
Анатомия здорового и нездорового образа жизни атлас
Средняя длина позвоночного столба взрослого человека при росте 175 см составляет 75 см. По отделам: шейный отдел – 15 см, грудной отдел – 30 см, поясничный отдел – 20 см, крестцовый и копчиковый – 10 см.
А теперь рассмотрим преобразования позвоночного столба при тяжелом хроническом остеохондрозе (рис. 10). В первую очередь обращает на себя внимание резкое изменение формы и размеров тел позвонков, наличие на них большого количества остеофитов (костных выростов). При этом одни тела позвонков уменьшаются в размерах, их форма становится клиновидной, другие – утолщаются. Местами возникает полное или частичное срастание соседних позвонков. Высота межпозвоночных дисков в пораженных отделах уменьшается.

Рис. 9. Позвоночный столб человека. Норма. Вид сбоку. Натуральный анатомический препарат:
1 – шейный лордоз (изгиб кпереди); 2 – грудной кифоз (изгиб кзади); 3 – поясничный лордоз

Рис. 10. Изменения позвоночного столба при остеохондрозе. Синостозирование (срастание) нижних грудных и верхних поясничных позвонков за счет массивных остеофитов. Вид спереди. Натуральный анатомический препарат
Изменения позвоночного столба сказываются на выраженности лордозов и кифозов, которые либо значительно уменьшаются, либо увеличиваются по сравнению с нормой. Это, соответственно, сказывается на осанке и на объеме движений, которые существенно уменьшаются или полностью прекращаются. Обратите внимание, что позвоночный столб в норме очень подвижен и в нем возможны все виды движений: наклоны вперед и назад, в стороны, а также торсионное движение (скручивание). При остеохондрозе позвоночного столба движения становятся болезненными ввиду срастания позвонков между собой, объем движений существенно снижается или исчезает полностью.
Череп как уникальная конструкция скелета головы
Череп составляет скелет головы и является вместилищем для головного мозга, важнейших органов чувств, костным остовом полости носа и полости рта. В нем различают два отдела: мозговой череп и лицевой череп.
В полости мозгового черепа расположен головной мозг, поэтому основная функция мозгового черепа – защита и обеспечение особых условий функционирования данного жизненно важного органа. Объем полости мозгового черепа у мужчин составляет – 1350 см3, у женщин – 1250 см3. В мозговом черепе выделяют крышу (свод) и основание (рис. 11). Крыша представляет собой сводчатую конструкцию, а основание имеет значительные углубления и возвышения. Следует отметить, что в средней части основания черепа (внутри височной кости) располагается орган слуха и равновесия.

Рис. 11. Череп человека. Вид спереди. Натуральный анатомический препарат:
1 – лобная кость; 2 – глазница; 3 – грушевидное отверстие (полость носа); 4 – сошник; 5 – нижняя челюсть; 6 – верхняя челюсть; 7 – скуловая кость; 8 – височная кость; 9 – носовая кость
Лицевой череп находится в переднем отделе головы и сращен во фронтальной плоскости с передним отделом мозгового черепа. Объемное соотношение лицевого и мозгового отделов черепа составляет у взрослого человека 1: 4. Обратите внимание, что у новорожденного и ребенка первого года жизни лицевой череп очень маленький, так как слабо развиты нос и челюсти. Соотношение лицевого и мозгового отделов черепа у новорожденных составляет 1: 8.
Сверху в лицевом черепе располагаются важнейшие органы чувств. В глазницах – орган зрения, посередине лицевого черепа находится грушевидное отверстие, которое ведет в полость носа. В полости носа размещены начальные отделы дыхательных путей и некоторые структуры обонятельного анализатора (рецепторы и обонятельные нервы).
В нижней части лицевого черепа у взрослого человека имеется зубочелюстной аппарат, ограничивающий полость рта, которая является начальным отделом пищеварительного тракта. У новорожденного и ребенка до 6 мес. отсутствуют зубы, поэтому нижняя часть лицевого черепа представлена только слаборазвитыми челюстями.
В составе мозгового черепа насчитывают 8 отдельных костей, в составе лицевого черепа – 15 костей. Они сильно различаются по форме и строению. По внутреннему строению кости черепа можно разделить на диплоические (имеющие ячеистую структуру), компактные (состоят из единой массы костного вещества) и пневматизированные (содержащие внутри большие воздушные полости). Многие кости сочетают в себе разные элементы строения и являются смешанными.

Рис. 12. Череп человека. Вид со стороны наружного основания. Натуральный анатомический препарат:
1 – костное нёбо; 2 – нёбная кость; 3 – скуловая дуга; 4 – большое отверстие; 5 – затылочная кость; 6 – рваное отверстие; 7 – сошник; 8 – хоана (полость носа)
В мозговом черепе различают наружное и внутреннее основание. На наружном основании черепа (рис. 12) хорошо видны большое отверстие (место перехода головного мозга в спинной мозг) и целый ряд других отверстий для прохождения сосудов и черепных нервов. Рельеф наружного основания черепа очень сложен, на нем видны отростки, ости, ямки, отверстия и т. д.
Внутреннее основание черепа представлено тремя черепными ямками: передней, средней и задней, в которых располагаются соответственно лобная и височные доли, а также мозжечок.
При рассмотрении мозгового черепа в целом можно выделить различные его формы. Они были описаны еще Гиппократом в III в. до н. э. Принято различать 3 формы мозгового черепа: долихокранную (удлиненную), мезокранную (занимает промежуточное положение) и брахикранную (широкую). Они отражают индивидуальные особенности формы головы человека.
Мозговой череп состоит из отдельных костей, соединенных между собой швами и хрящевыми прослойками. Кости мозгового черепа классифицируют на парные и непарные. Непарными являются лобная, затылочная, клиновидная и решетчатая кости; парными – височная и теменная.
Кости мозгового черепа сильно отличаются друг от друга. Теменная кость – самая простая по форме и строению, имеет вид четырехугольной пластинки (рис. 13). Она участвует в образовании крыши черепа. Внутренний слой компактного вещества этой кости особенно хрупок. Его называют «стекловидной пластинкой». Следует помнить, что при травмах теменной области возможно разрушение только данной пластинки с образованием большого количества мелких, но острых отломков. Это достаточно опасно, поскольку по внутренней поверхности теменной кости проходит большое количество артерий, которые могут быть повреждены. Кровотечение из указанных артерий сопровождается образованием внутричерепных гематом, которые сдавливают мозг и могут привести к смерти. Именно поэтому при черепно-мозговой травме и отсутствии внешних повреждений костей мозгового черепа врачи назначают рентгенографию или компьютерную томографию головного мозга.

Рис. 13. Череп человека. Вид сбоку. Натуральный анатомический препарат:
1— лобная кость; 2 – глазничная пластинка решетчатой кости; 3 – носовая кость; 4 – слезная кость; 5 – верхняя челюсть; 6 – нижняя челюсть; 7 – скуловая кость; 8 – височная кость; 9 – теменная кость

Рис. 14. Ассимиляция атланта – срастание первого шейного позвонка с затылочной костью. Натуральный анатомический препарат:
1 – атлант (I шейный позвонок); 2 – затылочная кость; 3 – расщепление задней дуги атланта
Затылочная кость имеет форму черпака и сложное строение. Ее особенностью является наличие большого затылочного отверстия, в области которого соединяются головной и спинной мозг. По отношению к большому затылочному отверстию спереди располагаются тело (базилярная часть), по бокам – латеральные части и сзади – чешуя. На латеральных частях находятся мыщелки, при помощи которых затылочная кость соединяется с первым шейным позвонком (атлантом). При этом образуется достаточно подвижное соединение черепа с позвоночным столбом с большим объемом движений. Однако нередко встречается и такая аномалия развития, как ассимиляция атланта, при которой происходит прирастание атланта к затылочной кости (рис. 14). Соответственно движения в атланто-затылочных суставах невозможны. Очень опасны в данных случаях насильственные движения (например, при мануальной терапии), которые могут привести к отрыву латеральной части затылочной кости и повреждению мозга.
Лобная кость располагается в переднем отделе мозгового черепа, участвуя в образовании глазниц и полости носа. Она имеет чешую, глазничные и носовую части. Наличие лобных пазух позволяет назвать эту кость пневматизированной. Достаточно часто при ослаблении иммунитета наблюдается воспаление слизистой оболочки данной пазухи, которое называется фронтитом. При недостаточной эффективности консервативного лечения ЛОРспециалисты осуществляют вскрытие данной пазухи. Самая тонкая у лобной кости – глазничная часть. Она состоит из компактного вещества и формирует верхнюю стенку глазницы. При сильных травмах передних отделов мозгового черепа могут возникнуть переломы глазничной части. Об этом свидетельствует обильное кровоизлияние в области глазницы, которое называют симптомом «очков».
Клиновидная кость по форме напоминает самолет. У нее различают крыловидные отростки – «шасси», большие и малые крылья, а также тело (рис. 15). В теле находится клиновидная пазуха, которая, как и лобная пазуха, является придаточной пазухой полости носа. Воспаление данной пазухи носит название сфеноидит. Внутри клиновидной кости имеется много отверстий для выхода черепных нервов и сосудов. Также в ней имеется ямка, в которой находится одна из самых важных желез внутренней секреции – гипофиз.
Височная кость – самая сложная по форме и строению (рис. 16). Она состоит из четырех частей: чешуи, барабанной, сосцевидной и каменистой. В ней насчитывается более ста отдельных анатомических образований. Очень редко кто из студентов-медиков не получал двойки за незнание строения височной кости.
Чешуя – очень тонкая компактная костная пластинка, которая при ударах в височную область легко ломается, что приводит к травмированию сосудов твердой мозговой оболочки и головного мозга. Поэтому удар в височную область нередко сопровождается большой по объему внутричерепной гематомой и приводит к смерти. Такая же тонкая – барабанная часть, которая прикрывает наружный слуховой проход. Обратите внимание, что она полностью развивается только к 10 – 15 годам. У ребенка первых лет жизни она не развита, наружный слуховой проход короче, открыт кнаружи, поэтому у детей чаще бывают отиты и даже менингиты.

Рис. 15. Клиновидная кость. Вид спереди. Натуральный анатомический препарат:
1 – тело; 2 – малое крыло; 3 – большое крыло; 4 – крыловидный отросток; 5 – клиновидная пазуха
Сосцевидная часть, или сосцевидный отросток, окончательно формируется после рождения за счет тяги грудино-ключично-сосцевидной мышцы, прикрепляющейся к нему. Этот отросток можно прощупать у себя позади ушной раковины.
Особое значение в височной кости имеет каменистая часть, которую из-за особой геометрической формы еще называют пирамидой. В ней находится среднее и внутреннее ухо – орган слуха и равновесия. Через нее проходят многочисленные каналы и отверстия для сосудов и нервов, например внутренняя сонная артерия. Данные структуры особенно хорошо видны на распиле височной кости: например, сонный канал, лабиринт, ячейки сосцевидного отростка. Выгравированный лабиринт представляет собой филигранную работу (рис. 17).

Рис. 16. Височная кость. Вид изнутри. Натуральный анатомический препарат:
1 – чешуя; 2 – сосцевидный отросток; 3 – шиловидный отросток; 4 – внутренний слуховой проход; 5 – каменистая часть
В составе пирамиды он представлен улиткой (орган слуха), преддверием и тремя полукружными каналами (орган равновесия). При воспалительных процессах и травмах височной кости могут нарушаться функции органа слуха и равновесия, черепных нервов или появляться массивные кровотечения.
Решетчатая кость – ключевая кость мозгового черепа, которая располагается между глазничными частями лобной кости и малыми крыльями клиновидной кости. Она построена из тонких костных пластинок и содержит многочисленные полости – решетчатые ячейки. Решетчатая кость напоминает по форме «нахохлившегося цыпленка». В ней различают решетчатую и перпендикулярную пластинки и свисающие лабиринты. Решетчатая пластинка одной поверхностью обращена в переднюю черепную ямку, перпендикулярная пластинка и часть лабиринтов (верхняя и средняя носовые раковины) – в полость носа (рис. 18), глазничные пластинки лабиринтов – в глазницы.

Рис. 17. Височная кость с выгравированным лабиринтом (указан стрелкой). Вид сверху. Натуральный анатомический препарат
В лабиринтах данной кости много полостей (ячеек). При воспалительных процессах слизистой оболочки этих полостей (этмоидитах) имеется опасность проникновения инфекции из полости носа в полость черепа и глазницу.
Кости лицевого черепа – это преимущественно тонкие и легко повреждаемые кости. Как уже отмечалось, лицевой череп – это костный остов для глазничного органокомплекса, начальных отделов пищеварительной и дыхательной систем, основа для расположения зубов верхней и нижней челюстей. Необходимо подчеркнуть, что лицевой череп обеспечивает индивидуальность черт каждого человека и красоту его лица.
Кости лицевого черепа можно классифицировать на парные и непарные. Непарными являются сошник, подъязычная кость и нижняя челюсть.
Сошник – небольшая плоская кость, которая находится в составе перегородки полости носа (см. рис. 12).
Подъязычная кость расположена в области шеи. Она состоит из тела и двух пар рогов. К ней фиксированы язык и гортань, прикрепляется большое количество мышц шеи. При переломе подъязычной кости и хрящей гортани включаются рефлекторные механизмы и быстро наступает смерть пострадавшего от удушья.

Рис. 18. Сагиттальный распил черепа человека. Натуральный анатомический препарат:
1 – артериальные борозды; 2 – клиновидная пазуха; 3 – костное нёбо; 4 – нижняя носовая раковина; 5 – средняя носовая раковина; 6 – верхняя носовая раковина; 7 – лобная пазуха
Самой массивной из костей лицевого черепа является нижняя челюсть. У нее имеется две ветви и тело. На каждой ветви находятся два отростка: мыщелковый и венечный (рис. 19). Мыщелковый отросток заканчивается головкой, которая участвует в образовании височнонижнечелюстного сустава. К венечному отростку прикрепляется височная и крыловидная (жевательные) мышцы. На теле нижней челюсти в ячейках альвеолярной дуги расположены корни зубов. При выпадении зубов (чаще всего причиной является пародонтоз) происходит постепенная атрофия альвеолярной дуги: уменьшается ее высота, и костная ткань тела челюсти атрофируется. Полное отсутствие зубов на челюсти носит название адентия. Такая челюсть представлена на рис. 20.
К парным костям относят (см. рис. 13): носовую, скуловую, слезную, нёбную кости, верхнюю челюсть и нижнюю носовую раковину. Носовая кость принимает участие в образовании скелета наружного носа. Скуловая кость, соединяясь с одноименными отростками лобной и височной костей, а также верхней челюсти, образует скуловую дугу. Она особенно развита у людей желтой (монголоидной) расы, придавая черепу неповторимый внешний вид.
Из костей лицевого черепа самой сложной по форме является нёбная кость, которая принимает участие в формировании костного нёба, полости носа и глазницы. Нёбная кость состоит из горизонтальной пластинки (входит в состав твердого нёба) и перпендикулярной пластинки (входит в состав латеральной стенки полости носа). Нижняя носовая раковина находится на латеральной стенке полости носа. Она ограничивает нижний носовой ход.
Верхняя челюсть состоит из тела и отростков: лобного, нёбного, скулового и альвеолярного. Внутри тела расположена верхнечелюстная (гайморова) пазуха (рис. 21). У взрослых людей достаточно часто встречается воспаление слизистой оболочки данной пазухи – гайморит. У детей раннего возраста гайморита не бывает, так как пазуха полностью формируется только к 3 – 4 годам. Лобный, нёбный и скуловой отростки соединяются с одноименными костями.
В ячейках альвеолярного отростка расположены корни зубов. При утрате зубов постепенно происходят процессы атрофии отростка, аналогичные ранее отмеченным на нижней челюсти. А теперь представьте себе человека с отсутствием зубов на обеих челюстях. Прежде всего это приводит к существенному изменению лица и нарушению приема пищи. Раньше такие люди могли принимать только жидкую пищу, что существенно снижало качество жизни. Выпадение зубов наблюдается при таком заболевании, как пародонтоз, которое в настоящее время успешно лечится. При отсутствии зубов проводят протезирование или осуществляют дентальную имплантацию, когда на специальный металлический штифт устанавливаются искусственные зубы из полимеров или металлокерамики.

Рис. 19. Нижняя челюсть. Вид сбоку. Натуральный анатомический препарат:
1 – венечный отросток; 2 – головка нижней челюсти; 3 – ветвь нижней челюсти; 4 – тело нижней челюсти

Рис. 20. Атрофия альвеолярной части нижней челюсти при адентии (выпадении зубов). Натуральный анатомический препарат

Рис. 21. Верхняя челюсть. Вид со стороны полости носа. Натуральный анатомический препарат:
1— лобный отросток; 2 – верхнечелюстная (гайморова) пазуха; 3 – нёбный отросток; 4 – альвеолярный отросток
Для демонстрации глубинных структур черепа на кафедре нормальной анатомии Российской Военно-медицинской академии разработана уникальная методика, которую образно можно назвать «череп-книжка». Для этого изготавливается серия срезов во фронтальной плоскости, проведенных через наиболее важные структуры (рис. 22). На данном препарате хорошо видно, как граничат между собой полость носа, гайморова и клиновидная пазухи. Стенки, разделяющие эти образования, достаточно тонкие, поэтому они легко могут быть повреждены при травмах черепа или оперативных вмешательствах на них. Без значительных препятствий возможно проникновение инфекции с одной структуры на другую. Такие экспонаты очень информативны при обучении врачей-специалистов (оториноларингологов, офтальмологов, челюстно-лицевых хирургов, нейрохирургов).
Самыми миниатюрными костями, относящимися по развитию к лицевому черепу, являются слуховые косточки (молоточек, наковальня и стремечко). Они находятся в барабанной полости височной кости, обеспечивая передачу звуковых сигналов с барабанной перепонки на внутреннее ухо. Обратите внимание на действительное сходство данных косточек с молоточком, наковальней и стремечком. Поистине «ювелирная работа» природы! Но к этим косточкам еще прикрепляются мышцы и связки. Стремечко своим основанием (его размеры составляют 1 × 2 мм) точно соответствует овальному окну внутреннего уха. В том случае, когда слуховые косточки срастаются между собой, а стремечко прирастает к лабиринту, возникает отосклероз. Передача звуковых воздействий по слуховым косточкам нарушается, и человек теряет слух.
Таким образом, череп человека – это уникальная, сложная по форме и строению конструкция скелета головы, выполняющая в организме целый ряд невосполнимых функций.

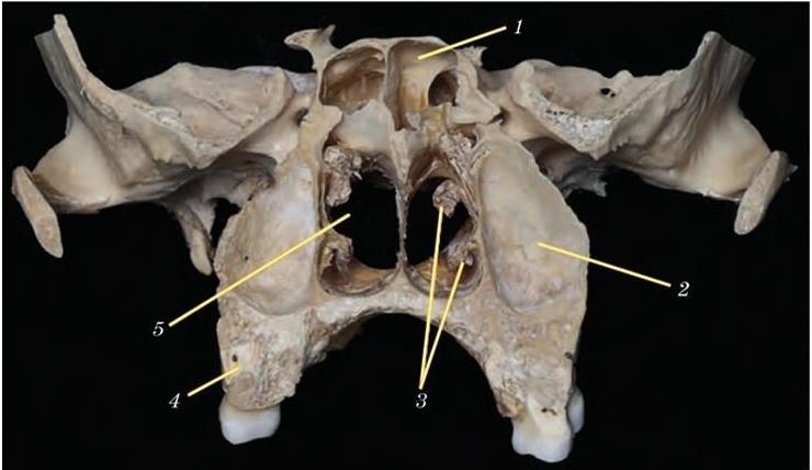
Рис. 22. Распил черепа. Фрагмент. Вид сзади (со стороны хоан):
1 – клиновидная пазуха; 2 – верхнечелюстная пазуха; 3 – средняя и нижняя носовые раковины; 4 – верхняя челюсть (альвеолярный отросток); 5 – полость носа
Скелет верхней конечности
У человека верхняя конечность (рука) – это часть тела, предназначенная для восприятия тактильных раздражений и выполнения разнообразных движений. О роли руки в жизни человека очень образно написал Ф. Лукьянов – слушатель Военно-медицинской академии:
Рука человека – в ней нежность и сила,Уют и надежда, тепло и простор.Я помню, как мамины руки носили,Как папины руки держали топор,Как руки братишки меня обнимали,Как теплой рукой меня грела любовь…По определению Ф. Энгельса, «рука – это орган трудовой деятельности». Благодаря прямохождению у человека произошло высвобождение верхней конечности, она утратила опорно-двигательную функцию и приобрела способность выполнять самые тонкие и точные движения. Поэтому строение скелета верхней конечности во многом определяется ее функцией и зависит от пола, возраста и даже – профессии.

Рис. 23. Кости левой верхней конечности. Норма. Вид спереди. Натуральный анатомический препарат:
1 – ключица; 2 – лопатка; 3 – плечевая кость; 4 – локтевая кость; 5 – лучевая кость; 6 – кости кисти
На рис. 23 хорошо видны кости пояса, к которым относятся лопатка и ключица, и кости свободного отдела – плечевая, кости предплечья и кости кисти. Обратите внимание, что в дистальных отделах конечности количество костей увеличивается.
Лопатка является плоской костью, состоящей преимущественно из компактного вещества. В области латерального угла лопатки имеется суставная впадина – для сочленения с плечевой костью. Сверху над ней располагаются два отростка: клювовидный и акромиальный. На дорсальной поверхности находится ость лопатки.
Ключица является трубчатой костью. Одним концом она соединяется с лопаткой (акромиально-ключичным суставом), а другим концом – с грудиной (грудино-ключичным суставом). Благодаря ключице у человека лопатка смещается с боковой на дорсальную поверхность, свободная верхняя конечность отводится латерально и разворачивается ладонью кпереди. Такое положение носит название «брахиация». Оно обеспечивает максимальную свободу движений для верхней конечности. Плечевой пояс служит не только для прикрепления свободной верхней конечности, но также значительно увеличивает ее подвижность. При переломе ключицы свободная верхняя конечность смещается кпереди и движения ее резко ограничиваются. В связи с этим необходима достаточная иммобилизация (обездвиживание) в месте перелома. В современных условиях одним из методов оперативного лечения является наложение специальной металлической пластины для фиксации отломков и создания оптимальных условий для их срастания.
Плечевая кость является длинной трубчатой костью. У нее выделяют верхний (проксимальный) эпифиз, тело (диафиз) и нижний (дистальный) эпифиз. На проксимальном эпифизе расположена головка плечевой кости. Проксимальный эпифиз постепенно суживается, и у места перехода в тело образуется хирургическая шейка – место наиболее частых переломов плечевой кости.
Дистальный эпифиз имеет мыщелок для соединения с костями предплечья.

