
Тайна Жизни глазами науки и традиции


Тайна Жизни глазами науки и традиции. Сборник
Составитель В. В. Карелин
Как часть планетарного земного живого вещества мы инстинктивно и бессознательно ярко чувствуем загадку жизни – своего существования и существования жизни… Перед нами в течение тысячи поколений стоит загадка неразрешенная, но принципиально реальная – загадка жизни.
В. И. Вернадский
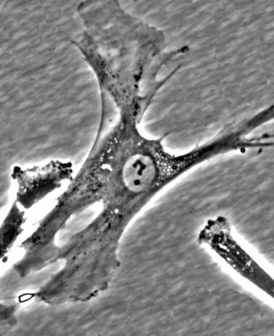
Это фотография живой мезенхимальной стволовой клетки, выделенной из костного мозга человека (фотография сделана автором статьи). Рядом с ней – отростки соседних клеток.
Это не монтаж! Это живая клетка. А знак вопроса – это хроматин (ДНК + белки) в ее ядре.
На следующий день эта клетка поделилась на две новые клетки.
1. Объединение
Современная наука со своим методом познания мира и языком его описания появилась не так давно, в XVII веке. Но и за многие тысячелетия до этого времени люди познавали мир и находили формы передачи Знания из поколения в поколение. Будем называть это идущее из глубины веков Знание Традицией, или Древней Наукой. Сохранилось ли оно до наших дней? Да, но в очень трудно понимаемом виде – в виде эпосов, мифов, притч, сказок. Современному человеку непросто увидеть за образами, сюжетами, именами и персонажами древних текстов скрытое в них глубокое знание об устройстве мира. Попробуем сравнить подход науки и традиции к Тайне Жизни и поищем ключи, которые могут нам помочь в разгадке этой тайны.
1.1. Часть и целое
Тенденция к объединению универсальна. Любой объект мироздания одновременно служит и целым по отношению к составляющим его частям, и частью целого высшего порядка. Например, тело человека состоит из органов, клеток, молекул, атомов, субатомных частиц и входит в состав биосферы, Земли, Солнечной системы, Галактики… Вселенной, наконец. Возникает вопрос: в чем причина и смысл объединения частей? Например, зачем атомам объединяться в молекулы? Жили бы себе на свободе! (Да простит читатель столь вольное упрощение научных постулатов.) На это наука нам говорит, что атомам выгодно объединяться в молекулы, так как снижение так называемой свободной энергии с лихвой компенсируется благоприобретением – уменьшением хаоса (по-научному энтропии) и возрастанием порядка! А уж тенденция к упорядоченности – это Закон, которому атомы не могут не подчиниться. Кстати, «космос» – результат действия вышеупомянутого Закона – в переводе с греческого и означает «порядок». У атомов с точки зрения науки есть еще один резон объединяться – их родство! Атомы не чужды друг другу, ибо когда-то давно, на заре Вселенной, возникли из Единого в результате так называемого Большого Взрыва. Наконец, помимо стремления к порядку и «кровного» родства, атомы привлекает друг к другу и заманчивая перспектива новых возможностей. Возьмем, к примеру, молекулу глюкозы, состоящую из атомов углерода, кислорода и водорода. «Сладкость» глюкозы есть качество целого, отсутствующее у составляющих ее атомов, взятых по отдельности. В науке появление новых свойств и возможностей в результате объединения называется эмерджентностью.
Платон сформулировал тот же самый принцип так: «Целое есть нечто большее, чем сумма его частей».
Этот принцип не чужд и клеткам. Одиночный нейрон червя по своей структуре и «способностям» практически не отличается от одиночного нейрона человека. Чего не скажешь о строении и возможностях головного мозга человека и червячка. Просто в головном мозге человека нейронов 1010, а в мозге червя вида C. elegans nematode – всего 302. Получается, что несопоставимые по сложности процессы в мозге человека – следствие объединения нейронов и установления огромного разнообразия связей между ними.
«Кровное родство» клеток нашего тела тоже очевидно, ибо все они (1014) произошли из одной клетки (оплодотворенной яйцеклетки) в результате процесса, подобного Большому Взрыву.
Как организовать такое огромное количество клеток (примерно соответствующее населению нескольких десятков тысяч Земель) в гармоничное целое – тело человека? Которое, к тому же, постоянно меняется, возобновляется (клетки кожи, например, обновляются со скоростью 100 000 в минуту, или 144 млн в сутки).
Должен существовать Закон Целого, выражающийся в упорядочивании множества частей.
На клетку внутри организма Закон накладывает ограничения. Она лишается свободы жить где хочет, делать что хочет и делиться когда хочет. Упомянутые ограничения отнюдь не лишают клетку возможности «самовыражения». Ведь в нашем теле более 250 клеточных типов, совсем друг на друга не похожих. Одни клетки «умеют» связывать и переносить кислород; другие – передавать нервный импульс; третьи – образовывать длинные волокна, способные сокращаться; четвертые – улавливать фотон света; пятые – распознавать и уничтожать «непрошенных гостей»; шестые – производить ферменты, необходимые для переваривания пищи, и т. д. Клетки творят жизнь – «симфонию» организма – подобно инструментам оркестра, привнося в единое звучание свой уникальный голос. «Запреты» распространяются лишь на проявления клеткой полной независимости и самодостаточности. Возникает вопрос: а клетка способна жить независимо? Нет, клетка вне организма выжить не сможет, даже если ее поместить в условия, приближенные к «родным» (температура, состав среды). Это хорошо известно клеточным биологам.

Эмерджентность (от англ. emergent «возникающий, неожиданно появляющийся») в теории систем – наличие у какой-либо системы особых свойств, не присущих ее элементам, а также сумме элементов, не связанных особыми системообразующими связями; несводимость свойств системы к сумме свойств ее компонентов; синоним – «системный эффект».

HeLa – линия «бессмертных» клеток, используемая в научных исследованиях раковых заболеваний. Была получена 8 февраля 1951 года из раковой опухоли шейки матки пациентки по имени Генриетта Лакс (англ. Henrietta Lacks), умершей от этого заболевания 4 октября того же года.
Чтобы вырастить клеточную культуру, необходимо начинать, как минимум, с сотен клеток. В противном случае они размножаться не станут и, в конце концов, погибнут. Исключением являются две клетки: оплодотворенная яйцеклетка и раковая клетка.
Оплодотворенная яйцеклетка (зигота) может жить и даже начать превращаться в многоклеточный зародыш вне организма. Это используют уже десятки лет в процедурах экстракорпорального оплодотворения – «зачатия в пробирке» – и клонирования. Но это исключение лишь подтверждает Закон. Ведь зигота – это «Единое в потенциале», исходная «точка» «Большого Взрыва», рождающая целый организм.
Раковая клетка идет против Закона Целого в угоду собственным интересам – обретению личной свободы и бессмертия. Она очень похожа своими широкими возможностями и полномочиями на клетку-родоначальницу. С одной лишь разницей: раковая клетка многократно воспроизводит саму себя, в то время как зигота дает начало гармоничному сообществу разнообразных клеток. Раковая клетка в конечном итоге несет смерть, клетка-родоначальница – Жизнь.
В питательной среде вне организма раковая клетка может существовать и воспроизводить себя десятки лет (например, клетки линии HeLa), но без этой среды все равно погибнет.
Используя организм в качестве ресурсов на пути к обретению личного бессмертия, раковая клетка в итоге уничтожает не только «источник ресурсов», но и саму себя. Не подобный ли итог может ожидать человечество, если оно не перестанет упорствовать в следовании «раковой» концепции?
Конец ознакомительного фрагмента.
Текст предоставлен ООО «ЛитРес».
Прочитайте эту книгу целиком, купив полную легальную версию на ЛитРес.
Безопасно оплатить книгу можно банковской картой Visa, MasterCard, Maestro, со счета мобильного телефона, с платежного терминала, в салоне МТС или Связной, через PayPal, WebMoney, Яндекс.Деньги, QIWI Кошелек, бонусными картами или другим удобным Вам способом.
Приобретайте полный текст книги у нашего партнера:

