
Судьба педераста или непридуманные истории из жизни…

Зяма Исламбеков
Судьба педераста или непридуманные истории из жизни…
© Текст, художественное оформление и рисунки – Зямы Исламбекова, 2017
© Изд-во «МАД», 2017
* * *Посвящается наиболее амбициозным и целеустремлённым мужичкам…
Часть первая
Мнение простого обывателя
Я * прочитал в трамвае и метро * все книги Зямы Исламбекова. * Фигня полнейшая! Таких ** героев, каких * он * описывает в своих романах, я повидал * в жизни столько, что * можно ** со счёту сбиться ***. Какой смысл описывать то, что * каждый наблюдает, и с чем приходится сталкиваться ежечасно? У * меня, например, есть огромное желание узнать, как * стать миллионером * или президентом **? Или *– как * иметь * успех * у любой женщины? Или – как украсть и не попасться? Вот * такую бы книгу я * и сам бы * прочитал *, и друзьям бы порекомендовал! Все писатели пишут * лишь о том, что и так давно всем известно. А книжки * должны чему-нибудь учить, они * должны быть полезными!
Я *, например*, таксую вечерами в Москве и * её пригородах. Работа* тяжёлая*, но * интересная *. Даже не столько * интересная, сколько * денежная. И вижу разную публику. Вижу всех * насквозь. Вот * Исламбеков * спросил бы у меня, а я бы ему и рассказал. И * показал бы ещё…
Примечание: Вместо нецензурных слов и выражений поставлена звёздочка (*). Некоторые фразы адаптивно переведены на русский литературный язык (выделены красным цветом).
От автора к читателю
Надо быть полным идиотом, чтобы описывать судьбу педераста!? Ведь сразу же становится понятно, что только педик может знать всё о тех, кто скрывает своё истинное «я»?! А много ли на Земле представителей сексуальных меньшинств? Много, очень много… Их так много, что меня просто тошнит, или, как говорит Хуго Карлович, «…волосы под ширинкой встают дыбом, когда видишь их на демонстрациях или на телеэкранах. Удавил бы всех, бл@дь! А с виду они даже ничего, когда не знаешь об их сексуальной ориентации. Да, да, именно так!»
О! А вдруг слово педераст имеет ещё какое-либо другое, доселе неизвестное простому читателю значение? Кстати, а что означает красивое слово повия? Как минимум 50 млн. обывателей знают или могли бы знать, что по-украински повия – это проститутка. А слово шабля иногда с украинского языка на русский некоторые грамотеи ошибочно переводят, как молчи девушка.
Я мог бы написать романчик или киносценарий про бандитов или проституток. Можно было бы взяться за такое модное нынче направление «Как стать миллионером?» или ещё за что-нибудь денежное и очень – очень перспективное… А я, вот, взял, да и написал про то, о чём не принято писать, но что часто на языке и на слуху у многих в России, да и в других русскоговорящих регионах мира.
Действительно, быть педерастом – грустно! Но ещё страшнее – быть полным педерастом!
Вот так или примерно так можно было бы начать повествование. Но такое начало сразу бы отпугнуло всех читателей, которые уже с первых страниц мечтают получить наслаждение от супердорогой книги известного писателя.
Мне тяжело начинать эту грустную во всех отношениях историю, поскольку всё, что здесь будет написано – чистейшая правда. Более того, даже не у всех героев изменены имена и фамилии. Именно поэтому я прошу заранее извинение за разглашение интимных подробностей или фрагментов жизни всех своих героев! Простите меня, пожалуйста, если сможете…
И ещё, начинался роман до кризиса, а закончен был в самый его разгар.
Х@йня-муйня или просто мысли вслух
Отчисленный студент Петров каждый день пишет из армии своему декану, что он попал в спецназ и его учат там убивать…
Для чего люди пишут? Что и где они пишут? Кому и когда?
Сам процесс написания чего-либо и кому-либо – достаточно затратная вещь. Говорить гораздо проще. Намного легче сквернословить, нежели изъясняться красиво, литературным языком. А писать кратко, ёмко и точно – это талант. А если в писанине будет присутствовать интерес или смысл, что почти одно и то же, то это, наверное, и есть гениальность. Да, именно так сегодня обстоят дела с эпистолярным жанром. Пишут сегодня практически все. Одни специализируются на царапанье гвоздем в лифтах, на машинах… всякой дряни, другие используют мел, краски и что-то там ещё. Есть писатели sms, есть те, которые дерзают на поприще комментариев в интернете. Есть критики и критиканы. Есть поэты и писатели. Есть клерки, чиновники, педагоги, учёные и научные работники… Одним словом, сегодня пишут практически все, от мала до велика. При этом ни национальность, ни вероисповедование, ни пол, ни возраст, ни уровень образования здесь большого значения не имеют. Более того, пишут по какому-то внутреннему устремлению или по принуждению. Мотивация у всех разная, как и качество самого контента, т. е. создаваемого продукта. Большинство людей даже не осознают своего бреда, который очевиден лишь лицам (читателям), стоящим на более высокой ступени своего эстетического, умственного, интеллектуального развития. Это примерно также, как в пении. Поют очень многие, большинство. Но вся беда заключается в том, что у одних есть слух, а у других, извините, его нет. У одних есть голос, а у других нет. А людей с абсолютным слухом и красивым голосом настолько мало, что их известность, подчас, носит всемирный характер. Кстати, у писателей, композиторов, ученых, врачей, да у кого угодно – та же байда, та же хрень.
Вот зачем, спрашивается, было тратить время, силы, бумагу на эти известные каждому мысли? В чем фишка?
Одессит, вероятно, ответил бы «А я знаю?»
А между тем, роман был создан в то время, когда в России мало что зависело от отдельно взятого человека со средними способностями, средними трудовыми навыками, средних лет… Более того, сколько бы ты не работал, всё равно жизнь твоя будет похожа на бег с препятствиями по замкнутому кругу. Ты бежишь, бежишь, потом бац и перед тобой преграда. Это может быть и яма, и стенка, и огонь, и вода, и горы… Всё, что угодно. Кто-то не в силах преодолеть препятствие. Он либо отступает назад и начинает метаться в замкнутом пространстве, либо элементарно погибает. А кому-то элементарно везет. А у некоторых получается преодолеть препятствие и продвинуться дальше. Пусть хоть и не с первой попытки, а со второй, с третьей, с какой-то ещё большей по номеру… Но при этом не факт, что новое пространство лучше прежнего. Кстати, я доходчиво излагаю свои мысли? Пока всё понятно? Если нет? А то лучше эту главу не читать, а продолжить без неё или вообще, может быть, правильнее всего не продолжать чтиво вовсе?! Будут сэкономлены и силы, и время, и нервы. А это всё – дорогого стоит!
Жизнь – это борьба. Тинна Владимировна, например, в интернете написала:
Вся жизнь борьба!С собой и за себя…Не так идёт порою всё и всяи поражений больше, чем побед.Не унываем мы! Семь бед – один ответ.Идём вперед, наперекор всемуи благодарны прожитому дню.Раз ситуацию не в силах изменить,взгляд на неё мы можем обновить[1].А кто такая Тинна Владимировна? Наверное, женщина?! Наверное, домохозяйка с высшим образованием… Или, быть может, старая дева… Хотя, если честно, я вообще не знаю такой!
Или вот ещё:
Наша жизнь – следствие наших мыслей; она рождается в нашем сердце, она творится нашею мыслью. Если человек говорит и действует с доброю мыслью – радость следует за ним как тень, никогда не покидающая.
«Дхаммапада»Все, что изменяет нашу жизнь, – не случайность. Оно в нас самих и ждет лишь внешнего повода для выражения действием.
Александр Сергеевич ГринЖизнь – не страдание и не наслаждение, а дело, которое мы обязаны делать и честно довести его до конца.
Алексис ТоквильСтремись не к тому, чтобы добиться успеха, а к тому, чтобы твоя жизнь имела смысл.
Альберт ЭйнштейнВидеть все вещи в Боге, сделать из своей жизни движение к идеалу, жить благодарностью, сосредоточением, кротостью и мужеством: в этом удивительная точка зрения Марка Аврелия.
Анри АмьельВсякая жизнь творит собственную судьбу.
Анри АмьельЖизнь – это миг. Ее нельзя прожить сначала на черновике, а потом переписать на беловик.
Антон Павлович ЧеховПризвание каждого человека в духовной деятельности – в постоянном искании правды и смысла жизни.
Антон Павлович ЧеховСмысл жизни только в одном – борьбе.
Антон Павлович ЧеховЖизнь – это непрекращающееся рождение, и себя принимаешь таким, каким становишься.
Антуан де Сент-ЭкзюпериЯ желаю сражаться за жизнь. Сражаются за правду. Все и всегда сражаются за правду, и в этом нет никакой двусмысленности.
Антуан де Сент-ЭкзюпериНе на то надо смотреть, где человек родился, а каковы его нравы, не в какой земле, а по каким принципам решил он прожить свою жизнь.
АпулейЖизнь – это риск. Только попадая в рискованные ситуации, мы продолжаем расти. И одна из самых рискованных ситуаций, на которые мы можем отважиться, – это риск полюбить, риск оказаться уязвимым, риск позволить себе открыться перед другим человеком, не боясь ни боли, ни обид.
Арианна ХаффингтонВ чем смысл жизни? Служить другим и делать добро.
АристотельНикто не жил в прошлом, никому не придется жить в будущем; настоящее и есть форма жизни.
Артур ШопенгауэрПомни: только эта жизнь имеет цену!
Афоризмы из литературных памятников древнего ЕгиптаБояться надо не смерти, а пустой жизни.
Бертольд БрехтЛюди ищут удовольствия, бросаясь из стороны в сторону, только потому, что чувствуют пустоту своей жизни, но не чувствуют еще пустоты той новой потехи, которая их притягивает.
Блез ПаскальВот, друзья, лишь маленькая толика того, что написали великие люди, а я процитировал лишь самое малое, что можно только себе позволить в рамках одной главы, чтобы не прослыть конченным занудой и демагогом с первых же страниц своего романа.
Резюмирую: чтобы та или иная мысль автора дошла до сознания читателя необходимы:
– усилия автора;
– усилия и терпение читателя;
– талант автора и какие-то зачатки восприимчивости читателя к подаваемой ему информации;
– интерес читателя к той или иной теме, к произведению в целом.
Нет интереса – нет результата. И ещё, если вся информация может быть в других книгах, то для чего тратить время на бредни простого слесаря-сантехника, взявшегося за перо по каким-то непонятным для большинства читателей мотивам?
А вот здесь примерно та же ситуация, что и в случаях со знакомством. Знакомством с творчеством, с профессией, с людьми… Подчас знакомство со случайным для тебя человеком переворачивает весь твой внутренний мир так, что ты меняешься и внутренне, и внешне. Меняется твой кругозор, твоё мировоззрение, отношение к себе любимому, к окружающим, к жизни, к судьбе, ко всему в целом.
Прелесть любой книги в том, что, во-первых, её можно читать или не читать, её можно перечитывать или недочитывать. Во-вторых, в каждой книге всегда можно найти что-то новенькое, что-то неизвестное или давно забытое.
И последнее, только для этой главы… Архитектура всего романа – отдельные истории, объединенные одной канвой, одним сюжетом. Я – не Патрик Уайт[2], который на примере одной семьи показал жизнь такой, какая она виделась ему… Молодёжь, увы, не читает подобных произведений. А в зрелом возрасте книги читают вообще лишь единицы. Все остальные заняты зарабатыванием денег и релаксацией, как-то пьянка, гулянка, табакокурение, наркомания, секс… Маленький процент россиян, не охваченный спортом, занимается фитнесом. Ещё меньший процент ходит в кино, театры, музеи, читает книги…
И последнее – слишком много общего с высказываниями Бернарда Вербера «Смех циклопа», как-то, например:
Когда было создано человеческое тело, каждая из его частей захотела сделаться главной.
МОЗГ сказал: я контролирую всю нервную систему, я должен стать главным.
НОГИ сказали: мы поддерживаем все тело в вертикальном положении, мы должны стать главными.
РУКИ сказали: мы делаем всю работу и зарабатываем деньги, чтобы кормить тело, мы должны стать главными.
ГЛАЗА сказали: мы добываем основную информацию о внешнем мире, мы должны стать главными.
РОТ сказал: я всех кормлю, я должен стать главным.
То же самое сказали СЕРДЦЕ, УШИ и ЛЕГКИЕ.
Наконец заговорила ДЫРКА В ЗАДНИЦЕ. Она тоже хотела стать главной. Прочие части тела засмеялись при мысли, что какая-то ДЫРКА В ЗАДНИЦЕ хочет ими управлять.
Тогда ДЫРКА В ЗАДНИЦЕ рассердилась. Она закрылась и отказалась работать. От этого МОЗГ впал в лихорадочное возбуждение, ГЛАЗА остекленели, НОГИ почувствовали слабость и потеряли способность ходить, РУКИ бессильно повисли, а СЕРДЦЕ и ЛЕГКИЕ начали борьбу за жизнь. И все стали умолять МОЗГ уступить и позволить ДЫРКЕ В ЗАДНИЦЕ сделаться главной.
Так и произошло. Все части тела опять заработали нормально, а ДЫРКА В ЗАДНИЦЕ принялась всеми командовать. Основным ее занятием, как у всякого начальника, достойного этого названия, стало разгребание «дерьма».
Мораль: совершенно не обязательно быть умным, чтобы сделаться начальником. Шансов стать им у самой обычной ДЫРКИ В ЗАДНИЦЕ гораздо больше, чем у кого бы то ни было другого[3].
Зуб мудрости
Не трясите мордой лица!
Из выступления Президента Грузии перед военными, г. Зугдиди, апрель 2008 г. მიხეილ ნიკოლოზის ძე სააკაშვილი (дословный перевод с грузинского языка, ИНТЕРНЕТ)Был обычный декабрьский, морозный день. Солнышко светило ярко, ветер дул сильно, а зуб болел так, что, как говорится, хочешь – не хочешь, а идти к стоматологу было надо и притом незамедлительно.
Если мне кто-нибудь когда-нибудь скажет, что он не знаком с зубной болью, то я встану на колени и начну молиться на него, как на святого… Таких людей сегодня просто нет! При этом в мире есть разные уникумы, но и у них иногда болят зубы. Человек, как правило, рождается беззубым. Затем у него вырастают молочные зубы, которые он не очень-то бережёт по причине своего малолетства и беспечности старших, а вот взрослыми зубками каждый начинает дорожить, особенно после того, как посетит стоматолога.
Иногда встречаются счастливчики со вставными зубами и даже челюстями. У них все зубы – искусственные. Они не болят, но мороки с ними не меньше, а может быть даже и больше, чем с естественными. Их надо правильно обслуживать: промывать, снимать, хранить и одевать… Они то и дело ломаются, их всё время надо ремонтировать… А ещё вставные зубы бывают источниками всяких зудов, беспокойств и заморочек.

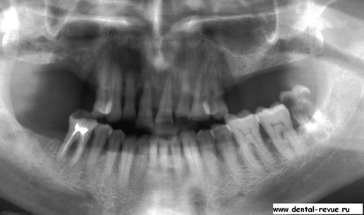
Диагностическая ортопантомограмма перед лечением
Бывает, вставные челюсти натирают так, что их сутками, неделями не вынимают из стакана с водой, куда обладатели протезов кладут «механизмы жрачки» по рекомендации специалистов…
Сейчас читателю тяжело в это поверить, но это действительно так! Уж я-то знаю…

Любовь вокруг да рядом бродит, порой такое наворотит… С ней пожирая «лань» очами, два друга вдруг… столкнутся лбами!
Арсен АсовНиколай Михайлович сидел в вестибюле частной стоматологической клиники с красивым названием Вероника и безропотно ожидал своей очереди. Как ни странно, кроме персонала никого больше не было, вместе с тем, приём всё задерживался и задерживался. Профессор сидел в большом кожаном кресле и пытался через очки увидеть в журнале то, что могло бы ему в дальнейшем пригодиться. Однако, кроме рекламы и красивых фотографий молоденьких женщин он ничего интересного для себя не находил. По телевизору транслировали сериал Папины дочки, который он не смотрел, а переключить ящик на другую программу он самостоятельно не мог, как говорится, был специалистом не по этой части. Да и просить кого-либо он не хотел. Сначала прошло 10 минут, затем ещё 10, затем…
Стоматолог, который должен был «заняться» Николаем Михайловичем, трапезничал. Перекусончик был простым и скучным, отчего настроение оставалось подавленным, и думать о чём-то хорошем и радостном не получалось. Опять красная икра на тонюсеньком бутербродике, где толщина масла конкурировала с толщиной булки… Опять ветчина с бужениной, облагороженные большим азербайджанским красным помидором… И как всегда несколько ломтиков сыра Свале.
– Ну, фсё, – грустно, полушепотом промямлила Ирина Михайловна – женщина, приближавшаяся к бальзаковскому возрасту. Слегка полноватая, с пышной грудью и практически без какой-либо причёски и косметики – она чуть потянулась, чуть слышно рыгнула и встала из-за стола, за которым оформлялись карточки больных и где обычно чаёвничали.
– Бутем дальфше ,аботать, – цикая и покашливая, молвила Ирина Михайловна.
– Ирина Михайловна, там Вас пациент ждёт. Он уже минут 15 как приехал, – сказала Наталья Константиновна, ассистент стоматолога, дожевывавшая бутерброд с докторской колбасой.
– Ладно, зофите его. Я пока ,уки помою.
Не в обиду стоматологам будет сказано, но большая часть окулистов носит очки, ортопеды – хромают и прихрамывают так, что сразу же вспоминаются тяжёлые автомобильные аварии, падения с высоты и т. д., а у «зубников» – отвратительная дикция. Хорошо, если бы они только шепелявили, но многие из них ещё и картавят. Жуть какая-то, но выбора у народа нет. Никому не нравятся милиционеры! Однако все бегут в милицию, когда их обкрадут или кого-либо замочат. Все ругают систему образования, но другой системы у нас нет! Везде всё плохо, но не у нас!
Цена услуги не говорит о качестве лечения, а квалификация врачей-стоматологов рассчитана на снятие боли и отжим денег с клиента. Кстати, это – не только на постсоветском пространстве, но и за кордоном, везде, где лечат больных. Почему-то в медицину идут либо по стопам родителей, либо какие-то ущербные, с открытыми или чуть скрытыми от внешних взоров дефектами?! Пожалуй, половые контакты среди медиков случаются также часто, как и у сотрудников правоохранительных органов. Честно говоря, выбор не такой удачный или богатый. Может быть поэтому браки создаются очень часто, но ещё чаще они распадаются. Социологические исследования показывают, что больше всего матерей-одиночек бывает именно в органах внутренних дел и здравоохранении. Так, а к чему это я всё рассказываю? А, вспомнил! Николай Михайлович был из бывших, а Ирина Михайловна была медиком. И вовсе не важно, что оба имели семьи, что он был пациентом, а она – стоматологом. Оба они были людьми активными, и у каждого был интерес к противоположному полу.
Да простит меня читатель, но не могу не привести известный анекдот про милиционера, увидевшего в речке фекалии, которые поприветствовали его, т. е. мента, как коллегу, коллегу из внутренних органов, проплывая мимо по речке…
Ну, а если серьёзно, то мир ещё не знает способа комфортного существования без врачей, учителей и даже милиции (полиции), пусть и не очень хороших, но зато своих! Критиковать всегда просто. Критиковать может каждый, а вот правильно отреагировать на критику (например, доброжелательную) – дано не всем.
Николай Михайлович был мужичком невысокого росточка, с хорошей фигуркой и большой-большой лысиной, украшенной седоватым редким чубчиком, постоянно падавшим на слегка рахитичный, морщинистый лоб. Голубые глаза на фоне густых бровей и чуть горбатого носа придавали лицу некоторую привлекательность. Внешность была скорее приятной, нежели отталкивающей. Манеры в целом были хорошими, голос не визжал, дикция была правильной. При этом с первых минут собеседник Николая Михайловича улавливал не только командные нотки, но и некоторую дотошность, которую часто люди поначалу воспринимают за высокие организаторские и командные качества, сочетающиеся с элементами порядочности и честности. Большая часть руководителей среднего и высшего звена – мужички маленького росточка и больших амбиций. Маленькая попка, поджарая фигурка Николая Михайловича – свидетельствовали о правильном образе жизни, где не было места ни табаку, ни алкоголю, где диван и чревоугодие заменялись физкультурой, а может быть даже и спортом. В свои 66 лет Николай Михайлович был ещё активен, полон сил, энергии и творческих планов. Вот уже 7-ой год, как он был на «гражданке» после 42 лет успешной службы в правоохранительных органах. Время шло, а он так и не смог полностью перестроить свой армейский быт, который строился на таких простых и в тоже время ёмких понятиях, как надо, нет, так точно, есть,… Николай Михайлович так и не смог привыкнуть к утрате навсегда административного генеральского ресурса. Ушли погоны, связи, возможности. Пришли пенсия и старость. Болезни стали накатывать одна за другой на физически крепкий смолоду организм. Сначала простуда, затем желудок, сердце, печень. А теперь вот и зубы.
Лечиться (санироваться) в ведомственной поликлинике было сложно. Уже не генерал, значит можно сэкономить на материалах, на программе лечения. Друзья-то тоже уже того – кто на пенсии, а кто и там…
Секретарши у Николая Михайловича теперь не было. Точнее, её не стало совсем недавно, после того, как его сняли, по возрасту, с должности заведующего кафедрой, где он прорулил без малого 15 лет. Преемник, его бывший подчинённый, оказался талантливым учеником. Он, в отличии от своего учителя – Николая Михайловича, защитил не только кандидатскую, но и докторскую диссертацию, тоже стал профессором, заслуженным юристом России… Но он был моложе на 30 лет! О, как! И он, Николай Михайлович Лобов, обратил свою похоть на миловидную, средних лет секретаршу, которую растил для себя, будучи тогда ещё генералом, полным сил, энергии, всяческих планов.
– Ну, фтсё, Николай Михайловитсь? Ст,афстфуйте! Сзюбы?
– Добрый день, Ирочка, – приветствовал стоматолога Николай Михайлович, придерживая через платок левой рукой больной зуб на правой нижней челюсти. – Да, дела. Вот, опять, значит, он того. И ведь, что интересно, ещё вчера, вроде бы, хотя нет, да, но позавчера было, в общем-то, можно, значит сказать, что ещё и как бы даже и ничего, а, вот, значит, сейчас, значит, ну, просто нет сил!
– Тафайте, тафайте. Cщящь пощмот, им, сщто у фатс там, – быстро ответила Ирина Михайловна и предложила Николаю Михайловичу занять место в кресле.
Дорогой читатель! Дико извиняюсь за вынужденное упрощение передачи качества речи стоматолога, обусловленное моей ленью, дефицитом времени и скромными возможностями по набивке на компьютере текста одним пальцем правой руки. Именно поэтому я вынужден сделать лёгкую коррекцию произношения Ирины Михайловны. И, кстати, теперь, когда вы представили себе её произношение, и когда восприятие текста резко улучшилось, можно получить истинное наслаждение от диалога профессора с лечащим стоматологом.
– Ирочка, а мне не будет больно? – с некоторым кокетством спросил Николай Михайлович, удобно расположившись в большом для него кресле. – Очень бы хотелось, чтобы, это самое, значит, было, значит, ну Вы понимаете меня?
– Не волнуйтесь, всё будет нормально, – Ирина Михайловна взяла козью ножку – специальный стоматологический инструмент, и попыталась обследовать больной профессорский зуб.
Николай Михайлович при первом соприкосновении с инструментом вскрикнул от сильнейшей боли и упал в обморок.
Натальи Константиновны в тот момент времени в кабинете не было, она отошла и, похоже, надолго. Первое, что, естественно, пришло в голову Ирины Михайловны – было дать понюхать нашатыря Лобову. Болевой шок в сочетании с обмороком – вещь неприятная. Однако сестрички не было, а вставать, искать, доставать – ох, как не хотелось. Рот по-прежнему был широко разинут, доступ к зубу был свободен. И без тщательного обследования было ясно, что больной зуб надо рвать к чёртовой матери, без какого-либо сожаления. Кариес был таким обширным, а цвет зуба таким чёрным, что шансов даже на протезирование, коронку или ещё чего-то, уже не оставалось.
Недолго думая, Ирина Михайловна сделала своё дело быстро-быстро, не тратя времени и сил даже на анестезию. Чик и готово. Крови было не много, пациент даже не дёрнулся.
Как ни странно, но произошло ещё одно маленькое чудо – Наталья Константиновна быстро вернулась. Более того, без лишних слов она достала ватку с нашатырём, и протянула Лобову, который быстро очухался, и стал с интересом наблюдать за тем, как Ирина Михайловна мыла руки, после чего подошла к столу, достала амбулаторную карту, и что-то стала в ней записывать. Это продолжалось несколько минут.

