
Эффект очевидного. Через призму здоровья
Действительно, жировая ткань в организме несет на себе значительные функции. Было бы ошибочно полагать, что от жира нужно полностью избавляться. Но, многие желающие похудеть за счет жирового компонента действительно хотят полностью избавиться от него, не задумываясь о последствиях. Потеряв значительное количество жировой ткани, человек рискует запустить процесс компенсации в теле, в виде «выключения» ряда функций для сохранения оставшейся энергии для жизнедеятельности.
Запомните, друзья: можно выглядеть стройно и подтянуто и, при этом, сохранить физиологически-корректный процент подкожного слоя жира в теле.
Для мужчины оптимальное количество жировой ткани составляет 10 % от общей массы, для женщины – 12–15 %.
Пришло время ответить на самый главный вопрос: можно ли организм заставить локально расходовать подкожный жир в необходимых местах? Ответ: НЕТ! В человеческом организме не существует условий, при которых такой процесс будет происходить.
Даже, используя различные пояса для создания эффекта сауны, делая упражнения с включением мышц данной региона (скручивания на пресс, упражнения на бицепс и трицепс) не добиться желаемого результата.
Процесс похудения – это многоступенчатый и системный процесс, который включает в себя:
• Корректировку питания
• Физическую активность
• Контроль за состоянием здоровья органов и систем.
Согласитесь, что контроль за состоянием здоровья в процессе похудения очень важен, ибо похудеть просто не получится, если, к примеру, произошел сбой в гормональной системе. Только корректная работа организма позволит худеть без последствий.
Стремительная потеря веса в виде избавления от лишней межклеточной жидкости и отеков в первый месяц говорит о возобновлении корректной работы лимфодренажной системы, из-за активных кардио и силовых тренировок.
Если за 2–3 недели вы потеряли 3–5 кг веса знайте, это вода и отеки.
Жир расходуется очень медленно, 30–70 грамм/день. Самым хорошим результатом будет потеря жира около 100 грамм/день, но такое случается крайне редко, если мы говорим про оздоровительную потерю веса.
Абдоминальная область и зона галифе потеряет жир в последнюю очередь, так как там находится депо «на черный день». В первую очередь жировая ткань покидает дистальные части тела: голова, руки и ноги. Так сложилось эволюционно, чтобы был необходимый запас жира для восполнения энергетических трат в процессе жизнедеятельности.
Итог: Не стоит рассчитывать на локальную потерю жира в разных частях тела. Худейте грамотно и спокойно. Наберитесь терпения.
Миф № 5: Бросишь тренироваться – мышцы превратятся в жирЧестно говоря, я мечтаю о том, чтобы мой организм мог такое вытворять. Было бы очень здорово. Представьте только: население земли с отсутствием подкожного жира и красивыми, атлетичными телами. Шутка шуткой, но стоит разобраться в причинах происхождении данного мифа.
Профессиональный атлет или человек, который много лет отдал культуризму и железкам, в силу разных причин прекращает тренироваться. Условия, в которых все это время пребывал организм тренирующегося меняются. К новым условиям нужна адаптация.
Адаптация (лат. adapto «приспособляю») – приспособление строения и функций организма, его органов и клеток к условиям внешней среды.
Друзья, сейчас внимание: изменились условия. Теперь нет необходимости каждый день сражаться с тяжелыми весами, заставляя мышцы работать. Проходить, проплывать и пробегать многокилометровые дистанции.
Все эти действия требовали готовности всех систем организма. Энергетический запрос был высокий, суточный калораж, в зависимости от требований, был высокий, аппетит был отменный. Теперь представьте полную отмену всех мероприятий. Организм достаточно быстро подстроится под новые условия. Для этого потребуется от 4 до 8 недель, чтобы стать, в некоторой степени, растренированным. Обменные процессы стали стандартными, метаболический запрос мышц активно снижается, а вот аппетит, скорее всего, остался на прежнем уровне.
Вот из-за этого весь сыр-бор. Заметьте, что между понятиями голод и аппетит огромная разница. Голод свидетельствует о том, что организму необходимо топливо, в виде, я надеюсь, сбалансированного питания. Аппетит часто возникает на фоне изменений внешних условий жизнедеятельности. Сказывается множество факторов: изменение гормональной системы, психоэмоциональные перегрузки, смена тренировочных режимов (сушка и набор массы), гиповитаминоз, нарушение деятельности ЖКТ. К тому же, мало кто из людей может похвастаться отказом от продуктов с высоким содержанием сахара, которые резко повышают уровень глюкозы крови. Такое повышение почти мгновенно вызывает сильный аппетит Вообще, переедание углеводом вызывает сильный подъем глюкозы крови, с последующим резким спадом до показателей ниже нормы. Этот феномен еще называют «углеводной ямой» [9] [10].
Вот и получается такая картина, при которой организму уже не нужно столько питательных веществ и калорий, сколько привычно было употреблять все эти годы. В результате возникает эффект переедания с профицитом калорий. Как итог, стремительный набор массы за счет подкожного жира.
Внешне такая ситуация вполне может быть расценена, как «перерождение» мышечной массы в жировую. На деле же, просто набираем жирка!
Итог: Набранных килограммов в виде жира не будет, если учесть меняющиеся условия и слегка ограничить питание.
Друзья, фитнес мифом можно назвать любое не логичное высказывание о тренировках и питании. Впереди много разборов интересных историй с точки зрения науки.
Глава 5
«День ног? Нет, я лучше пропущу. Зачем тренировать ноги?»
Может многие не поймут, что вообще за название такое. Почему вообще можно что-то не любить делать и почему именно тренировку ног.
Присмотритесь получше, кто активно посещает тренажерный зал. Наверняка вы знакомы с теми, кто тренируется вместе с вами. Вы часто пересекаетесь на тренировках, и вы имеете возможность понаблюдать за тренировочным режимом ваших знакомых. Часто так бывает, что тренировку ног намеренно делают более легкой. Обыватель спросит: «Почему»? На самом деле, все значительно проще, чем кажется. Сейчас расскажу.
Исходя из статистических данных, тренировки с отягощениями предпочитают далеко не все, кто понимает их полезность и необходимость. В Москве эта цифра находится около 40 %, в Санкт-Петербурге около 30 %, в регионах ситуация хуже – от 15 % до 20 % [11]. И, хотя, тенденция к увеличению приверженцев фитнес тренировок растет, так ли все хорошо на деле?
Как вы думаете, почему не все те, кто понимает необходимость регулярных занятий оздоровительным фитнесом посещают тренажерные залы и фитнес студии? Дело в банальном не желании работать тяжелыми весами. Сразу оговорюсь, что под «тяжелыми» весами я имею в виду корректные по тяжести нагрузки, которые будут соответствовать 60–70 % от максимальных. Такие нагрузки и будут оздоровительными.
Самый главный конкурент и враг всех фитнес клубов – Лень.
Так вот, что считать тяжелыми упражнениями и почему некоторые тренировки воспринимаются легче, несмотря на одинаковое количество упражнений. Все дело в величине мышц, задействованных во время тренировки и в характере упражнений на эти мышцы.
Самые крупные мышцы в теле – это Ноги: бедра, голени и ягодицы. Вторая по величине мышечная группа – это мышцы Спины. Остальные мышечные группы менее массивные.
Как вы уже поняли, массивные мышечные группы достаточно тяжело и энергозатратно тренировать в высоком качестве. Но, дело не только в величине мышц, но и в характере упражнений. Самые тяжелые и энергозатратные упражнения как раз приходятся на тренировку ног и спины.
К примеру, возьмем тренировку груди и спины. Как выдумаете, какое упражнение будет для организма тяжелее: жим штанги лежа или тяга штанги в наклоне к поясу?
В обоих упражнениях штанга и возможность корректировать вес снаряда. Казалось бы, ощущения от упражнения должны быть одинаковыми, но, разница все же есть. Догадались?
Жим штанги лежа на горизонтальной скамье – это Региональное упражнение, в котором спортсмен занимает удобное положение на снаряде. Иными словами, комфортно ложится на лавку.
Тяга штанги в наклоне – упражнение Глобального характера, в котором есть только снаряд и спортсмен.
Только представьте, какое количество параметров для контроля будет у спортсмена, который делает тягу штанги:
• Положение тела в пространстве;
• Углы в тазобедренном и коленном суставах;
• Удержание тела в необходимой позиции наклона;
• Контроль за дыханием;
• Удержание тела в наклоне от желания распрямиться (обязательно возникнет желание выпрямиться при выполнении упражнения);
При такой технике в упражнении включаются гораздо больше мышечных групп, чем в упражнении Жим штанги лежа (упражнения в позиции лежа, сидя, полусидя всегда воспринимаются легче).
При равном количестве подходов и повторов энергия на их выполнение будет расходоваться по-разному.
Тот же принцип действует и в отношении тренировки ног. Упражнения с активным задействием мышц ног являются самыми энергозатратными и тяжелыми из всех упражнений с отягощениями. Вы все прекрасно знаете их:
Приседания со штангой и с гантелями;
Выпады и их вариации;
Тяга гантелей и штанг;
Жим ногами в тренажере.
В нижних конечностях человека 25 средних и больших по величине мышц [12]. В тот или иной промежуток времени, во время выполнения упражнения в ногах одновременно работают от 20 до 25 различных мышечных групп, не говоря уже про мышцы, которые в этот момент выполняют функцию стабилизаторов положения тела в пространстве.
Вот и посудите сами, многие не хотят выполнять упражнения на ноги из их сложности, тяжести и энергозатратности. Такие упражнения будут вызывать самые яркие эмоции, сильнее утомлять и будут вызывать самый сильный адаптационный сдвиг в организме. Восстановление после таких упражнений притекает дольше обычного, и часто сопровождается болезненными ощущениями в ногах, что говорит о сильной нагрузке на мышечно-связочный аппарат, эндокринную и нервную системы.
Заметьте, тренировать ноги совершенно необходимо по нескольким причинам.
Причина № 1: чистая техника в сложных, глобальных упражнениях на ноги – крепкие мышцы ног, спины и туловища – тонус мышц, окружающих позвоночник – поддержка для него!
Причина № 2: Тонус мышц ног – хорошо развита сосудистая сеть в ногах – корректный венозный отток, хорошая капилляризация мышц ног – здоровье сердечной мышцы и системы кровообращения. Заметьте, что при упоминании здоровой сердечно-сосудистой системы просто необходимо иметь тренированные ноги. Ноги – это почти 50 % сосудов в теле человека. При отсутствии нормального тонуса в ногах начинается жировая дистрофия мышц (замена части мышечных волокон жировыми клетками). Мышцы приобретают черты Мраморного мяса.
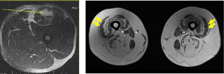
Посмотрите на срез бедра, который сделан с помощью МРТ.

Слева – нормальная, тонусная мускулатура в бедре, справа – жировое перерождение мышц (мышцы просто отсутствуют). Нормального кровообращения в таких мышцах просто не будет, так как мышц нет. Скорее всего будет варикоз. Жировая мышечная дистрофия не редкость, когда речь идет о полном отсутствии нагрузки (она должна быть!) на скелетную мускулатуру.
Причина № 3: Тонус мышц ног – активная работа лимфатической системы – отсутствие застойных процессов в ногах, отсутствие отеков и лишнего веса – контроль за фигурой и крепкий иммунитет.
Причина № 4: Эстетический аспект тренированных ног – мотивация для тонуса остальных мышц в теле.
Вообще, я бы просто перестал думать насчет такой надуманной проблемы, как тренировать ноги. Полюбите тренироваться чуть тяжелее, чем обычно, выполнять сложные упражнения для мышц ног. Пользы от такой тренировки будет великое множество и одежда начнет «сидеть» гораздо лучше.
Глава 6
«Красные флаги в фитнесе. О чем стоит знать?»
Страх – не лучший партнер на тренировке, но необходим, как сторонний наблюдатель. Именно отсутствие умеренного в адекватной степени страха и толкает людей на безумные поступки на тренировках, которые приводят к определенным последствиям.
Сесть за написание этой главы для меня не означает, что я хочу нагнать жути в данный раздел. Дело в том, что в любом, даже в самом простом деле есть определенные правила игры, ограничения и предостережения. Всеми любимый «Авось» будет не уместен, когда речь зайдет о тренировках. Ведь, на кону здоровье и долголетие.
В тренировках обязательно будут присутствовать «Красные флаги», которые представляют из себя ограничения и предостережения.
Итак, давайте начинать. Это будет интересно.
№ 1: Найди тренераНе рассчитывай только на свои силы. Тренировки с отягощениями – это достаточно сложный процесс со своими нюансами и тонкостями. Какова вероятность, что ты обладаешь достаточным количеством знаний, которые помогут тебе прогрессировать и уберегут от травм? Скорее всего, знаний либо очень мало, либо вообще нет. Профессиональный тренер обязан глубоко знать анатомию и физиологию. Разбираться в вопросах построения сбалансированного питания и знать все о нутрицевтиках. Наиболее продвинутые тренеры обладают знаниями в вопросах реабилитологии и могут помочь с проблемами опорно-двигательного аппарата. Не стоит забывать про мотивацию, которая имеет свойство пропадать. Тренер, который находится на своем месте умеет зажечь искру и вовремя понять, когда следует подбодрить подопечного. Найдите хорошего тренера-наставника. Поверьте, такие водятся среди нас.
№ 2: Забудь про рекорды на первом этапе тренировок!В вопросах построения красивого тела через призму здоровья один из самых главных принципов (я бы даже сказал девизов) гласит так: НЕ ТОРОПИСЬ! Кому нужно красивое тело, если через месяц после начала тренировок возникнет необходимость сделать перерыв из-за травмы? Даже не представляете себе сколько таких героев ходит в тренажерный зал, в надежде на быстрый результат.
Я сейчас говорю именно об усатых и бородатых представителях человечества. Девочки редко занимаются доказательством того, какую большую шкуру они добыли и как долго бежали за мамонтом. Это удел мужчин.
Результат будет гораздо лучше, если подойти к процессу тренировок с горячим сердцем и холодной головой.
Первое, о чем стоит подумать – это освоить чистую технику выполнения упражнений. Техника выполнения определяет качество тела и прогресс в тренировках. Не торопитесь вешать на штангу 100 килограмм и запаситесь терпением. Для того, чтобы связки в мышцах окрепли, на них должно быть воздействие большого веса снаряда в течении длительного времени.
Как известно, связки и сухожилия представляют из себя соединительную ткань, состоящую из преимущественно из коллагеновых волокон I типа. Это фибрилярный, структурный белок, который представляет из себя нити, направленные друг к другу параллельно, с дополнительными поперечными связями между ними [14].
У человека, который не посвящен в тренажерный зал, связки к большим отягощениям просто не готовы. Вот и представьте, что на такую вот не окрепшую связку вешают нагрузку, к которой она просто не готова. Результатом этого всего будет микро разрыв и полный отрыв связок, что является травмой соединительной ткани. Соединительная ткань заживает до 500 дней и никогда не восстановится до первоначального состояния.
Идеальное восстановление связки происходит только на 90 % от первоначального состояния.
После заживления соединительная поврежденная ткань меняется на рубцовую, которая структурно и механически уступает здоровой ткани [14].
Рекорды и большие веса – это всегда травма! Вопрос в том, когда она случится.
Тренируйтесь, друзья и думайте. Удачи.
№ 3: Пляжная обувь на тренировку? Вы серьезно?Да, звучит и правда глупо, а выглядит еще глупее. Просто ужасно, если честно. На тренировку необходимо одевать специальную обувь.
Для каждого типа тренировок подходит своя обувь, или существует много универсальных вариантов.
Для занятий силовыми видами спорта существует специальная обувь. Она называется Штангетки. Это специальная обувь с небольшим каблуком. Сделана из материала средней жесткости. Предназначена такая обувь как раз для силовых тренировок, где присутствует осевая нагрузка на позвоночный столб (в наклоне). Согласитесь, что таких упражнений у нас в арсенале достаточно. Высоту каблука следует подобрать индивидуально, исходя из роста. Так, как моделей и фирм представлено на рынке множество, то подобрать понравившуюся обувь не составит труда.
Тренажерный зал – это место, где все тяжелое. Пальцы на ногах должны быть защищены от возможных травм и падений дисков, гантелей. Если нет желания пользоваться специальной обувью, то обычные спортивные кроссовки тоже подойдут. Едем дальше.
Бегать любят многие, а вот специальную обувь покупать не хотят, а зря. Представьте, что средняя беговая дистанция любителя бега 5 кг. Это около 7000 шагов. Коленный сустав в этот момент берет на себя основную нагрузку. Если при этом обувь подобрана не верно, то нагрузка на стопу может быть распределена неправильно. Как следствие, со временем разовьется один из видов артроза коленного сустава из-за нарушения биомеханики движений (просто представьте себе: 7000 неправильных шагов с ударной нагрузкой. Так 2–3 раза в неделю!). Беговая обувь сделана специально с улучшенной амортизационной функцией для стопы, с усилением поддержки и улучшенной вентиляцией для комфортного бега.
Если что-то делать, то профессионально и с умом!
№ 4: Пить или не пить, вот в чем вопросАлкоголь и тренировки не совместимы – это факт. Хотя, я был свидетелем того, как достаточно крупный спортсмен однажды вечером пришел позаниматься явно в нетрезвом состоянии. Честно говоря, никогда не понимал этой тяги к спиртному. Это мир иллюзий. Хоть и в чем-то интересный, но все же временный. Потом наступает прозрение и пустота. Я называю это состояние: «Счастье взаймы!». Как кредит в банке, только возвращать придется с процентами в виде здоровья.
Тренировка же в состоянии алкогольного опьянения чревата:
• Нарушением и потерей координации (риск травмы).
• Сверхбыстрым утомлением мышц.
• Риском сильного обезвоживания. Этанол, который содержится в алкогольных напитках в разы увеличивает синтез урины. Добавьте к этому потоотделение и вы получите обезвоживание.
• Повышением накопления в мышцах (в том числе и в сердечной) продуктов распада от мышечных сокращений. «Закисление» сердца очень противная штука. Я бы не допускал до этого.
• Увеличением ЧСС, что может привести к чрезмерной нагрузке на сердечную мышцу.
• Нарушением процесса восстановления.
Для восстановления водно-солевого баланса на тренировке подойдет обычная вода средней минерализации или применение специальных напитков, которые называются Изотоники.
Изотоническая или изоосмотическая жидкость в медицине называется так, из-за схожести осмотического давления с плазмой крови. При тренировке пот и моча имеют пониженное осмотическое давление, чем давление плазмы крови. Происходит активное вымывание солей, усиливается вязкость крови, перегружается сердечная мышца.
Активное применение изотонических напитков способствует восстановлению водно-солевого баланса в организме и улучшает восстановление.
Изотонические напитки состоят преимущественно из неорганических солей, магния, калия, натрия и полимеров глюкозы.
Вода и изотонические напитки будут отлично утолять жажду и повысят работоспособность на тренировке.
№ 5: Болею, но все равно пойду заниматься!«Спорт меня вылечит!». Такую фразу я слышал однажды от человека, который достаточно длительное время умудрялся тренироваться с субфебрильной температурой тела 37 градусов. Бил себя пяткой в грудь, что он здоров и все нормально и на все доводы отдохнуть реагировал жестким отказом.
Для понимания влияния физических нагрузок на течение заболевания надо выяснить характер самой болезни. Тот факт, что умеренные физические нагрузки, направленные на оздоровление организма будут повышать защитные свойства, активизируя иммунную систему, всем известен.
Действительно, тренируйтесь правильно и будет вам счастье.
Что такое правильная, с точки зрения здоровья тренировка?
Все очень просто:
• Интенсивность тренировок (тяжесть отягощений) не более 70 % от максимально возможных показателей.
• Разнообразие тренировочного процесса: использование свободных весов, тренажеров и различных аксессуаров.
• Включение в тренировочный процесс координационных элементов.
• Наличие упражнений с весом собственного тела необходимы для оптимизации нагрузки.
• Наличие разминки и заминки в начале и в конце тренировки.
Отсутствие понятия Overtraining session – тренировки «в отказ». Полное истощение организма из-за слишком тяжелой тренировки.
• Наличие кардио тренировок в тренировочном недельном цикле.
Пришел, позанимался, почувствовал нагрузку, получил удовольствие, вспотел и остался доволен. Вот так и должна выглядеть оздоровительная тренировка.
Если простуда все же добралась до вас, то стоит серьезно задуматься о целесообразности похода в тренажерный зал. Речь не идет о простом першении в горле или наличии легкой формы ринита (насморка). При этих симптомах легкая и умеренная нагрузка, в виде тренировок умеренной интенсивности или разминочного кардио вполне подойдут, и, даже будут способствовать ускорению выздоровления из-за ускорения процессов организма.
Наличие лихорадочного состояния и повышенной температуры тела является абсолютным противопоказанием для проведения любой тренировки.
Такое состояние свидетельствует о серьезной активизации иммунной системы и повышении защитной функции организма, борьбе с патогенным возбудителем заболевания (вирусом или бактерией). Как известно, осложнение на сердечную мышцу в виде миокардита (воспаление сердечной мышцы) встречается достаточно часто, при несоблюдении периода отдыха во время болезни. Тренировка даже средней интенсивности может способствовать этому. Не стоит испытывать судьбу.
Воспользуйтесь правилом Трех дней. К легким тренировкам следует приступить только через три дня после последнего подъема температуры. Под легкими тренировками я имею в виду оздоровительную прогулку, легкое кардио или тренировку на тренажерах, равную 40–50 % от ваших максимальных возможностей.
Хотите иметь хороший иммунитет? Тогда не убивайтесь на тренировках. Изнуряющие нагрузки вызывают мощную стресс-реакцию организма.
Стресс-реакция вызывает транзиторный иммунодефицит, который проявляется в виде повышения респираторной заболеваемости и ухудшении сопротивляемости иммунной системы [15–16].
Я не перестану повторять: Тренируйтесь с умом!
№ 6: Фитнес-ролики в интернете вместо тренера!Сейчас в интернете можно найти все что угодно. Глобально, можно вообще не выходить из дома. Работа, развлечения и еда сейчас легко доступна в интернете. То же самое можно сказать и про ролики о том, как, где и зачем тренироваться.
Зачем вообще человек начинает заниматься фитнесом и спортом? Только не надо говорить мне про эго. Факт наличия карточки фитнес клуба в кошельке для хвастовства оставим для бульварных романов и сериалов.
Человек идет на спорт для удовлетворения потребностей, среди которых:
• Эстетическая потребность в красивой фигуре.
• Устранения дискомфорта и болей в теле, в связи с патологиями движений и мышечным бездействием.
• Элементарная потребность в ежедневной активности.
• Социальный аспект.
• Популярный тренд.
Теперь поставьте на противоположную чашу весов невозможность выполнить все эти цели из-за срыва и появившихся проблем, в связи с некачественным подходом к процессу занятий. Ранее, я уже писал про необходимость начать тренировочный процесс с профессиональным тренером, который сможет увлечь, мотивировать, поставить корректную технику, контролировать процесс и вовремя заподозрить негативные изменения, если таковые будут, в силу индивидуальных особенностей.

