм, подвижность зубов отсутствует. Брекет-система удовлетворительного качества, установлена 12 месяцев назад, индекс гигиены ИГР-У – 1балл, галитоз.
Диагноз: Гипертрофический гингивит, фиброзная форма.
Этиологический фактор: неудовлетворительная гигиена при использовании брекет-систем, хроническая травма брекет-системой.
Пациенту рекомендовано проведение профессиональной гигиены полости рта, хирургическое иссечение фиброматозно изменённой десны.

Прогноз: благоприятный.
Гипертрофический гингивит – хронический воспалительный процесс тканей десны с преобладанием процессов пролиферации.
Данная форма гингивита в начале заболевания больных обычно не беспокоит. По мере развития (средняя и тяжелая степени) появляются жалобы на разрастание тканей десны, косметические дефекты.
Объективно выявляется деформация десны, которая имеет бледно-розовый цвет, плотная с бугристой поверхностью. Кровоточивость отсутствует, определяются ложные пародонтальные карманы, часто отмечаются наддесневые и поддесневые зубные отложения.
Фиброматоз десен – это опухолеподобное бугристое разрастание плотной фиброзной ткани, иногда захватывающее значительные участки десны, покрывающей альвеолярный отросток с наружной и внутренней стороны.
Этиологические факторы: хроническая травма острыми краями зубов, ортопедическими конструкциями.
Фиброматоз является одним из симптомов наличия ВИЧ-инфекции.
Клинический пример №2
Пациент Н., девушка, 18 лет обратилась с жалобами: кровоточивость десны в покое и при приёме пищи, неприятный запах изо рта, изменение цвета и формы десны, постоянная ноющая боль, общее ухудшение самочувствия, дискомфорт при приёме пищи.
Анамнез: Больной себя считает 4 дня после приёма антибиотиков.
Объективно: Лицо симметрично, отёк и гиперемия СОПР, изменение формы десневого сосочка, при обследовании пародонтологическим зондом определяется кровоточивость 2 степени по Мюллеману, зубные отложения над- и поддесневые, подвижность зубов 1 степени, пародонтальный карман 4мм, оголение шеек зубов 1 степени, в области твёрдого нёба в проекции 2.6-2.7 обнаружена афта, резко болезненная при прикосновении, диаметр примерно 4мм. Слизистая оболочка полуретинированного вокруг 4.8 гиперемирована, при пальпации слизистой в области 4.8 определяется гноетечение.
Диагноз: Язвенно-некротический гингивостоматит Венсана, острый перикоронит 4.8, присоединение микробной инфекции.
Этиологические факторы: снижение иммунитета, приём антибиотиков, перикоронит, неудовлетворительная гигиена полости рта.
Пациенту дано направление на микроскопическое исследование с целью уточнения диагноза, назначена противовоспалительная терапия.
Т.к. в клинику пациент пришла с супругом, он тоже был приглашён на осмотр, в результате которого были выявлены схожие симптомы состояния полости рта, ему также были выданы необходимые рекомендации и направление на анализы. Это подтверждает контактный путь передачи инфекции.
Прогноз: благоприятный.




Язвенно – некротический гингивит – деструктивное воспаление слизистой оболочки десны с преобладанием явлений альтерации. Развивается на фоне резкого снижения иммунологической резистентности организма к аутофлоре полости рта, о чём свидетельствует преобладание в зубном налёте симбиоза спирохет и фузобактерий.
Этиологические факторы: ранее нелеченый катаральный гингивит, неудовлетворительная гигиена полости рта, снижение иммунитета, приём лекарственных препаратов (антибиотики), переохлаждение, неполноценное питание, множественный кариес, хроническая механическая травма, воспалительные процессы в тканях пародонта.
Симптомы: Кровоточивость, гнилостный запах изо рта, повышение температуры 37,5-38,5, увеличение регионарных лимфатических узлов.
Клиническая картина: Отек и гиперемия десны, маргинальная десна и десневые сосочки подвержены некрозу, покрыты серым млм серо-зелёным налётом. При снятии некротических масс обнаруживаются кровоточащие эрозии. (Л.А. Цветкова-Аксамит, С.Д. Арутюнов, Л.В. Петрова, Ю.Н. Перламутров, «Заболевания Слизистой оболочки полости рта»., 2009.)
Чаще всего страдают молодые мужчины в возрасте 17-30 лет. Заболевание является симптомом снижения иммунитета и возможного наличия ВИЧ-инфекции.
Лечение заключается в тщательном уходе за полостью рта и удалении некротических тканей, назначении консервативной терапии (Роберт П. Лангле, Крейг С. Миллер «Атлас заболеваний пародонта» третье издание, 2008) .
Клинический пример №3
Пациент Т., женщина, 55 лет.
Жалобы: разрастание слизистой десны, эстетический дефект, затруднённый приём пищи, застревание пищи, изменение цвета десны, кровоточивость десны, запах изо рта.
Анамнез: Больной считает себя с момента установления ортопедической конструкции более 1 года назад
Объективно: Ложный пародонтальный карман (с сохранением круговой связки) 3мм, пародонтальный карман глубиной 4 мм, оголение шеек зубов 1 степени, изменение цвета и формы десневого сосочка, подвижность зубов отсутствует, галитоз, над – и поддесневые зубные отложения, травмирующий край ортопедической конструкции под десной, ИГР-У – неудовлетворительный, 2балла. При зондировании определяется кровоточивость 2 степени.
Диагноз: Гипертрофический гингивит фиброзная форма.
Пациенту рекомендовано проведение хирургического и консервативного лечения.
Прогноз: благоприятный.

Фиброзная форма гипертрофического гингивита. Чаще всего обусловлена хронической травмой, гормональными сбоями.
Три степени объёма поражения:
1ая – разрастание десны до 1/3 высоты коронки зуба.
2ая – до 1/2.
3ая – выше 1/2 с перекрытием режущего края.
Увеличение и уплотнение десны отмечаются в связи с разрастанием соединительной ткани. В результате образуется плотный десневой валик, который разрастаясь перекрывает коронки зубов. Увеличенные десневые сосочки, проникая между боковыми поверхностями коронок зубов, раздвигают и смещают их, что является причиной расхождения зубов и деформации окклюзии (Д.И. Тельчаров «Нормализация окклюзии, ортодонтическое и ортопедическое лечение заболеваний пародонта» 2005).
Конец ознакомительного фрагмента.
Текст предоставлен ООО «ЛитРес».
Прочитайте эту книгу целиком, купив полную легальную версию на ЛитРес.
Безопасно оплатить книгу можно банковской картой Visa, MasterCard, Maestro, со счета мобильного телефона, с платежного терминала, в салоне МТС или Связной, через PayPal, WebMoney, Яндекс.Деньги, QIWI Кошелек, бонусными картами или другим удобным Вам способом.
Приобретайте полный текст книги у нашего партнера:

