
100 великих загадок современной медицины

Анофелесы (малярийные комары), переносчики паразитов, широко распространены
Разумеется, лучший способ борьбы с инфекционными болезнями – вакцинация. С ранних лет прививки защищают нас от опасных недугов. Вот только возбудителями малярии являются не вирусы и бактерии, а одноклеточные паразиты. Пока же в распоряжении врачей нет ни одной надежной вакцины против болезней, вызываемых ими.
Жизненный цикл тех же плазмодиев очень сложный. Создавая вакцину, трудно найти у них «уязвимое место». В начале 2010-х годов в разных странах велись испытания около сотни кандидатов в вакцины против малярии. Однако пока они не привели ни к чему. Главная проблема в том, что антигены плазмодиев, на которые должна реагировать иммунная система, очень быстро меняются.
И все-таки в 2015 году забрезжила надежда. Она была связана с вакциной, получившей название RTS,S, – та содержит определенный протеин плазмодия, поэтому сразу после прививки иммунная система человека активизируется. Атакует плазмодиев, когда те только проникли в организм и еще не успели добраться до печени.
Вакцина особенно эффективна при заражении Plasmodium falciparum — возбудителем тропической малярии, который распространен к югу от Сахары. Проникнув в красные кровяные тельца, он вырабатывает там протеины, благодаря которым эти тельца прикрепляются к стенкам кровеносных сосудов, сужая их. Приток кислорода и питательных веществ к разным частям организма нарушается. Это нередко вызывает тяжелые осложнения, пагубно сказывается на работе центральной нервной системы. Маленькие дети могут впасть в кому.
Почти в 80 % случаев люди, больные малярией, заражены именно тропической малярией. Но все-таки насколько надежна вакцина RTS,S? Пришло ли время массовой вакцинации жителей тех же африканских стран?
Всё начиналось оптимистично. В июле 2015 года Европейское агентство лекарственных средств высказалось за то, чтобы разрешить использование вакцины RTS,S, предназначенной для грудных детей (ее разработка велась с 1987 года). Однако несколько месяцев спустя руководители ВОЗ заявили, что она слишком сложна в применении, а потому нужны дополнительные испытания.
Создание вакцины против малярии оказалось очень непростой задачей; ее решают многие десятилетия. Но столь же сложным получилось и решение. Ведь для того, чтобы ребенок был защищен от малярии, прививку надо делать не единожды, а четырежды: первые три раза с промежутком в месяц, а последний – через полтора года.
С подобной пунктуальностью хорошо делать прививки в Германии или Канаде – там, где не надо бояться малярии. В странах же Черной Африки, страдающих от нее, регулярно вспыхивают гражданские войны, но даже в мирное время медицинское обслуживание налажено из рук вон плохо. В лучшем случае детям в африканской глуши удастся сделать прививку один-два раза. Зачем тогда приступать к вакцинации? Выполненная «против всех правил», она не поможет.
Кроме того, результаты испытаний вакцины оказались отнюдь не блестящими. Почти две трети, а то и три четверти детей, прошедших вакцинацию, все равно болели малярией. Иными словами, надежность вакцины RTS,S составила всего 26–36 %.
Когда в трех случаях из четырех прививка не защищает вас от возбудителя болезни, делать ее все равно что идти под дождь с зонтом, в котором зияет огромная – на три четверти шириной! – дыра. От некоторых капель дождя такой зонт и впрямь защитит.
Руководители ВОЗ предлагают до 2020 года продолжать испытания вакцины RTS,S, охватив ими около миллиона детей в возрасте от 5 до 17 месяцев, чтобы убедиться, например, насколько врачи в Африке могут быть пунктуальными – и, значит, приемлема ли для этого континента сложная схема вакцинации.
В борьбе с малярией ученые прибегают к самым неожиданным стратегиям. Так, в лаборатории японского иммунолога Сигето Ёсида помощниками в этой борьбе стремятся сделать… комаров. Здесь впервые удалось вывести линию генетически измененных малярийных комаров, в чьих слюнных железах вырабатывается вакцина против малярии. Когда такой комар укусит человека, то вместе с плазмодиями и слюной в его кровь попадет вакцина.
Пока это лишь смелая идея, лабораторный эксперимент, который, может, и не будет реализован на практике. Ведь для этого надо пойти на очень большой риск – выпустить генетически измененных комаров в дикую природу. Во многих странах это запрещено. К тому же вооружить комаров нечем. Ни одна испытываемая сейчас вакцина официально не разрешена к применению.
Тем временем ученые разных стран мира продолжают задаваться вопросами и проверять на практике свои идеи. Можно ли какими-то средствами остановить размножение плазмодиев? А можно ли извести малярийных комаров с помощью биологического оружия – бактерии Bacillus thuringiensis israelensis, истребляющей их личинок? Или путем генетических манипуляций изменить микрофлору кишечника малярийных комаров, точнее говоря, изменить живущую в симбиозе с ними бактерию Pantoea agglomerans так, чтобы та выделяла пептид, очень вредный для плазмодиев?
На все эти вопросы еще предстоит дать ответ. Тем не менее недавно на сессии Генеральной Ассамблеи ООН было заявлено, что к 2030 году надлежит полностью победить малярию. Эффективная вакцина должна обеспечить успех.
Так удастся ли одержать победу в борьбе с малярией – вековым проклятием тропических стран? Возможно, ответ на этот вопрос мы получим уже в ближайшие десятилетия.
Туберкулез: опаснее, чем когда-либо
Туберкулез – один из самых страшных недугов, преследующих человечество на протяжении едва ли не всей его истории. В наши дни он остается одним из наиболее распространенных инфекционных заболеваний. По статистике ВОЗ, опубликованной в 2015 году, каждый год около 1,1 миллиона человек во всем мире гибнет от туберкулеза – почти столько же, сколько от СПИДа.
С давних времен туберкулез был спутником бедности. Вот и сегодня он встречается прежде всего там, где уровень жизни невысок, в странах третьего мира. Наиболее высока заболеваемость им в Юго-Восточной Азии и Африке. Очень тяжелое положение сложилось в Индии. По статистике, здесь каждую минуту один человек умирает от туберкулеза. В последние два десятилетия участились случаи заболевания им в странах Восточной Европы и бывшего СССР.

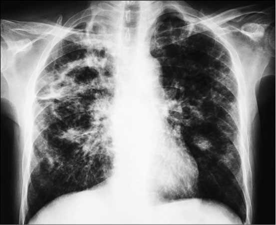
Рентгенограмма грудной полости больного туберкулезом
Возбудителем болезни является бактерия Mycobacterium tuberculosis. Инфекция передается воздушно-капельным путем. По оценке ВОЗ, треть всего населения планеты заражена микобактериями. Однако лишь у 5-10 % инфицированных со временем развивается туберкулез. В основном это люди, у которых по какой-то причине ослаблен иммунитет, или те, кто имеет генетическую предрасположенность к этой болезни. В последние десятилетия туберкулезом особенно часто заражаются ВИЧ-инфицированные люди, то есть люди, страдающие от иммунодефицита.
Итак, в наши дни туберкулезом болеют многие миллионы людей, но выявляют и лечат его по-прежнему по старинке. Для диагностики всё так же, как в XIX веке, используется микроскоп. Для защиты от болезни служит та же вакцина, которую разработали французский микробиолог Альбер Кальметт и его соотечественник, врач Камиль Герен. Впервые она была применена в 1921 году. Ее эффективность невысока. Лечат же туберкулез, как правило, при помощи лекарств, созданных около полувека назад, в период с 1945 по 1970 год. В перечне из 1400 препаратов, появившихся в последней четверти XX века, содержатся лишь три медикамента, предназначенные для борьбы с туберкулезом.
А ведь болезнь значительно изменилась за минувшие полвека! Всё чаще туберкулез не поддается лечению препаратами, которые так эффективно помогали каких-нибудь 40–50 лет назад. Сегодня всё большую опасность представляют собой мультирезистентные штаммы (разновидности) бактерий туберкулеза, с которыми невозможно бороться при помощи антибиотиков.
Разумеется, нам известны разные виды мультирезистентных бактерий, устойчивых к действию лекарств. Антибиотики уже давно стали определять направление эволюции микроорганизмов. Множество их гибнет, другие приспосабливаются к губительным для всех ядам, выживают, сохраняют в организме человека очаг болезни. Вот только выжившие бактерии обычно менее «бодры и энергичны», чем другие. Однако возбудители туберкулеза, наоборот, отличаются особой активностью. По этой причине всё ощутимее множатся случаи заражения ими.
Недавно выяснилось, что бактерии туберкулеза при лечении пациентов антибиотиками укрываются в стволовых клетках костного мозга, чтобы потом, когда концентрация лекарств в организме снизится, выскользнуть наружу и снова расселиться в теле пациента – точно так же люди выбирались бы из своих бункеров после атомной войны, когда опасность радиоактивного заражения миновала бы.
Мультирезистентными бактериями (MDR-TB) человек может заразиться так же легко, как и обычными возбудителями туберкулеза. Вот только лечение в этом случае продолжается не месяцы, а годы. Порой людям, инфицированным ими, приходится принимать одновременно до десятка различных антибиотиков, а это ведет к серьезным осложнениям. По данным ВОЗ, в число 20 стран, где особенно распространены мультирезистентные бактерии туберкулеза, входят 14 европейских государств. Чаще всего случаи заражения ими отмечаются в Китае, Индии и России.
В последнее время появилась еще одна форма болезни – «экстенсивно резистентный туберкулез» (XDR-TB), туберкулез с широкой лекарственной устойчивостью. Как правило, его выявляют у больных СПИДом. В особо тяжелых случаях эта форма болезни вообще не поддается лечению никакими препаратами.
Тем не менее руководители ВОЗ поставили перед собой честолюбивую цель – к 2050 году искоренить туберкулез хотя бы в тех странах, где заболеваемость им низка. Для этого нужны новые препараты, способные победить болезнь не за годы или месяцы, а за несколько дней. Даже небольшие дозы таких лекарств должны уничтожать бактерии, устойчивые к обычным антибиотикам. Наконец, эти препараты должны быть совместимы с теми медикаментами, которые каждый день принимают люди, зараженные ВИЧ-инфекцией. Ведь на сегодня примерно треть из сорока миллионов ВИЧ-инфицированных людей во всем мире больны еще и туберкулезом.
Известно, что возбудители туберкулеза могут выжить, даже став добычей клеток-макрофагов – поглотивших их клеток иммунной системы. Эти бактерии продолжают жить внутри макрофагов, постепенно разрушая их. В своем убежище они чувствуют себя словно солдаты в бункере, надежно защищенные от нашего оружия – антибиотиков. Со временем бункер, поврежденный микобактериями изнутри, ветшает и рассыпается, а сами они, размножившись в своем укрытии, выбираются на свободу. Спастись им помогает миколовая кислота, содержащаяся в стенках их клеток. Для действенной борьбы против туберкулеза нужно лекарство, которое уничтожит микобактерии даже там, где они недоступны для других препаратов – внутри клеток иммунной системы.
Медики нуждаются также в появлении надежных биомаркеров, которые позволят быстро и точно определить, болен человек туберкулезом или нет. Этими «знаками болезни» могут быть характерные показатели крови или генетические особенности пациента. Биомаркеры могут также сообщить, насколько опасна болезнь, не перейдет ли туберкулез в открытую форму, когда больной может стать заразен для окружающих. С помощью надежных биомаркеров можно было бы гораздо быстрее, чем это делается сейчас, определить, как протекает курс лечения, помогают ли больному лекарства, прописанные ему, или же бактерии, которыми он заражен, устойчивы к действию лекарств. Вот только в случае с туберкулезом даже поиск биомаркеров – этих подсказок к задаче, которую решают врачи, – оказывается делом очень трудным. Болезнь слишком коварна, а ее возбудители ведут себя так, словно им даровано бессмертие.
Используемая и поныне противотуберкулезная вакцина, созданная Кальметтом и Гереном, хорошо предохраняет детей, но не может защитить взрослого человека от самой распространенной формы этой болезни – от туберкулеза легких. Иммунологи полагают, что это происходит потому, что под действием вакцины Т-хелперы иммунной системы (Т-хелперы – это клетки, усиливающие иммунный ответ) буквально «замуровывают» возбудителей туберкулеза там, где они проникли в ткань тела и где образовались гранулёмы. Но возбудители болезни лишь изолированы, а не уничтожены. Со временем приобретенный иммунитет может ослабнуть, бактерии «пробудятся» и продолжат свою разрушительную работу. Вот почему люди, которым в детстве была сделана прививка от туберкулеза, став взрослыми, могут заболеть им.
В наши дни в различных лабораториях мира ведутся работы по созданию новой вакцины против туберкулеза, но появится она в лучшем случае в середине следующего десятилетия.
Эбола: новая чума?
Шел 1346 год. Опасность, казалось, была далека. Но именно тогда «на Востоке, в Китае, и Северной Индии, и других областях, которые примыкают к тамошнему побережью, среди людей всякого возраста, мужчин и женщин, стал распространяться мор, – писал флорентийский хронист Виллани. – Всё начиналось с харканья кровью, и вот уже тот умирал сразу, другой же – через два или три дня… Чума надвигалась шаг за шагом, захватывая один народ за другим. Так за год она покорила третью часть Земли, именуемую Азией».
Повествуя о далеких бедствиях, Виллани не знал, что пройдет всего год и коварная болезнь достигнет берегов Европы, где продолжит собирать кровавую жатву.
Всего пару лет назад, в 2014 году, предчувствие новой чумы охватило Европу. Только теперь ее появления ждали не с Востока, а с Юга – из Африки. Казалось, история повторяется. Президент США объявил чуть ли не главной угрозой для человечества именно эту болезнь – геморрагическую лихорадку Эболу (вирус, вызывающий ее, назван в честь реки Эбола в Заире, где он был впервые выделен после вспышки в 1976 году).
Ситуацию, сложившуюся в Западной Африке, многие сравнивали тогда с трагедией, пережитой Европой в 1347–1352 годах. В Гвинее, Либерии, Сьерра-Леоне люди были так же не готовы к встрече с беспощадной болезнью, как и средневековые жители Италии и Франции.
В Европе в XIV веке всего за пять лет чума унесла жизни 25 миллионов человек. В Африке в 2014-м смертность от «новой чумы» – Эболы – стремительно нарастала. В июле от нее умерли 350 человек. К концу октября число умерших превысило уже 5000 человек, а число заболевших достигло 10 тысяч человек. При этом, зная реалии африканского быта, можно было уверенно сказать, что цифры были гораздо выше. Многие больные, живущие в отдаленных сельских районах, а также нищие, бездомные, обитатели трущоб болели и умирали, не обращаясь к врачам.

Выявление симптомов Эболы в Сьерра-Леоне
К концу года, прогнозировали тогда сотрудники ВОЗ, число инфицированных должно было достичь 20 тысяч человек, а по расчетам ученых из Колумбийского университета, даже 200 тысяч человек. В те дни специалисты в страхе обсуждали, удастся ли остановить болезнь.
Вирус Эболы в самом деле сродни оружию массового поражения. Иммунная система человека не в состоянии правильно среагировать на его появление в организме. Как следствие, высокая температура, рвота, диарея, внутренние кровотечения. Нормальная работа внутренних органов нарушается. Если не оказать квалифицированной помощи, то 9 из 10 пациентов умирают.
Средневековые хронисты, перечислявшие ужасы чумы, называли те же симптомы, что характерны для Эболы. Еще в 2001 году ученые из Ливерпульского университета Кристофер Данкан и Сьюзен Скотт, задумавшись о том, как схожи клинические картины двух заболеваний, предположили, что болезнь, известная жителям Флоренции эпохи Боккаччо под названием «чума», на самом деле была Эболой или какой-то другой геморрагической лихорадкой.
Разумеется, это лишь гипотеза – тем более шаткая, что несколько лет назад ученые, обследуя средневековое кладбище в Лондоне, где были похоронены жертвы чумы, выделили ДНК бактерии Yersinia pestis.
Но почему не предположить, что европейцы тогда стали жертвами рокового стечения бед. На их мир с двух концов света обрушились одна за другой две эпидемии. И те, кто не был сражен чумой, пришедшей с Востока, умер от Эболы, перекинувшейся на Европу с арабского Юга?
Вовсе не случайно чума обрушилась на Европу именно в XIV веке, и не случайно эпидемия Эболы началась в Западной Европе в 14-м году. Дело не в магии «рокового числа» 14, а в том, что в обоих случаях, и тогда, и теперь, население было очень ослаблено физически, подчеркивает немецкий историк Рольф Вальтер.
В начале XIV века в Европе изменился климат. Снова и снова приходили суровые зимы, а в холодные летние месяцы тянулись нескончаемые дожди. Уже в 1315–1317 годах наступил «Великий голод». Доведенные до отчаяния люди питались тогда разными кореньями, растениями, не пригодными для пищи, и околевшими животными.
Такой же тяжелой была жизнь людей в последние десятилетия и в странах Западной Африки. На протяжении многих лет здесь шли гражданские войны, царила коррупция, изводила людей нищета. В 2013 году Всемирный банк включил Либерию и Гвинею в число десяти самых бедных стран мира.
В Гвинее средний доход человека составлял 380 евро – в год. В Либерии и того меньше – 295 евро. На 4 миллиона жителей в Либерии приходилось, по данным на 2014 год, всего… 44 врача. Большинство людей, получивших медицинское образование, бежали из своей страны в США, когда началась гражданская война.
С началом эпидемии в Западной Африке, отмечали наблюдатели, во многом повторялось то, что Европа пережила почти семь веков назад. Эбола принесла хаос. Пришло время сажать рис и кассаву, основные местные продукты, но никто не вышел на поля, всех охватил страх. При этом большая часть людей в этих странах питается тем, что удастся вырастить самим. Рынки же, где в другое время можно было купить овощи, фрукты, мясо, спешно закрылись. Вслед за эпидемией наступила гуманитарная катастрофа. Резко упал ВВП стран, затронутых Эболой.
В разгар эпидемии 2014 года ожидали даже глобальной экономической катастрофы. В Западной Африке ведь традиционно работает много выходцев из Индии. Когда началась эпидемия, тысячи их засобирались домой, но там всем пришлось проходить карантин. Страшно даже подумать, что было бы, если бы в такой многонаселенной и – в немалой степени – нищей стране, как Индия, началась эпидемия Эболы!
В наши дни вирусам Эболы, отмечают специалисты, проще распространяться, чем чумным бактериям в Средние века. Этому способствует высокая плотность населения. В трущобах африканских и индийских городов, переполненных людьми, инфекционная болезнь, отличающаяся высокой агрессивностью, будет распространяться, как огонь в степи. Лишь с помощью многочисленных врачей и волонтеров из Америки и Европы, как показала недавняя практика, можно остановить бедствие.
Но что будет с миром, если ведущие промышленные страны сами вдруг, по какой-то причине, например из-за атак террористов, окажутся в кризисе и им будет не до помощи тем странам Африки и Азии, где вспыхнет новая страшная эпидемия? Бедствие тогда станет глобальным.
В последние десятилетия медики уделяли слишком мало внимания инфекционным заболеваниям – не создавали новых лекарств, не разрабатывали вакцины. Не случайно борьба с Эболой велась по принципу «Пока гром не грянет…». Как только разразилась эпидемия (а ранее Эбола пугала лишь отдельными вспышками), фактически начались и работы по созданию вакцины против этой болезни. До этого деньги на исследования экономили. А зря! Ведь одна из главных задач новейшей медицины – это защита от грядущей пандемии, которая охватит весь мир и может унести миллионы жертв.
Пока опасность миновала. Жертвами скоротечной эпидемии стали 11 300 человек – почти каждый второй заболевший. Но ведь это наверняка не последняя вспышка заболеваний Эболой на Африканском континенте. Рано или поздно коварный вирус напомнит о себе.
В принципе в июле 2015 году руководители ВОЗ сообщили, что вакцина против Эболы практически создана. Однако ее вирус быстро мутирует, причем при массовом заболевании Эболой скорость его мутации примерно вдвое выше, чем обычно. Так удастся ли предотвратить новую эпидемию?
Как защититься от тропических болезней?
В последние десятилетия в странах Азии, Африки и Латинской Америки были выявлены многие неизвестные прежде возбудители инфекционных болезней, а область распространения других – из-за глобального потепления – заметно расширилась. Опасность может подстерегать теперь даже там, где о ней прежде не знали. Популярность туризма, в том числе отдыха в тропических странах, лишь способствует распространению редких инфекций. В этих странах почти половина всех пациентов больны каким-либо инфекционным заболеванием.
Их возбудители, как правило, переходят к человеку от животных. Зачастую те являются лишь переносчиками вирусов или других болезнетворных микроорганизмов, а если и болеют, то в легкой форме. Зато при контакте с человеком, тот может заразиться от «этой милой зверюшки» – обезьянки, собачки – и тяжело заболеть. Нередко возбудителей заболеваний переносят от животных к человеку кровососущие насекомые.
Например, комары являются переносчиками вируса желтой лихорадки – болезни, которая свирепствовала в Западной Африке вплоть до XX века. Во времена работорговли эту лихорадку вместе с невольничьими кораблями завезли в Новый Свет. В конце XIX столетия массовые заболевания ею едва не сорвали строительство Панамского канала.
В наши дни эта болезнь отступила. Но и теперь достаточно одного подозрения на желтую лихорадку, чтобы отправить человека в изолятор. Ведь, несмотря на успехи современной медицины, смертность от этой болезни по-прежнему высока (20–50 %).

Плакат, предупреждающий об опасности лихорадки денге
В последние годы много говорят о лихорадке денге – еще одном остром вирусном заболевании, которое переносится комарами. Во многих областях Африки и Центральной Америки она потеснила малярию в списке самых распространенных тропических болезней. По данным ВОЗ, ни одно из заболеваний, переносимых комарами, не распространяется так стремительно, как лихорадка денге. Ведь, в отличие от малярийных комаров, комары, передающие эту болезнь, приспособились жить в крупных городах. Урбанизация в странах третьего мира способствует ее распространению. Во всем мире каждый год ею заражаются около 400 миллионов человек. Примерно 25 тысяч человек ежегодно умирают от нее. Всего, по оценке ВОЗ, около 2,5 миллиарда жителей планеты проживают там, где есть риск заболеть этой лихорадкой.
Название «денге» происходит от искаженного английского слова dandy, «франт». Оно дано этой болезни за «походку франта» – особую раскачивающуюся походку, которая присуща больным, страдающим от сильных мышечных болей. Туристы, доведись им заболеть классической лихорадкой денге, часто не обращают внимания на эти симптомы, в том числе на головные боли, ломоту в мышцах, поэтому, вернувшись домой, даже не идут к врачу. При геморрагической форме лихорадки денге (она наблюдается у каждого тридцатого, заразившегося вирусом) смертность достигает 50 %.
До недавнего времени в Европе этой лихорадкой и верно болели лишь туристы. Однако жарким летом 2010 года были отмечены случаи заболевания ею в Южной Франции и Хорватии. Осенью 2012 года свыше 1300 человек заболели ею на острове Мадейра. Дело в том, что из-за климатических изменений область обитания комаров, переносчиков лихорадки, расширяется и охватывает теперь южные области Европы.
В будущем положение только ухудшится. Лихорадка денге распространится в Южной Германии, Франции и Венгрии. К 2040 году здесь будет отмечаться до 10 случаев заболевания на 100 тысяч человек. В тех районах Европы, где ею болеют уже сейчас, будут вспыхивать эпидемии лихорадки денге. Зонами высокого риска окажутся адриатическое побережье, южные районы Испании, а также долина реки По в Италии. Европейцы станут «легкой добычей» для вирусов, возбудителей этой болезни, ведь их иммунная система не готова к встрече с ними, У них нет естественного иммунитета к этой лихорадке.
На эту болезнь похожа и лихорадка чикунгунья, также имеющая вирусную природу. В середине 2000-х годов ее вспышки наблюдались на островах Индийского океана – Реюньоне, Маврикии, Мадагаскаре, а также в Индии; в 2007 году – на севере Италии (болезнь была завезена из Индии). В последнем случае было госпитализировано около 200 человек. В 2014–2015 годах лихорадка стремительно распространилась в странах Карибского бассейна и Южной Америки. Угрожает она и Южной Европе. Эта болезнь редко приводит к смертельным исходам, но длится месяцами. У пациентов сильно ломит суставы и кости.

