
Совершенное зрение без очков. Лечение несовершенного зрения без помощи очков
Пациент работал шеф-поваром, ему было сорок два года, и 27 января 1894 года доктор Дэвис удалил черную катаракту из его глаза, тут же снабдив его обычным комплектом очков: одни – для возмещения хрусталика, для зрения вдаль, и более сильные очки – для чтения. В октябре он вернулся к доктору. Вернулся не потому, что с его глазом было что-то не в порядке, а потому что боялся, что он, возможно, «напрягает» свой глаз. Он перестал пользоваться очками для чтения спустя несколько недель и с тех пор носил только очки для дали. Доктор Дэвис усомнился в правдивости утверждений пациента, так как не наблюдал подобных случаев раньше, но после обследования обнаружил, что то, что говорил пациент, было похожим на правду. Своим глазом с удаленным хрусталиком и с помощью выпуклой линзы в одиннадцать с половиной диоптрий пациент читал десятифутовую строку на проверочной таблице с расстояния двадцати футов. С помощью той же линзы, не изменяя своего положения, он читал мелкий шрифт с диапазона расстояний от четырнадцати до восемнадцати дюймов. Позднее доктор Дэвис представлял этого пациента Офтальмологическому обществу, но, по его утверждению, он не услышал от них ничего вразумительного. Четыре месяца спустя, 4 февраля 1895 года, пациент продолжал читать 20/10 с дальнего расстояния, а диапазон расстояний, с которых он читал вблизи, увеличился так, что он мог читать шрифт «диамант» с расстояний от восьми до двадцати двух с половиной дюймов. Доктор Дэвис провел с ним несколько тестов и, хоть так и не смог найти какого-либо объяснения его странным представлениям, но он все же сделал несколько интересных наблюдений. Результаты проверки на глазу без хрусталика, которыми Дондерс сам себя убедил в том, что глаз с отсутствующим в нем хрусталиком не может совершать аккомодацию, были несколько отличны от тех, что были представлены авторитетным голландским доктором, и поэтому доктор Дэвис заключил, что эти тесты были «совершенно недостаточными для того, чтобы решить спорный вопрос». Во время аккомодации офтальмометр[42] показал, что кривизна роговицы изменилась и что роговица немного выдвинулась вперед. Под воздействием скополамина (1/10 процентный раствор каждые пять минут в течение тридцати пяти минут, после чего ожидание в течение получаса), препарата для паралича цилиарной мышцы, иногда используемого вместо атропина, эти изменения имели место, как и раньше. Они также имели место, когда веки придерживались в верхнем положении. Таким образом, когда предполагаемые влияния давления век и действия цилиарной мышцы были устранены, доктор Дэвис почувствовал, что он, похоже, нашел объяснение этим изменениям. Оно заключалось в том, что эти изменения «должны создаваться посредством действия внешних мышц». Под действием скополамина аккомодация пациента также слегка изменялась, диапазон зрения вблизи уменьшался только до двух с половиной дюймов.
Дальше офтальмометр показал, что у пациента совсем не было астигматизма. Он показал то же самое около трех месяцев спустя после операции, но через три с половиной недели после нее у него было четыре с половиной диоптрии.
Пытаясь найти более конкретное объяснение данному явлению, доктор Дэвис провел тесты, подобные тем, что были описаны ранее в докладе Вебстера в «Архивах педиатрии».[43] К доктору Вебстеру привели десятилетнего пациента с двойной врожденной катарактой. Весь левый хрусталик был в частых проколах наподобие проколов булавкой, оставив только непросвечивающую мембрану, капсулу хрусталика, тогда как правый хрусталик не был поврежден. Вокруг, по краям, он был достаточно прозрачным, для того чтобы можно было хоть как-то видеть. Доктор Вебстер сделал отверстие в мембране, заполнявшей зрачок левого глаза, после чего зрение этого глаза в очках, заменивших хрусталик, стало почти как зрение правого глаза без очков. По этой причине доктор Вебстер решил, что необязательно прописывать пациенту очки для дали, и прописал ему только очки для чтения: плоское стекло для правого и +16 диоптрий для левого глаза. 14 марта 1893 года пациент вернулся и сказал, что носил очки для чтения, не снимая их. Он обнаружил, что в этих очках он может читать двадцатифутовую строку на проверочной таблице с расстояния двадцати футов и без труда читать шрифт «диамант» с расстояния четырнадцати дюймов. Позже был удален правый хрусталик, после чего никакой аккомодации в этом глазу не наблюдалось. Два года спустя, 16 марта 1895 года, его осмотрел доктор Дэвис. Он обнаружил, что левый глаз уже мог аккомодировать на диапазоне расстояний от десяти до восемнадцати дюймов. В этом случае никаких изменений формы роговицы не наблюдалось. Результаты тестов Дондерса были похожи на эти в более раннем случае, и под действием скополамина глаз аккомодировал как и раньше, но не с такой же легкостью. Никакой аккомодации не наблюдалось в правом глазу.
Эти и подобные им случаи вызывают огромное недоумение у тех, кто осознает, что должен сопоставить их с принятыми теориями. С помощью ретиноскопа можно увидеть, что глаз без хрусталика совершает процесс аккомодации, но теория Гельмгольца так довлеет над умом офтальмолога, что он не может поверить даже в доказательство объективной проверки. Очевидный факт аккомодации называют невозможным, и многие теории, очень любопытные и ненаучные, были развиты с расчетом на это. Дэвис выражает мнение, что «легкие изменения кривизны роговицы и наблюдавшееся в некоторых случаях ее легкое увеличение могут осуществляться за счет присутствия каких-то аккомодационных сил, но это настолько незначительный фактор, что им можно полностью пренебречь, так как в некоторых из наиболее заметных случаев аккомодации в афакических глазах не наблюдалось».
Намеренное воспроизведение астигматизма – еще один камень преткновения для тех, кто поддерживает принятые теории, так как оно включает в себя изменение формы роговицы, а такое изменение несовместимо с идеей «нерастяжимого»[44] глазного яблока. Однако кажется, что это доставляет им меньше беспокойства, чем аккомодация глаза без хрусталика, потому что таких случаев наблюдалось меньше и еще меньше было позволено печатать в литературе. К счастью, некоторые интересные факты об одном из таких случаев были описаны Дэвисом. К изучению данного вопроса его сподвигло то, что он заметил изменение формы роговицы в глазу без хрусталика. Случай был с хирургом-практикантом в Больнице глаза и уха в Манхеттене, доктором Джонсоном. Обычно этот джентльмен имел полдиоптрии астигматизма в каждом глазу, но он мог усилием воли увеличивать его до двух диоптрий в правом глазу и до одной с половиной – в левом. Он проделывал это много раз в присутствии множества членов из персонала больницы, а также делал это, когда верхние веки придерживались в верхнем положении, тем показывая, что давление век ничего общего с этим явлением не имеет. Позже он поехал в Луисвилл, и там доктор Рэй по рекомендации доктора Дэвиса проверил его способность воспроизводить астигматизм под действием скополамина (четыре закапывания 1/5 процентного раствора). Согласно показаниям офтальмометра, в то время как глаза находились под действием препарата, все еще наблюдалось увеличение астигматизма до одной с половиной диоптрии в правом глазу и до одной диоптрии в левом. Из этих фактов, принимая во внимание то, что влияние век и цилиарной мышцы было исключено, доктор Дэвис заключил, что изменение формы роговицы было «воспроизведено практически полностью за счет действия внешних мышц». Какое объяснение этому явлению дали другие, я не знаю.
Глава IV. Правда об аккомодации. Демонстрация во время экспериментов с глазными мышцами рыб, кошек, собак, кроликов и других животных
Функция мышц, находящихся на внешней части глазного яблока, помимо вращения глаза в глазнице, стала причиной большого количества споров. Но после мнимой демонстрации Гельмгольцем того, что аккомодация зависит от изменения кривизны хрусталика, их возможное предназначение настраивать глаз на работу на различные расстояния или их участие в создании аномалий рефракции было отвергнуто и больше не считалось достойным какого-либо внимания. «Прежде чем физиологи ознакомились с изменениями в диоптической системе[45], – говорит Дондерс, – они часто приковывали свое внимание к внешним мышцам глаза в процессе совершения аккомодации. Сейчас, когда мы знаем, что аккомодация зависит от формы хрусталика, нет оснований опровергать данную точку зрения». Он решительно заявляет о том, что «наблюдается много случаев, когда аккомодация полностью парализована без какого-либо воспрепятствования этому со стороны внешних мышц», а также что «во многих зарегистрированных случаях паралича всех или практически всех мышц глаза, а также при отсутствии этих мышц ослабления способности к аккомодации не наблюдалось».[46]
Если бы Дондерс не счел этот вопрос решенным, он, возможно, изучил бы более скрупулезно все эти случаи. И если бы это произошло, то он мог бы быть менее категоричен в своих заявлениях, потому что, как было показано в предыдущей главе, существует огромное множество признаков, указывающих на то, что на самом деле все происходит с точностью до наоборот. В моих собственных экспериментах с внешними мышцами глаз рыб, кроликов, кошек, собак и других животных было полностью продемонстрировано, что в глазах этих животных аккомодация целиком зависит от деятельности внешних мышц и происходит безо всякого участия хрусталика. Производя манипуляции с этими мышцами, я смог по своему усмотрению воспроизводить или не давать происходить аккомодации, воспроизводить миопию, гиперметропию и астигматизм или же предотвращать возникновение этих состояний. Полное описание этих экспериментов вы можете найти в «Бюллетене Нью-Йоркского зоологического общества» за ноябрь 1914 года и в «Нью-Йоркском медицинском журнале» за 8 мая 1915 года и за 18 мая 1918 года. Но для тех, кто не имеет времени или возможности прочитать эти издания, их содержание я описал ниже.

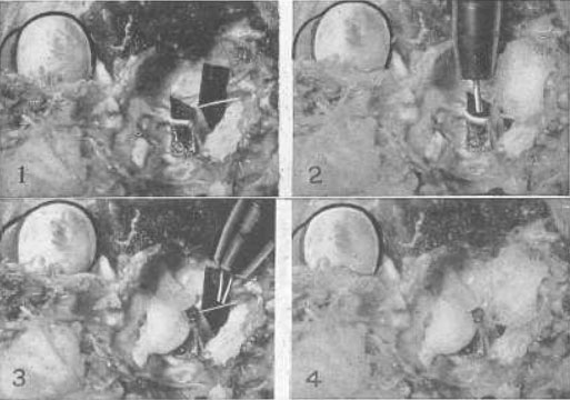
Рис. 13. Демонстрация на примере глаза кролика того, что нижняя косая мышца является существенным фактором в процессе аккомодации
№ 1 – Нижняя косая мышца была подвержена воздействию электрическим током, и две нити были присоединены к ней. Стимуляция глазного яблока электрическим током вызвала аккомодацию, как показала симультативная ретиноскопия.
№ 2 – Мышца была разрезана. Стимуляция электрическом током не вызывает аккомодации.
№ 3 – Концы разрезанной мышцы сшиты друг с другом. Стимуляция электрическим током способствует возникновению нормальной аккомодации
Существует шесть мышц, находящихся на внешней части глазного яблока, четыре из которых известны как «прямые», а две другие – как «косые». Косые мышцы практически полностью опоясывают глазное яблоко посередине, и в соответствии с их расположением они также известны как «верхние» и «нижние». Прямые мышцы присоединены к склеротической, или внешней, оболочке глазного яблока, ближе к передней его части, и идут, минуя верх, низ и боковые части глазного яблока, прямо до задней части глазницы, где они присоединяются к костным тканям по краям круглого отверстия, через которое проходит зрительный нерв. В соответствии с их расположением они носят названия «верхних», «нижних», «внутренних» и «внешних» прямых мышц. Косые мышцы – это мышцы аккомодации, прямые воспроизводят гиперметропию и астигматизм.

Рис. 14. Демонстрация на примере глаза карпа того, что верхняя косая мышца играет значимую роль в процессе аккомодации
№ 1 – Верхняя косая мышца оттянута вверх от глазного яблока при помощи двух нитей, и ретиноскоп показывает отсутствие аномалий рефракции. № 2 – Как определил ретиноскоп, стимуляция электрическим током приводит к возникновению аккомодации. № 3 – Мышца была разрезана. Стимуляцией глазного яблока электрическим током не удалось воспроизвести аккомодацию. № 4 – Разрезанная мышца вновь была соединена путем сшивания. Как и прежде, в результате стимуляции электрическим током возникает аккомодация.
В некоторых случаях одна из косых мышц отсутствует или неразвита. Но когда две эти мышцы присутствовали и могли действовать, аккомодация, как было измерено при помощи объективного теста в виде ретиноскопии, всегда происходила под действием стимуляции электрическим током либо глазного яблока, либо нервов аккомодации возле участка в головном мозге, откуда они выходили. Аккомодация также воспроизводилась путем любой манипуляции с косыми мышцами, в результате которой усиливалось их натяжение. Такое натяжение осуществлялось при помощи операции по подворачиванию одной или обеих мышц (англ. «tucking operation». – Прим. пер.) или путем увеличения расстояния до точки, в которой они присоединялись к склере. Когда одна или несколько прямых мышц были разрезаны, эффект от операции, заключавшийся в увеличении натяжения косых мышц, был усилен.

Рис. 15. Демонстрация на примере глаза кролика того, что возникновение аномалий рефракции зависит от деятельности внешних мышц глаза. Шнур привязан к месту крепления верхней косой и прямой мышц глаза
№ 1 – Нить тянется назад. Возникает миопия.
№ 2 – Нить тянется вперед. Возникает гиперметропия.
№ 3 – Нить тянется вверх в плоскости радужки. Возникает смешанный астигматизм.
После того как были разрезаны поперек одна или обе косые мышцы или после того как их парализовывало в результате инъекции атропина глубоко в глазницу, аккомодация никогда не вызывалась при помощи стимуляции электрическим током. Но после окончания действия атропина или когда разделенные концы мышцы сшивались друг с другом, за электрическим разрядом, как и обычно, следовала аккомодация. И вновь, когда одна косая мышца отсутствовала, как было обнаружено в случае морской собаки, акулы и нескольких окуней, или была неразвита, как в случаях всех исследованных кошек, нескольких рыб и кролика, не удавалось воспроизвести аккомодацию при помощи стимуляции электрическим током. Но когда неразвитая мышца была усилена дополнительным удлинением или отсутствовавшую мышцу заменял шнур, поддерживавший необходимое натяжение, всегда удавалось воспроизвести аккомодацию при помощи электрического тока.

Рис. 16. Демонстрация на глазу рыбы того, что воспроизведение миопической и гиперметропической рефракций зависит от действия внешних мышц
Шнур привязан к основанию верхней прямой мышцы. Сильно потянув за конец шнура, повернули глазное яблоко в глазнице, и, затягивая нить при помощи фиксирующего зажима, захватывающего нижнюю челюсть, его устанавливают в этом положении. Симультативная ретиноскопия зарегистрировала воспроизведение высокой степени смешанного астигматизма. Когда верхняя косая мышца разделена, миопическая составляющая астигматизма исчезает, а когда разрезана нижняя прямая мышца, то гиперметропическая составляющая исчезает и глаз становится нормальным – настроенным на зрение вдаль, – хотя поддерживается натяжение шнура той же силы. Тем доказано, что эти мышцы являются существенными факторами в создании миопии и гиперметропии.
После того как одна или обе косые мышцы были разрезаны и в то время как две и более прямых мышц присутствовали и были активны[47], стимуляция глазного яблока или нервов аккомодации электрическим током всегда воспроизводила гиперметропию. В то же время при манипуляциях с одной из прямых мышц – обычно нижней или верхней, – так чтобы усилить их натяжение, получался такой же результат. Парализация прямой мышцы при помощи атропина или разрезание одной или нескольких таких мышц не позволяли возникнуть гиперметропической рефракции при электрической стимуляции. Но после окончания действия атропина или после того, как разрезанные концы мышцы были сшиты друг с другом, как обычно, в результате стимуляции электрическим током возникала гиперметропия.
Следует подчеркнуть, что, для того чтобы парализовать либо прямые, либо косые мышцы, оказалось необходимым производить инъекции атропина далеко позади глазного яблока при помощи иглы для подкожных инъекций. Предполагалось, что препарат парализует аккомодацию, когда его закапывают в глаза людей или животных, но во всех моих экспериментах было обнаружено, что, когда его использовали таким образом, он оказывал очень небольшой эффект на способность глаза изменять свой фокус.

Рис. 17.
№ 1 – Воспроизведение смешанного астигматизма в глазу карпа путем оттягивания нитей, прикрепленных к конъюнктиве, в противоположных направлениях. Заметьте овальную форму передней части глазного яблока.
№ 2 – После перерезания нитей глазное яблоко возвращает свою нормальную форму и рефракция становится нормальной.

Рис. 18. Демонстрация на глазном яблоке кролика того, что косые мышцы удлиняют зрительную ось при миопии
R, состояние покоя. Глазное яблоко имеет нормальную длину и находится в состоянии эмметропии – то есть полностью настроено на зрение вдаль. Му, миопия. Натяжение косых мышц было усилено путем их перемещения, и ретиноскоп показал, что возникла миопия. Легко заметить, что глазное яблоко стало длиннее. Было невозможно избежать какого-либо движения головы между съемкой этих двух кадров, на которых изображены результаты манипуляции с нитями. Но линейка показывает, что фокус камеры не был сильно изменен такими перемещениями.
Астигматизм обычно возникал в комбинации с миопической или гиперметропической рефракциями. Его также удавалось воспроизводить при помощи различных манипуляций и с косыми, и с прямыми мышцами. Смешанный астигматизм, который является комбинацией миопической и гиперметропической рефракций, всегда воспроизводился при натяжении в местах крепления верхней или нижней прямых мышц в направлении, параллельном плоскости радужки, при условии, что обе косые мышцы присутствовали и могли действовать. Но если одна или обе косые мышцы были разрезаны, миопическая составляющая астигматизма исчезала. Подобным образом после разрезания верхней или нижней прямых мышц исчезала гиперметропическая составляющая астигматизма. Перемещение двух косых мышц с перемещением верхней и нижней прямых мышц всегда воспроизводило смешанный астигматизм.

Рис. 19. Демонстрация на примере глаза карпа того, что прямые мышцы укорачивают зрительную ось при гиперметропии
R, состояние покоя. Глазное яблоко имеет нормальную длину и находится в состоянии эмметропии. Ну, гиперметропия. Натяжение внешней и внутренней прямых мышц было усилено путем перемещения, и ретиноскоп показывает, что возникла гиперметропия. Еще легче заметить, что глазное яблоко стало короче. Линейка показывает, что фокус камеры не был существенно изменен между этими двумя фотографиями.
Глаза, из которых был удален хрусталик или в которых он был смещен со зрительной оси, реагировали на стимуляцию электрическим током точно так же, как это делали нормальные глаза, все то время, что мышцы были активны. Но когда они были парализованы инъекцией атропина глубоко в глазницу, стимуляция не оказывала никакого влияния на рефракцию.

Рис. 20. Хрусталик смещен со зрительной оси.
В этом эксперименте на глазу карпа хрусталик был вытеснен со зрительной оси. Аккомодация имеет место после этого смещения точно так же, как и в предыдущих случаях. Заметьте точку на ноже в зрачке на передней поверхности хрусталика.
В одном из экспериментов из правого глаза кролика был удален хрусталик. Сначала рефракция каждого глаза была проверена при помощи ретиноскопа и оказалась нормальной. Потом ранке дали время зажить. После этого в период времени, начиная от одного месяца и до двух лет, в глазу с удаленным хрусталиком всегда удавалось воспроизвести аккомодацию при помощи стимуляции электрическим током в том же объеме, что и в глазу, имевшем хрусталик. Тот же эксперимент с таким же результатом был проведен на нескольких других кроликах, на собаках и на рыбах. Очевидный вывод – хрусталик не является фактором в процессе аккомодации.

