
Протезирующая пластика послеоперационных грыж живота
При невправимых и не вмещающихся в брюшной полости грыжах с потерей домена (loss of domain) выпячивание не исчезает в положении лежа. Содержимым грыжи может быть не только сальник и петли тонкой кишки, но и желчный пузырь, печень, различные отделы толстой кишки, желудок и даже мочевой пузырь.
Обычно диагностика послеоперационных грыж не представляет трудностей. Хирург при осмотре больного обращает внимание на асимметрию живота за счет выпячивания области послеоперационного рубца. При грыжах малых размеров это выпячивание определяют пальпаторно. Определение истинных размеров грыжи, величины и формы грыжевых ворот производят в положении лежа на спине. Врач, пальпируя живот, предлагает больному опереться на локти, приподнять голову и верхнюю часть туловища. При этом мышцы брюшного пресса напрягаются, а грыжевое выпячивание рельефно выделяется на поверхности брюшной стенки. Этот прием позволяет определить не только размеры грыжи, но и наличие добавочных грыжевых выпячиваний в стороне от основного.
У тучных людей, особенно с морбидным ожирением, при малых размерах послеоперационной грыжи приходится производить повторные исследования, чтобы обнаружить дефект в области послеоперационного рубца. Для определения грыжи больному предлагают покашлять или натужиться. Важно установить распространение грыжи по передней брюшной стенке.
Предварительно о содержимом грыжевого выпячивания судят по результатам перкуссии: тупым перкуторным звуком сопровождается наличие в грыжевом мешке сальника, притупленным – наличие сальника и кишки. Пальпацией определяется консистенция грыжевого выпячивания. При наличии в грыжевом выпячивании кишечной петли консистенция его мягкоэластичная, сальника – мягкая, мелкодольчатая. Важные дополнительные сведения дают ультразвуковое и рентгенологическое исследования.
Алгоритм ультразвукового обследования больных с послеоперационной грыжей живота до операции включает:
– исследование периферических участков брюшной стенки и участков брюшной стенки, вовлеченных в патологический процесс (послеоперационного рубца; грыжевого выпячивания; определение размеров грыжевых ворот; осмотр содержимого грыжевого мешка, а при обнаружении в грыжевом мешке петель кишечника необходимо уточнить жизнеспособность кишки по перистальтическим движениям и с помощью цветного дуплексного картирования кровотока);
– при ранее выполненных протезирующих пластиках визуализация прежнего имплантата;
– определение ширины и толщины прямых мышц живота;
– осмотр органов брюшной полости, забрюшинного пространства и органов малого таза (печени и внепеченочных желчных протоков, поджелудочной железы, кишечника, почек и мочевого пузыря, матки с придатками у женщин, предстательной железы и органов мошонки у мужчин);
– дуплексное сканирование вен нижних конечностей и нижней полой вены с оценкой динамики венозного кровотока.
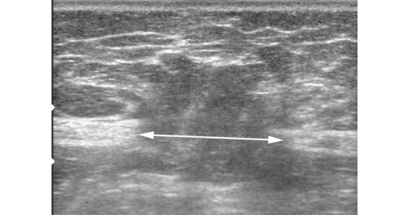
Полученные данные при ультразвуковом исследовании передней брюшной стенки и органов брюшной полости позволяют: оценить состояние мышечно-апоневротических структур; определить ширину основного грыжевого дефекта (рис. 32), наличие или отсутствие дополнительных грыжевых отверстий; выявить симультанную хирургическую патологию органов брюшной полости; определить характер спаечного процесса и выраженность явлений частичной кишечной непроходимости; выявить очаги хронического воспаления. Однако при больших грыжах информативность УЗИ значительно снижается, в связи с чем для получения более точной информации по всем параметрам грыж необходимо проведение рентгеновской компьютерной томографии.

Рис. 32 Эхограмма передней брюшной стенки у больной с послеоперационной грыжей средней линии живота M2W1. Прямой линией со стрелками на концах отмечены грыжевые ворота
Конец ознакомительного фрагмента.
Текст предоставлен ООО «Литрес».
Прочитайте эту книгу целиком, купив полную легальную версию на Литрес.
Безопасно оплатить книгу можно банковской картой Visa, MasterCard, Maestro, со счета мобильного телефона, с платежного терминала, в салоне МТС или Связной, через PayPal, WebMoney, Яндекс.Деньги, QIWI Кошелек, бонусными картами или другим удобным Вам способом.
Приобретайте полный текст книги у нашего партнера:

