
Поговорим о рассеянном склерозе. Семь шагов к преодолению болезни
Мишель О’Донохью – доцент кафедры медицины в Гарвардской медицинской школе, практикующий терапевт и кардиолог в Бригамовской и Женской больнице (Бостон). Получила медицинское образование в Колумбийском университетском колледже терапии и хирургии в Нью-Йорке, а затем степень магистра в области организации здравоохранения в Гарвардской школе здравоохранения. Участвовала во многих международных рандомизированных клинических исследованиях, опубликовала ряд статей в ведущих медицинских журналах. В 2010 году у Мишель диагностировали рассеянный склероз; вскоре после этого она перешла на образ жизни, рекомендованный программой ПРС. С тех пор у нее не было клинических обострений.
Об авторах
ДОКТОР БРЭНДОН БИБЕР,
невролог, специалист по рассеянному склерозу в Южнокалифорнийском медицинском объединении Permanente. Автор ряда публикаций об эпидемиологии рассеянного склероза; участвовал в клинических исследованиях по терапии рассеянного склероза. Публикует на YouTube видео о рассеянном склерозе, ведет блог в Twitter[4] о новостях в исследовании рассеянного склероза (@Brandon_Beaber). Живет в Лос-Анджелесе с женой и двумя детьми.
ДОКТОР ВИРДЖИНИЯ БИЛЛСОН,
бакалавр медицины и хирургии, окончила Мельбурнский университет в 1973 году, после чего специализировалась на патологии. Работала патогистологом в Центральном госпитале для ветеранов вооруженных сил, Королевской Мельбурнской больнице, больнице Мерси, Королевской женской больнице, в последней возглавляла отделение патологической анатомии в 1995–1999 годах. В 1996 году у нее диагностировали ремиттирующий рассеянный склероз; следование философии и принципам ПРС помогает ей сохранять стабильное состояние.
ДОКТОР АННЕТ КАРРУТЕРС,
кавалер ордена Австралии, врач общей практики в клинике Лейк-Макуари в Новом Южном Уэльсе, приглашенный старший преподаватель в Школе медицины и здравоохранения Университета Ньюкасла. Состоит в советах ряда учреждений в различных областях, включая финансовое обслуживание, здравоохранение, инфраструктуру и уход за пожилыми. В прошлом занимала должность президента некоммерческой организации MS Australia[5]. Аннет присоединилась к программе ПРС в 2001 году. За заслуги перед пациентами с рассеянным склерозом доктор Каррутерс в 2021 году получила звание члена кавалерского ордена Австралии.
ДОКТОР СЭМ ГАРТЛАНД,
врач общей практики в Новом Южном Уэльсе, организатор выездных тренингов ПРС. У Сэма диагностировали рассеянный склероз в 2008 году; в настоящее время его состояние стабильно благодаря следованию программе ПРС.
ДОЦЕНТ КРЕЙГ ХАССЕД,
кавалер ордена Австралии, координатор программ осознанности в подразделениях Университета Монаша. Основал и возглавлял ассоциацию Meditation Australia, регулярно выступает в СМИ, автор 13 книг. Соавтор двух популярнейших в мире бесплатных онлайн-курсов осознанности. В 2019 году удостоен медали кавалерского ордена Австралии за заслуги в области медицины.
ГРЕГОРИ ХЕНДРОН,
46 лет, юрист, живет в Северной Ирландии с женой Кэролайн и двумя маленькими детьми, Даррой и Ронаном. В мае 2010 года у него диагностировали рассеянный склероз, а уже в июне 2010 он присоединился к программе ПРС. Грег играл и продолжает играть ведущую роль в развитии сообщества ПРС в Северной Ирландии.
РЕБЕККА ГУВЕР
получила степень бакалавра наук в области бизнеса в Карлсоновской школе менеджмента в Университете Миннесоты, где также училась по программе MBA и в докторантуре. Работала менеджером по финансам и информационным технологиям и консультантом в ряде малых и средних международных организаций. В настоящее время вице-президент юридической компании, специализирующейся на социальной справедливости. В 1991 году у Ребекки был диагностирован рассеянный склероз; в конце 1990-х она начала соблюдать диету Суонка при рассеянном склерозе, а в 2007 году присоединилась к программе ПРС.
ДОКТОР РЭЧЕЛ ХАНТЕР,
мать двоих детей, сертифицированный клинический психолог и старший преподаватель клинической психологии в Университете Суонси в Уэльсе. Рэчел присоединилась к Программе ПРС сразу же после того, как в 2012 году у нее диагностировали рассеянный склероз.
ДОКТОР ПИЯ ЙЕЛИНЕК получила медицинское образование в Университете Нотр-Дам во Фримантле, который окончила в 2016 году. Четыре года проработала в больницах, сейчас она семейный врач в Перте. Пия опубликовала пять работ о профилактике рассеянного склероза, участвовала в организации выездных тренингов ПРС в Австралии и имеет большой опыт совместной жизни с приверженцем Программы ПРС (ее отцом Джорджем).
ДОКТОР КОНОР КЕРЛИ
получил диагноз «рассеянный склероз» в пятнадцатилетнем возрасте, после трех тяжелых обострений в течение девяти месяцев. Собственное заболевание вдохновило его стать нутрициологом. Сотрудничает с рядом университетов и центров здравоохранения в Ирландии и США, публиковался в международных рецензируемых медицинских журналах, автор 12 исследований о роли витамина D в терапии рассеянного склероза. Спустя 18 лет после постановки диагноза Конор живет без симптомов, без обострений и без лекарств.
ДОКТОР ХЭЗЕР КИНГ,
врач общей практики в Окленде, Новая Зеландия. Участница выездных тренингов ПРС, жена, мать, врач, любит верховую езду, садоводство и в целом жизнь. Хэзер присоединилась к Программе ПРС в 2004 году.
КАРЕН ЛОУ,
исполнительница и автор песен, преподавательница игры на гитаре из Саншайн-Кост, штат Квинсленд. Приобщилась к образу жизни ПРС после диагноза в 2010 году. В прошлом журналистка, стала соавтором книги «Выздоровление от рассеянного склероза: реальные истории из жизни, дарящие надежду и вдохновение»[6] вместе с Джорджем Йелинеком и выполняла ряд волонтерских задач в фонде ПРС. У нее есть муж Дэвид и трое детей.
ДЖЕК МАКНОЛТИ
бо́льшую часть жизни занимается изучением продуктов питания и кулинарией. Он работал с шеф-поварами элитных ресторанов в Швейцарии, Италии и Франции, руководил собственной кейтеринговой компанией и кулинарной школой. Предоставил ряд рецептов и другую информацию для сайта ПРС. Один из авторов и редакторов кулинарной книги Программы «Преодоление рассеянного склероза»[7]. С 2009 года следует образу жизни, рекомендуемому ПРС.
ДОКТОР ФИЛИП СТАРТИН,
получив докторскую степень по физике, более 20 лет работал консультантом по вопросам управления в консалтинговой компании Price Waterhouse. С 2014 года ведет курс «Снижение стресса на основе осознанности». Координатор фонда ПРС, попечитель фонда MS-UK[8], в настоящее время работает над вариантом упомянутого курса, приспособленным для людей с рассеянным склерозом. У Фила в 2007 году был диагностирован первично-прогрессирующий рассеянный склероз; он присоединился к программе ПРС в 2012 году и участвовал в первом выездном тренинге ПРС в Великобритании в 2013 году.
ДОКТОР КЕРИН ТЕЙЛОР,
психиатр с клиническим опытом в нейропсихиатрии, психоонкологии и перинатальной психиатрии. Почетный старший научный сотрудник по клиническим исследованиям в нейроэпидемиологическом отделении Мельбурнского университета, координатор выездных тренингов ПРС. Рассеянный склероз у Керин диагностировали в 2005 году, в том же году она присоединилась к программе ПРС, и с тех пор ее состояние остается стабильным.
ДОКТОР ДЖОНАТАН УАЙТ,
британский акушер-гинеколог, специализируется на беременности раннего срока и прерванной беременности. Содействует фонду ПРС в качестве медицинского консультанта и координатора мероприятий. Живет и работает на северном побережье Северной Ирландии, живет с женой и двумя сыновьями, любит отдых на природе, велосипедные прогулки, регби, чтение и кино. Он присоединился к программе ПРС в 2015 году, через неделю после того, как узнал о своем диагнозе.
ДОКТОР СТЮАРТ УАЙТ
на постоянной основе работает консультантом по анестезиологии в Брайтоне, Великобритания. Опубликовал ряд исследований по различным вопросам, включая медицинское законодательство и этику, лечение перелома шейки бедра, а также по проблемам окружающей среды. В 2010 году, в сорокалетнем возрасте, у него диагностировали рассеянный склероз, а с 2016 года он с энтузиазмом следует программе ПРС.
Часть I
Основные понятия
1. Определение рассеянного склероза
Доктор Брэндон Бибер
Обратитесь за помощью и найдите свой путь через то, что на первый взгляд кажется непроходимыми дебрями: туман скрывает прекрасные цветы.
Кристин Нолан, Белмонт, Австралия,участница программы ПРС
Она выглядит уверенно, всем своим видом будто говоря мне: у нее полно дел и без того, чтобы сидеть у меня в кабинете. Покалывание в левой руке беспокоило ее всего неделю, даже меньше, и не помешало ни одному занятию на велотренажере или совещанию в Zoom. Ей двадцать четыре, она подтянутая, современная и честолюбивая. Руководит собственной компанией – консультант по поисковой оптимизации сайтов. Она объездила полмира, имеет знакомства в высших кругах, а ее этническую принадлежность вы не определите даже с пятой попытки. У нее курчавые волосы с профессиональным мелированием, сумочка Louis Vuitton и костюм, который стоит дороже, чем весь мой гардероб. Идеальный образец состоятельной и состоявшейся миллениалки – академический интеллект и житейская хватка, предприимчивость и готовность к риску при жесткой внутренней дисциплине, позволяющей работать семьдесят часов в неделю.
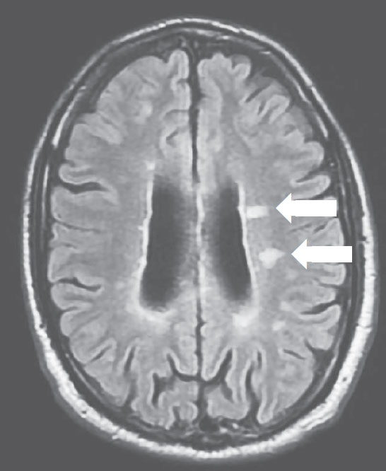
Оньека (имя героини и некоторые обстоятельства ее жизни изменены в целях защиты личных данных) меняется в лице, когда я показываю ей снимки магнитно-резонансной томографии, МРТ (рис. 1.1, 1.2).
Она спрашивает: «Почему это выглядит так жутко, ведь симптомы исчезли и были незначительны? Снимки МРТ точно мои? Что за таинственная болезнь и что со мной будет?»

РИСУНОК 1.1. ГОЛОВНОЙ МОЗГ ОНЬЕКИ, СНИМОК МРТ В РЕЖИМЕ T2-FLAIR, АКСИАЛЬНАЯ ПРОЕКЦИЯ. ОЧАГИ РАССЕЯННОГО СКЛЕРОЗА – НЕБОЛЬШИЕ БЕЛЫЕ ОБЛАСТИ, ОТМЕЧЕННЫЕ СТРЕЛКАМИ

РИСУНОК 1.2. ШЕЙНЫЙ ОТДЕЛ ПОЗВОНОЧНИКА ОНЬЕКИ, СНИМОК МРТ В РЕЖИМЕ T2-STIR, САГИТТАЛЬНАЯ ПРОЕКЦИЯ. ОЧАГИ РАССЕЯННОГО СКЛЕРОЗА ОТМЕЧЕНЫ СТРЕЛКАМИ
При словах «рассеянный склероз» люди, незнакомые с этим заболеванием, сразу представляют мрачные картины инвалидных колясок и интернатов для недееспособных. Но на самом деле среди моих пациентов гораздо чаще встречаются такие, как Оньека. Самое сложное в рассеянном склерозе – страх и неуверенность в будущем, которые он вызывает. Как бы мне ни хотелось, я не могу с точностью предсказать ход развития ее РС, не могу я и дать ей какие-либо гарантии. Однако Оньека не из тех, кто будет сидеть и жалеть себя; она выдает мне целый список вопросов, причем таким безапелляционным тоном, что я мог бы оскорбиться, если бы не обстоятельства. Моя пациентка ищет то, что в психологии называется «внутренним локусом контроля», и хочет узнать, что она может сделать, чтобы повлиять на ситуацию в лучшую сторону. Учитывая, что вы взяли в руки эту книгу, я предполагаю: вы настроены схожим образом.
Некоторое время назад я задался целью прочесть все существующие книги об образе жизни при РС, чтобы затем подготовить и написать собственную, которая превзошла бы всё опубликованное ранее. Я хотел, чтобы она строилась на систематических исследованиях, а не на выборочных наблюдениях; чтобы она была актуальной и научно обоснованной. Но когда я прочел «Преодоление рассеянного склероза» профессора Йелинека, то был вынужден признать, что меня опередили. Насколько я могу судить, рекомендации Йелинека опираются на самые веские доказательства, а потому я последовал популярному совету: «Не можешь победить – присоединись». И вот я с гордостью представляю вам дорожную карту, которую предлагает эта книга, чтобы вы смогли встретить диагноз «рассеянный склероз» смело, целеустремленно и мудро.
ЧТО ТАКОЕ РАССЕЯННЫЙ СКЛЕРОЗ?Задача книги – рассмотреть роль образа жизни в развитии и терапии рассеянного склероза, однако начать мы должны с общих сведений. Рассеянный склероз – необычное и сложное заболевание, и эту главу можно считать кратким обзором и основой для следующих глав. Предполагается, что РС страдают более 25 тысяч австралийцев [1], почти миллион американцев [2] и еще несколько миллионов человек по всему миру. Вероятность развития рассеянного склероза в течение жизни в западных странах, где заболевание широко распространено, составляет около 1 к 350, или примерно 0,3 %, – в последние десятилетия эта цифра значительно выросла и продолжает расти.
Впервые рассеянный склероз был описан французским неврологом Жаном Мартеном Шарко в 1868 году; за прошедшие с тех пор полтора века мы стали лучше понимать это загадочное заболевание, симптомы которого были, возможно, задокументированы еще в XIV веке, если брать в расчет святую Лидвину (1380–1433), покровительницу конькобежцев. Под рассеянным склерозом понимают наличие множественных (рассеянных по центральной нервной системе) сформировавшихся (склеротических) очагов (бляшек) в головном мозге, зрительных нервах и спинном мозге. Если мы изучим под микроскопом препараты биопсии или аутопсии, то в первую очередь увидим повреждения миелина – жироподобной оболочки, защищающей нервные волокна (рис. 1.3).

РИСУНОК 1.3. МИЕЛИНОВАЯ ОБОЛОЧКА ДЛЯ НЕРВНЫХ ВОЛОКОН – КАК ИЗОЛЯЦИЯ ДЛЯ ЭЛЕКТРИЧЕСКИХ ПРОВОДОВ. ОЛИГОДЕНДРОЦИТЫ – КЛЕТКИ, ВЫРАБАТЫВАЮЩИЕ МИЕЛИН В ЦЕНТРАЛЬНОЙ НЕРВНОЙ СИСТЕМЕ. (ИЛЛЮСТРАЦИЯ: WIKIMEDIA COMMONS)
Нервная система, по своей сути, отвечает за коммуникацию внутри организма, поэтому, когда происходит повреждение миелина (в настоящее время этот процесс считается аутоиммунным, то есть вызванным атакой иммунной системы на собственные ткани), скорость и надежность передачи информации по нервам ограничивается. Это приводит к появлению разнообразных симптомов, которые может вызывать РС; среди них: потеря зрения, онемение конечностей, слабость, нарушение координации, тремор, проблемы с мочеиспусканием и половой функцией, боли, утомляемость, головокружение, двоение в глазах, когнитивные изменения и так далее.
Магнитно-резонансная томография дает возможность диагностировать РС и отслеживать его течение, позволяя прижизненно видеть очаги поражения (видимые области повреждения нервной ткани) в живом организме. Очаги при РС выглядят яркими пятнами на Т2-взвешенных изображениях, а при стойкой утрате нервных волокон – темными («черные дыры») на Т1-взвешенных изображениях. Активный очаг заболевания вызывает временное нарушение функций гематоэнцефалического барьера (барьера между кровеносной и центральной нервной системами), и вводимый перед исследованием гадолиний-содержащий контраст проникает в очаг, «подсвечивая» его на снимке. В результате таких повреждений головной мозг частично атрофируется (уменьшается в размерах) примерно на 0,5–1,35 % в год [3]. Для мониторинга РС проводятся регулярные осмотры и периодический МРТ-сканинг, поскольку новые очаги часто появляются бессимптомно.
Новые симптомы рассеянного склероза обычно проявляются либо при обострениях, либо по мере прогрессирования заболевания. Рецидивирующе-ремиттирующий РС (РРРС) характеризуется относительно быстрым, в течение нескольких дней или недель, развитием неврологических симптомов, за которым часто следует улучшение и период неактивности заболевания. Появление новых симптомов – это и есть обострение, называемое рецидивом, тогда как период между обострениями называется ремиссией. Для обозначения обострения также употребляются слова «приступ» и «экзацербация». Иногда обострения бывают легкими, например небольшое онемение в левой руке, которое само собой проходит через неделю. В других случаях обострения более тяжелые, а восстановление после них занимает длительное время и может быть неполным. В редких случаях одно-единственное обострение способно привести к тяжелой необратимой инвалидизации.
Обострения РС сильно различаются по степени тяжести
Остановимся на одном из примеров проявления РС. Это одно из самых распространенных первых проявлений РС – оптический неврит, воспаление зрительного нерва. Его симптомами обычно служат потеря зрения в одном глазу и болезненность при движении глазных яблок. Как правило, нарушается цветовое зрение и выпадает центральное поле зрения. Если нарушение зрения изначально умеренное или легкое, прогноз обычно благоприятен; улучшение наступает спонтанно либо после терапии стероидами внутрь (перорально) или внутривенно.
В отличие от ремиттирующего типа течения РС, прогрессирующий рассеянный склероз развивается медленно, постепенно и зачастую без явных симптомов, при нем отсутствуют острые эпизоды неврологических нарушений, характерные для ремиттирующего рассеянного склероза. Симптомы постепенно ухудшаются в течение нескольких месяцев или лет, и мы часто диагностируем заболевание, когда уже сформировались выраженные нарушения. Обычно страдают походка и способность к самостоятельному передвижению, но у некоторых людей наблюдаются прогрессирующее нарушение координации, снижение когнитивных функций и другие классические симптомы рассеянного склероза. По неизвестным причинам прогрессирующая потеря зрения встречается редко.

РИСУНОК 1.4. РАЗВИТИЕ ИНВАЛИДИЗАЦИИ ПРИ ТРЕХ ОСНОВНЫХ ПОДТИПАХ РС. ПО ГОРИЗОНТАЛЬНОЙ ОСИ ОТЛОЖЕНО ВРЕМЯ, ПО ВЕРТИКАЛЬНОЙ – ОЦЕНКА ИНВАЛИДИЗАЦИИ В БАЛЛАХ ПО ШКАЛЕ EDSS. ВЫРАЖЕННОСТЬ СИМПТОМОВ ПО ШКАЛЕ EDSS ОЦЕНИВАЕТСЯ ОТ 0 ДО 10 С ШАГОМ В 0,5 ЕДИНИЦЫ, ОДНАКО ПРИ ПРОГРЕССИРУЮЩЕМ ТИПЕ ТЕЧЕНИЯ РС ИЗМЕНЕНИЯ ОБЫЧНО ПРОИСХОДЯТ ПОСТЕПЕННО, А НЕ ДИСКРЕТНО. ОБРАТИТЕ ВНИМАНИЕ, ЧТО ПОКАЗАТЕЛЬ
КАКИЕ ПОДТИПЫ РС СУЩЕСТВУЮТ?
У большинства людей РС дебютирует с фазы обострений (ремиттирующий рассеянный склероз, РРС), без выраженного прогрессирования. Иногда по мере развития РРС происходит постепенное неуклонное прогрессирование (с обострениями или без обострений), и заболевание трансформируется во вторично-прогрессирующий РС (ВПРС). Приблизительно у 15 % людей прогрессирование наблюдается с самого начала заболевания, что соответствует первично-прогрессирующему типу РС (ППРС). На рисунке 1.4 отражено типичное развитие инвалидизации при трех описанных типах течения РС.
В молодом возрасте чаще встречается ремиттирующий РС, в старшем – прогрессирующий РС. У некоторых людей с прогрессирующим РС случаются обострения, как при ремиттирующем РС; при этом имеются убедительные доказательства того, что у людей с ремиттирующим РС нередко наблюдается малозаметное прогрессирование заболевания [4]. Необратимую инвалидизацию при РС в основном вызывает прогрессирующее, а не рецидивирующее течение заболевания. Обширные эпидемиологические, нейровизуальные, генетические и патогистологические данные свидетельствуют о том, что в основе всех типов течения РС лежит один и тот же патологический процесс; таким образом, классификация РС призвана не разграничить разные его типы, а прежде всего охарактеризовать его протекание.
КАК ВЫЯВИТЬ РС?К сожалению, универсального способа однозначно выявить РС нет. Диагноз обычно ставится на основе сведений о том, как развивались симптомы, результатов физикального обследования и данных МРТ, демонстрирующих типичные для этого заболевания очаги поражения. Иногда для подтверждения диагноза требуется дополнительное исследование. К примеру, анализ крови помогает исключить заболевания со сходными симптомами, такие как витамин-B12-дефицитная анемия, болезнь Лайма или иные аутоиммунные заболевания. Может помочь и люмбальная пункция, хотя эта манипуляция уже не столь распространена в настоящее время. В нижнюю часть спины под местным обезболиванием вводят иглу и берут пробу спинномозговой жидкости (она защищает спинной и головной мозг от внешних воздействий и поддерживает их нормальное функционирование). Приблизительно у 90 % людей с РС в спинномозговой жидкости присутствуют аномальные антитела, которых нет в крови. В лабораторном исследовании методом электрофореза при наличии таких антител выявляются темные области – так называемые олигоклональные полосы.
Признаки длительно существующего повреждения зрительного нерва обнаруживают методом зрительных вызванных потенциалов. На голову сзади накладывают электроды, а на глаза подается зрительная стимуляция в виде специального шахматного паттерна. Это позволяет измерить скорость передачи сигнала зрительным нервом и выявить даже незначительные повреждения. В совокупности симптомы, физическое обследование и результаты тестов позволяют подтвердить или опровергнуть диагноз «рассеянный склероз».
Существуют также формальные диагностические критерии диагностики РС, на сегодняшний день это актуализированные критерии Макдональда 2017 года. Точная диагностика РС затрудняется тем, что многие симптомы могут быть неопасными; кроме того, порой они вызваны целым рядом других нарушений, а видимые на МРТ очаги могут оказаться доброкачественными или же связанными с другими заболеваниями. По этим причинам диагноз РС часто ставится ошибочно, и мне нередко доводится снимать у своих пациентов диагноз РС, даже в тех случаях, когда человек много лет живет с данным диагнозом и прошел через множество вариантов лечения. Если возникают сомнения, стоит проконсультироваться с другим специалистом.
РС часто ошибочно диагностируется
РС – ЭТО ОЧЕНЬ СТРАШНО?Я не перестаю удивляться тому, насколько неодинаково протекает РС у разных людей. Это одна из характерных особенностей заболевания. У кого-то очаги РС обнаруживаются только на аутопсии, а при жизни какие-либо данные о симптомах отсутствуют [5]. У других заболевание имеет незначительную выраженность, после обострений наступает восстановление, и такие люди живут долго и полноценно даже без специального лечения. При этом у части пациентов могут наблюдаться различные проблемы средней степени тяжести, связанные с РС; десятилетиями они могут жить относительно нормально, а ближе к концу жизни нарастает инвалидизация. На долю небольшого числа заболевших выпадает молниеносно прогрессирующее течение заболевания или даже смертельный исход. Возможно, читателям будет важно узнать: спрашивая каждого человека с «благоприятным» течением заболевания о том, что он делает для своего здоровья, я очень редко слышу в ответ, что человек придерживается особенно строгой диеты или образа жизни.
Индивидуальный и случайный характер течения заболевания – одна из причин, по которым РС так сложен для понимания. Ни один специалист, независимо от опыта и профессиональной квалификации, не может дать сколько-нибудь значимого прогноза человеку с РС – слишком много здесь вариаций. Однако получить приблизительную картину того, как в среднем происходит прогрессирование РС, можно, в течение длительного времени наблюдая за группами пациентов. Обычно в научных и клинических исследованиях используется характеристика инвалидизации, выраженная в балах по шкале EDSS (табл. 1.1), хотя существуют и критерии самостоятельной оценки нарушения функций.
По данным исследования MS-EPIC, проведенного в Калифорнийском университете Сан-Франциско [6], среди людей, у которых РС изначально протекает в ремиттирующей форме, доля тех, кто не может пройти 100 метров без помощи трости (EDSS 6.0), составляет 4,7 % после 10 лет заболевания, 16,2 % после 20 лет и более 50 % после 40 лет. Вероятность перехода к вторично-прогрессирующему течению РС составляет всего 6,4 % после 10 лет и 24,2 % после 20 лет, однако после 40 лет данная цифра возрастает до 50 %. Несмотря на то что средний возраст диагностирования РС – 30 лет, и многие, следовательно, столкнутся с проблемами в более позднем возрасте, эту статистику стоит иметь в виду всем людям с РС; но нельзя забывать, что пока мы не располагаем достаточным объемом данных о том, как на эту статистику повлияет выполнение рекомендаций Программы ПРС.
ТАБЛИЦА 1.1. РАСШИРЕННАЯ ШКАЛА ОЦЕНКИ СОСТОЯНИЯ ИНВАЛИДНОСТИ (EDSS)

Примечание. Баллы по шкале EDSS вычисляются комплексно и только по результатам неврологического обследования; в данной таблице я привожу эти критерии в упрощенном виде.
В клинических исследованиях инвалидизация при РС обычно измеряется по шкале EDSS
Кроме того, у людей с изначально прогрессирующим РС к моменту постановки диагноза уже наблюдается высокая степень инвалидизация, и прогнозы в среднем значительно менее благоприятны. Тем не менее мы считаем, что сейчас РС протекает более мягко, чем раньше. Вышеприведенная статистика выглядит оптимистичнее по сравнению с результатами научных исследований в прошлом, которые показывали вдвое более высокую вероятность потребности в использовании трости после 25 лет заболевания [7]. В Швеции вероятность достичь 3, 4 и 6 баллов по шкале EDSS снижается [8]. Это может быть связано с применением препаратов, изменяющих течение рассеянного склероза (ПИТРС), препаратов витамина D, а также с более высокой частотой выявления РС на ранних стадиях или же при умеренном течении заболевания (ранее в таких случаях РС мог вообще не диагностироваться).