Рис. 21. Кролик с удаленным хрусталиком
Это животное было представлено на заседании офтальмологов Американской ассоциации, проведенном в Атлантик-Сити, и было исследовано несколькими присутствовавшими там офтальмологами, все из которых свидетельствовали о том, что стимуляция глазного яблока электрическим током приводит к возникновению аккомодации или миопической рефракции точно так же, как и в нормальном глазу.
В большинстве учебников по физиологии написано, что аккомодация контролируется третьим черепным нервом, который снабжает все мышцы глазного яблока за исключением верхней косой и внешней прямой мышц. Но в этих экспериментах было обнаружено, что четвертый черепной нерв, который снабжает только верхнюю косую мышцу, – такой же нерв аккомодации, как и третий. Когда либо третий, либо четвертый нерв был стимулирован электрическим током возле точки его выхода из головного мозга, в нормальном глазу всегда возникала аккомодация. Когда начало каждого нерва было покрыто маленьким кусочком ваты, смоченным двухпроцентным раствором атропина сульфата в нормальном физиологическом растворе, стимуляция этого нерва не приводила к возникновению аккомодации, тогда как стимуляция не парализованного нерва воспроизводила ее. Когда основания обоих нервов были покрыты ватой, смоченной в атропине, аккомодацию не удавалось получить путем стимуляции электрическим током одного из них или обоих нервов. Когда вата была удалена и нервы промыты нормальным физиологическим раствором, стимуляция одного или обоих нервов электрическим током воспроизводила аккомодацию точно так же, как и до применения атропина. Этот эксперимент, проведенный повторно в течение более одного часа попеременным применением и удалением атропина, не только ясно продемонстрировал то, о чем ранее не было известно, а именно то, что четвертый нерв является нервом аккомодации, но также продемонстрировал, что верхняя косая мышца, которая его снабжает, является значимым фактором в процессе аккомодации. Далее было обнаружено, что когда не давали действовать косым мышцам путем их рассечения, стимуляция третьего нерва воспроизводила не аккомодацию, а гиперметропию.

Рис. 22. Эксперимент на примере глаза кошки, демонстрирующий то, что четвертый нерв, который снабжает только верхнюю косую мышцу, является точно таким же нервом аккомодации, как и третий, и что верхняя косая мышца, которую он снабжает, есть мышца аккомодации
№ 1 – Оба нерва были выведены наружу возле их основания в головном мозге, и полоска черной бумаги была вложена позади каждого, для того чтобы изображение можно было увидеть. Четвертый нерв – это тот, что поменьше. Верхняя косая мышца была перемещена путем подгибания. Так как эта мышца всегда недоразвита у кошек, то до тех пор, пока ее натяжение не усиливают, аккомодация у этих животных не воспроизводится. Стимуляция одного или обоих нервов импульсным током способствовала возникновению аккомодации.
№ 2 – Когда четвертый нерв был покрыт ватой, пропитанной нормальным физиологическим раствором, применение импульсного тока вызвало аккомодацию. Когда вата была пропитана однопроцентным раствором атропина сульфата в нормальном физиологическом растворе, не удавалось воспроизвести аккомодацию, но стимуляция третьего нерва воспроизводила ее.
№ 3 – Когда третий нерв был покрыт ватой, пропитанной нормальным физиологическим раствором, воздействием импульсного тока была воспроизведена аккомодация. Когда вата была смочена атропина сульфатом в нормальном физиологическом растворе, то не удавалось воспроизвести аккомодацию, но стимуляция четвертого нерва аккомодацию все же вызывала.
№ 4 – Когда оба нерва были покрыты ватой, пропитанной атропина сульфатом в нормальном физиологическом растворе, применение электричества к вате не вызывало возникновения аккомодации. Когда органы были вымыты в теплом физиологическом растворе, стимуляция электрическим током каждого нерва всегда воспроизводила аккомодацию. Нервы попеременно покрывались ватой, смоченной атропином, а затем промывались теплым физиологическим раствором за один час до применения электрического тока в каждом из состояний с теми же результатами. Аккомодация никогда не могла быть воспроизведена при помощи стимуляции электрическим током, когда нервы были парализованы атропином, но всегда происходила при стимуляции каждого или обоих нервов, когда их промывали физиологическим раствором. Эксперимент был проведен с теми же результатами, что и с множеством кроликов и собаками.

